• 文献检索
  • 文档翻译
  • 深度研究
  • 学术资讯
  • Suppr Zotero 插件Zotero 插件
  • 邀请有礼
  • 套餐&价格
  • 历史记录
应用&插件
Suppr Zotero 插件Zotero 插件浏览器插件Mac 客户端Windows 客户端微信小程序
定价
高级版会员购买积分包购买API积分包
服务
文献检索文档翻译深度研究API 文档MCP 服务
关于我们
关于 Suppr公司介绍联系我们用户协议隐私条款
关注我们

Suppr 超能文献

核心技术专利:CN118964589B侵权必究
粤ICP备2023148730 号-1Suppr @ 2026

文献检索

告别复杂PubMed语法,用中文像聊天一样搜索,搜遍4000万医学文献。AI智能推荐,让科研检索更轻松。

立即免费搜索

文件翻译

保留排版,准确专业,支持PDF/Word/PPT等文件格式,支持 12+语言互译。

免费翻译文档

深度研究

AI帮你快速写综述,25分钟生成高质量综述,智能提取关键信息,辅助科研写作。

立即免费体验

由胃癌引起的肺肿瘤血栓性微血管病。

Pulmonary tumor thrombotic microangiopathy caused by gastric cancer.

机构信息

Department of Pathology, Osaka Medical College, Osaka, Japan.

出版信息

Ann Thorac Med. 2012 Jul;7(3):168-9. doi: 10.4103/1817-1737.98853.

DOI:10.4103/1817-1737.98853
PMID:22924078
原文链接:https://pmc.ncbi.nlm.nih.gov/articles/PMC3425052/
Abstract

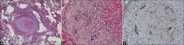
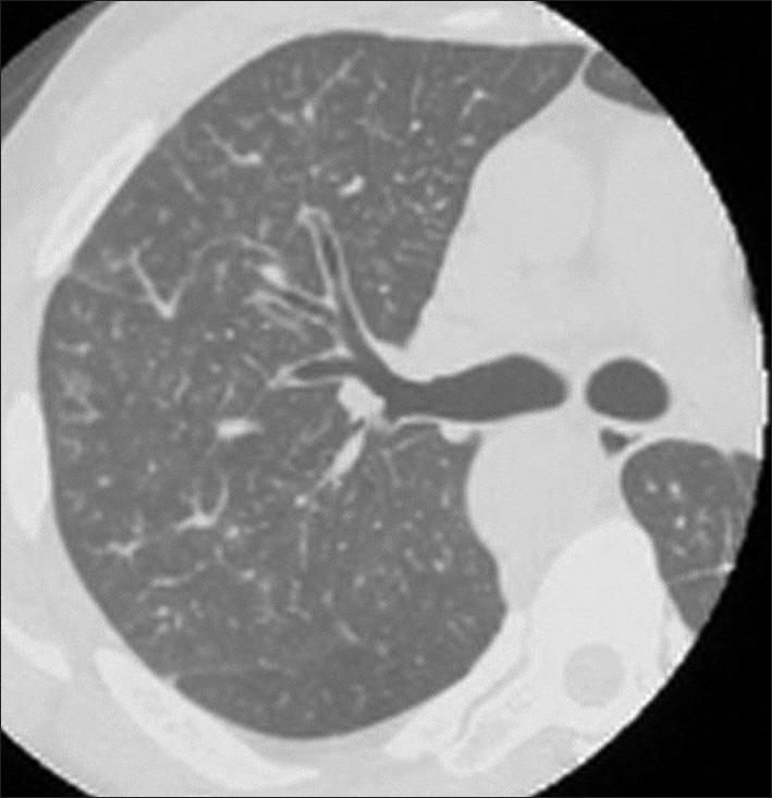
Pulmonary tumor thrombotic microangiopathy (PTTM) is a fatal cancer-related pulmonary complication with rapidly progressing dyspnea, and occasionally induces sudden death. Here, we describe a postmortem-diagnosed PTTM case caused by gastric cancer, with the complaint of progressing dyspnea for 5 days.He did not have any abdominal symptoms or cancer history. PTTM should be considered in patients with rapidly worsening respiratory conditions, even if there is no cancer history.

摘要

肺肿瘤性血栓性微血管病(PTTM)是一种致命的癌症相关肺部并发症,表现为进行性呼吸困难,偶尔导致猝死。在此,我们描述了一例由胃癌引起的尸检确诊的 PTTM 病例,该患者的主要表现为进行性呼吸困难 5 天,并无任何腹部症状或癌症病史。对于呼吸状况迅速恶化的患者,即使没有癌症病史,也应考虑 PTTM 的可能。

https://cdn.ncbi.nlm.nih.gov/pmc/blobs/d8d6/3425052/db21f1a97943/ATM-7-168-g002.jpg
https://cdn.ncbi.nlm.nih.gov/pmc/blobs/d8d6/3425052/e04ce0224d1d/ATM-7-168-g001.jpg
https://cdn.ncbi.nlm.nih.gov/pmc/blobs/d8d6/3425052/db21f1a97943/ATM-7-168-g002.jpg
https://cdn.ncbi.nlm.nih.gov/pmc/blobs/d8d6/3425052/e04ce0224d1d/ATM-7-168-g001.jpg
https://cdn.ncbi.nlm.nih.gov/pmc/blobs/d8d6/3425052/db21f1a97943/ATM-7-168-g002.jpg

相似文献

1
Pulmonary tumor thrombotic microangiopathy caused by gastric cancer.由胃癌引起的肺肿瘤血栓性微血管病。
Ann Thorac Med. 2012 Jul;7(3):168-9. doi: 10.4103/1817-1737.98853.
2
Pulmonary tumor thrombotic microangiopathy induced by ureteral carcinoma: a necropsy case report.输尿管癌所致肺肿瘤血栓性微血管病:一例尸检病例报告
Case Rep Oncol. 2014 Aug 27;7(2):605-10. doi: 10.1159/000366474. eCollection 2014 May.
3
Pulmonary tumor thrombotic microangiopathy of patient with both hepatocellular carcinoma and gastric signet-ring cell carcinoma: a case report and review of literature.肝细胞癌和胃印戒细胞癌患者的肺肿瘤血栓性微血管病:一例报告并文献复习
Transl Cancer Res. 2021 Apr;10(4):1930-1940. doi: 10.21037/tcr-20-3107.
4
Pulmonary Tumor Thrombotic Microangiopathy Caused by Recurrent Gastric Cancer 26 Years After Total Gastrectomy.全胃切除术后 26 年复发胃癌致肺肿瘤性血栓性微血管病。
Intern Med. 2022 Jul 1;61(13):1969-1972. doi: 10.2169/internalmedicine.8559-21. Epub 2021 Oct 26.
5
Pulmonary Tumor Thrombotic Microangiopathy: Case Report and Literature Review.肺肿瘤血栓性微血管病:病例报告及文献综述
J Acute Med. 2018 Sep 1;8(3):127-131. doi: 10.6705/j.jacme.201809_8(3).0006.
6
Fatal pulmonary tumor thrombotic microangiopathy caused by undiagnosed metastatic gastric adenocarcinoma.未诊断出的转移性胃腺癌导致的致命性肺肿瘤血栓性微血管病。
Proc (Bayl Univ Med Cent). 2015 Oct;28(4):482-3. doi: 10.1080/08998280.2015.11929315.
7
A Case of Recurrent Breast Cancer Identified by Pulmonary Tumor Thrombotic Microangiopathy.一例通过肺肿瘤血栓性微血管病确诊的复发性乳腺癌病例。
Case Rep Oncol. 2017 Jul 11;10(2):620-626. doi: 10.1159/000477842. eCollection 2017 May-Aug.
8
A case of pulmonary tumour thrombotic microangiopathy.一例肺肿瘤性血栓性微血管病。
Respir Med Case Rep. 2015 Apr 30;16:7-10. doi: 10.1016/j.rmcr.2015.04.006. eCollection 2015.
9
Anlotinib dramatically improved pulmonary hypertension and hypoxia caused by Pulmonary Tumor Thrombotic Microangiopathy (PTTM) associated with gastric carcinoma: a case report.安罗替尼显著改善了由胃癌相关的肺肿瘤血栓性微血管病(PTTM)引起的肺动脉高压和低氧血症:一例报告。
Thromb J. 2023 Mar 27;21(1):33. doi: 10.1186/s12959-023-00477-4.
10
Pulmonary Tumor Thrombotic Microangiopathy Mimicking Inhalation Lung Injury.酷似吸入性肺损伤的肺肿瘤血栓性微血管病
Intern Med. 2019 May 1;58(9):1311-1314. doi: 10.2169/internalmedicine.1796-18. Epub 2019 Jan 10.

引用本文的文献

1
A Rapid Review of Adenocarcinoma and Pulmonary Tumor Thrombotic Microangiopathy: A Deadly Duo.腺癌与肺肿瘤性血栓微血管病的快速综述:致命组合
Cureus. 2025 Jan 3;17(1):e76842. doi: 10.7759/cureus.76842. eCollection 2025 Jan.
2
Pulmonary tumor thrombotic microangiopathy: Exploration into current diagnostic aids and therapeutics.肺肿瘤血栓性微血管病:当前诊断辅助手段与治疗方法的探索
Pulm Circ. 2023 Aug 15;13(3):e12278. doi: 10.1002/pul2.12278. eCollection 2023 Jul.
3
Clinical Course of Suspected Diagnosis of Pulmonary Tumor Thrombotic Microangiopathy: A 10-Year Experience of Rapid Progressive Right Ventricular Failure Syndrome in Advanced Cancer Patients.

本文引用的文献

1
Pulmonary tumor thrombotic microangiopathy in patients with gastric carcinoma: an analysis of 6 autopsy cases and review of the literature.胃癌患者的肺肿瘤血栓性微血管病:6 例尸检病例分析及文献复习。
Pathol Res Pract. 2010 Oct 15;206(10):682-9. doi: 10.1016/j.prp.2010.05.002. Epub 2010 Jun 15.
2
Pulmonary tumor thrombotic microangiopathy.肺肿瘤血栓性微血管病
J Clin Oncol. 2007 Feb 10;25(5):597-9. doi: 10.1200/JCO.2006.09.0670.
3
Tumor-related thrombotic pulmonary microangiopathy: review of pathologic findings and pathophysiologic mechanisms.
疑似肺肿瘤血栓性微血管病的临床病程:晚期癌症患者快速进展性右心室衰竭综合征的10年经验
Korean Circ J. 2023 Mar;53(3):170-184. doi: 10.4070/kcj.2022.0252.
4
Pulmonary Tumor Embolism and Pulmonary Tumor Thrombotic Microangiopathy Causing Rapidly Progressive Respiratory Failure: A Case Series.肺肿瘤栓塞和肺肿瘤血栓性微血管病导致快速进展性呼吸衰竭:病例系列。
J Investig Med High Impact Case Rep. 2022 Jan-Dec;10:23247096221086453. doi: 10.1177/23247096221086453.
5
Pulmonary tumor thrombotic microangiopathy of patient with both hepatocellular carcinoma and gastric signet-ring cell carcinoma: a case report and review of literature.肝细胞癌和胃印戒细胞癌患者的肺肿瘤血栓性微血管病:一例报告并文献复习
Transl Cancer Res. 2021 Apr;10(4):1930-1940. doi: 10.21037/tcr-20-3107.
6
Pulmonary Tumor Thrombotic Microangiopathy with Administration of Pulmonary Vasodilator Resulting in Clinical Improvement Prior to Final Diagnosis.肺肿瘤血栓性微血管病伴肺血管扩张剂治疗后临床改善,最终确诊前。
Am J Case Rep. 2021 Oct 6;22:e933867. doi: 10.12659/AJCR.933867.
7
A Rare Case of Pulmonary Tumor Thrombotic Microangiopathy Associated with Micropapillary Urothelial Carcinoma of the Urinary Bladder: An Autopsy Case.罕见的肺肿瘤血栓性微血管病伴膀胱尿路上皮微乳头状癌:一例尸检病例。
Intern Med. 2021 Sep 1;60(17):2843-2846. doi: 10.2169/internalmedicine.6553-20. Epub 2021 Mar 15.
8
Rare cause of pulmonary hypertension - pulmonary tumour thrombotic microangiopathy.肺动脉高压的罕见病因——肺肿瘤血栓性微血管病。
BMJ Case Rep. 2019 Aug 9;12(8):e225756. doi: 10.1136/bcr-2018-225756.
9
Pulmonary tumor thrombotic microangiopathy: a systematic review.肺肿瘤血栓性微血管病:一项系统评价
Pulm Circ. 2019 Apr-Jun;9(2):2045894019851000. doi: 10.1177/2045894019851000.
10
A 49-Year-Old Man with Subacute Respiratory Failure and Interstitial Lung Opacities.一名49岁患有亚急性呼吸衰竭和间质性肺混浊的男性。
Am J Case Rep. 2017 Aug 31;18:941-944. doi: 10.12659/ajcr.903742.
肿瘤相关性血栓性肺微血管病:病理表现与病理生理机制综述
Ann Diagn Pathol. 2000 Jun;4(3):154-7. doi: 10.1016/s1092-9134(00)90038-8.
4
Pulmonary tumor thrombotic microangiopathy with pulmonary hypertension.伴有肺动脉高压的肺肿瘤血栓性微血管病
Cancer. 1990 Aug 1;66(3):587-92. doi: 10.1002/1097-0142(19900801)66:3<587::aid-cncr2820660330>3.0.co;2-j.