Suppr超能文献

被动免疫可预防LSH仓鼠发生莱姆关节炎。

Passive immunization prevents induction of Lyme arthritis in LSH hamsters.

作者信息

Schmitz J L, Schell R F, Hejka A G, England D M

机构信息

Wisconsin State Laboratory of Hygiene, University of Wisconsin, Madison 53706.

出版信息

Infect Immun. 1990 Jan;58(1):144-8. doi: 10.1128/iai.58.1.144-148.1990.

Abstract

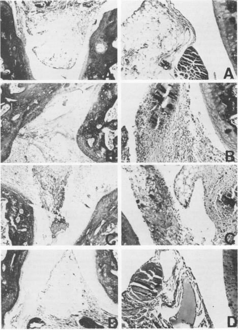
We determined that sera obtained from hamsters infected with Borrelia burgdorferi could prevent the induction of Lyme arthritis. When irradiated hamsters were administered immune serum and subsequently challenged with B. burgdorferi, no evidence of infection was detected. Recipients failed to develop swelling of the hind paws, and no histopathologic changes were detected. In addition, B. burgdorferi was not recovered from tissues of hamsters that were passively immunized. By contrast, irradiated hamsters that were administered normal hamster serum or saline and infected with the Lyme spirochete developed arthritis. Extensive histopathologic changes occurred in the hind paws and knee joints, and spirochetes were recovered from most of the tissues examined. These results show that immune serum can confer complete protection on recipient hamsters to challenge with B. burgdorferi.

摘要

我们确定,从感染伯氏疏螺旋体的仓鼠获得的血清能够预防莱姆关节炎的诱发。当给经辐照的仓鼠注射免疫血清,随后用伯氏疏螺旋体进行攻击时,未检测到感染迹象。接受者后爪未出现肿胀,也未检测到组织病理学变化。此外,在被动免疫的仓鼠组织中未分离出伯氏疏螺旋体。相比之下,接受正常仓鼠血清或生理盐水注射并感染莱姆螺旋体的经辐照仓鼠发生了关节炎。后爪和膝关节出现了广泛的组织病理学变化,并且在大多数检查的组织中都分离出了螺旋体。这些结果表明,免疫血清可以使受体仓鼠获得完全保护,使其免受伯氏疏螺旋体的攻击。

https://cdn.ncbi.nlm.nih.gov/pmc/blobs/8256/258422/3ea8e95112cf/iai00049-0162-a.jpg

文献检索

告别复杂PubMed语法,用中文像聊天一样搜索,搜遍4000万医学文献。AI智能推荐,让科研检索更轻松。

立即免费搜索

文件翻译

保留排版,准确专业,支持PDF/Word/PPT等文件格式,支持 12+语言互译。

免费翻译文档

深度研究

AI帮你快速写综述,25分钟生成高质量综述,智能提取关键信息,辅助科研写作。

立即免费体验