Suppr超能文献

110例儿童颅内囊肿手术治疗的临床及神经影像学结果

Clinical and neuroimaging outcomes of surgically treated intracranial cysts in 110 children.

作者信息

Lee Eun-Jung, Ra Young-Shin

机构信息

Department of Neurosurgery, Asan Medical Center, College of Medicine, University of Ulsan, Seoul, Korea.

出版信息

J Korean Neurosurg Soc. 2012 Oct;52(4):325-33. doi: 10.3340/jkns.2012.52.4.325. Epub 2012 Oct 22.

Abstract

OBJECTIVE

The indications and optimal surgical treatments for intracranial cysts are controversial. In the present study, we describe long-term clinical and neuroimaging results of surgically treated intracranial cysts in children. The goal of this study is to contribute to the discussion of the debate.

METHODS

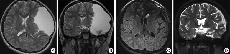
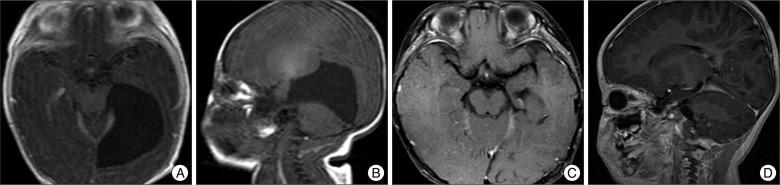
This study included 110 pediatric patients that underwent surgeries to treat intracranial cysts. Endoscopic cyst fenestrations were performed in 71 cases, while craniotomies and cyst excisions (with or without fenestrations) were performed in 30 patients. Cystoperitoneal shunts were necessary for nine patients. Long-term results were retrospectively assessed with medical and neuroimaging records.

RESULTS

Clinical and radiological improvement was reported in 87.3% and 92.8% of cases, respectively, after endoscopic neurosurgery, and in 93.3% and 100% using open microsurgery whereas 88.9% and 85.7% after shunt operation. There were no statistical differences in clinical outcomes (p=0.710) or volume reductions (p=0.177) among the different surgeries. There were no mortalities or permanent morbidities, but complications such as shunt malfunctions, infections, and subdural hematomas were observed in 56% of the patients that had shunt operations. A total of 13 patients (11.8%) underwent additional surgeries due to recurrences or treatment failures. The type of surgery performed did not influence the recurrence rate (p=0.662) or the failure rate (p=0.247).

CONCLUSION

Endoscopic neurosurgeries are less invasive than microsurgeries and are at least as effective as open surgeries. Thus, given the advantages and complications of these surgical techniques, we suggest that endoscopic fenestration should be the first treatment attempted in children with intracranial cysts.

摘要

目的

颅内囊肿的适应证及最佳手术治疗方法存在争议。在本研究中,我们描述了手术治疗儿童颅内囊肿的长期临床和神经影像学结果。本研究的目的是为这场争论的讨论提供参考。

方法

本研究纳入了110例行手术治疗颅内囊肿的儿科患者。71例行内镜下囊肿开窗术,30例行开颅囊肿切除术(有或无开窗)。9例患者需要行囊肿-腹腔分流术。通过医学和神经影像学记录对长期结果进行回顾性评估。

结果

内镜神经外科手术后,分别有87.3%和92.8%的病例临床和影像学得到改善;开颅显微手术后分别为93.3%和100%;分流手术后分别为88.9%和85.7%。不同手术方式的临床结局(p=0.710)或体积缩小情况(p=0.177)无统计学差异。无死亡或永久性致残情况,但在接受分流手术的患者中观察到56%出现分流故障、感染和硬膜下血肿等并发症。共有13例患者(11.8%)因复发或治疗失败接受了二次手术。所施行的手术类型不影响复发率(p=0.662)或失败率(p=0.247)。

结论

内镜神经外科手术的侵入性小于显微手术,且至少与开放手术一样有效。因此鉴于这些手术技术的优缺点,我们建议内镜开窗术应作为儿童颅内囊肿的首选治疗方法。

https://cdn.ncbi.nlm.nih.gov/pmc/blobs/3f14/3488640/9e76d7317143/jkns-52-325-g001.jpg

相似文献

1
Clinical and neuroimaging outcomes of surgically treated intracranial cysts in 110 children.
J Korean Neurosurg Soc. 2012 Oct;52(4):325-33. doi: 10.3340/jkns.2012.52.4.325. Epub 2012 Oct 22.
2
Assessment of endoscopic treatment for quadrigeminal cistern arachnoid cysts: A 7-year experience with 28 cases.
Childs Nerv Syst. 2016 Apr;32(4):647-54. doi: 10.1007/s00381-015-2962-5. Epub 2015 Nov 20.
5
Endoscopic cyst fenestration in the treatment of uniloculated hydrocephalus in children.
J Neurosurg Pediatr. 2013 Apr;11(4):402-9. doi: 10.3171/2012.12.PEDS12379. Epub 2013 Feb 1.
6
Microsurgical, endoscopic, and shunt management of pediatric temporosylvian arachnoid cysts: a comparative study.
J Neurosurg Pediatr. 2019 Mar 22;23(6):749-757. doi: 10.3171/2018.12.PEDS18484. Print 2019 Jun 1.
7
Endoscopy versus microsurgical cyst excision and shunting for treating intracranial arachnoid cysts.
J Neurosurg Pediatr. 2011 Aug;8(2):158-64. doi: 10.3171/2011.5.PEDS1152.
8
Clinical and radiological outcomes following surgical treatment for intra-cranial arachnoid cysts.
Clin Neurol Neurosurg. 2019 Feb;177:42-46. doi: 10.1016/j.clineuro.2018.12.018. Epub 2018 Dec 27.
10
Endoscopic treatment of quadrigeminal arachnoid cysts in children.
J Neurosurg Pediatr. 2013 Nov;12(5):521-8. doi: 10.3171/2013.7.PEDS13155. Epub 2013 Sep 6.

引用本文的文献

3
Predictors for the clinical prognosis of sylvian arachnoid cysts in children.
Front Pediatr. 2023 Mar 1;11:1075087. doi: 10.3389/fped.2023.1075087. eCollection 2023.
4
Intracranial drainage versus extracranial shunt in the treatment of intracranial arachnoid cysts: a meta-analysis.
Childs Nerv Syst. 2022 Oct;38(10):1955-1963. doi: 10.1007/s00381-022-05585-6. Epub 2022 Jun 20.
5
Severe headache and seizure free after microscopic fenestration craniotomy of middle Fossa arachnoid cyst: Case series.
Int J Surg Case Rep. 2022 May;94:107101. doi: 10.1016/j.ijscr.2022.107101. Epub 2022 Apr 20.
6
Pediatric intracranial neurenteric cyst of the oculomotor nerve: a case-based review.
Childs Nerv Syst. 2021 Dec;37(12):3681-3693. doi: 10.1007/s00381-021-05308-3. Epub 2021 Aug 17.
7
Cognition in Children with Arachnoid Cysts.
J Clin Med. 2020 Mar 20;9(3):850. doi: 10.3390/jcm9030850.
8
Arachnoid cysts: the role of the BLADE technique.
Hippokratia. 2016 Jul-Sep;20(3):244-248.
9
Management of intracranial epidermoid tumor.
Asian J Neurosurg. 2017 Apr-Jun;12(2):338. doi: 10.4103/1793-5482.145545.

本文引用的文献

1
Sylvian fissure arachnoid cysts: a survey on their diagnostic workout and practical management.
Childs Nerv Syst. 2008 May;24(5):593-604. doi: 10.1007/s00381-008-0585-9. Epub 2008 Feb 28.
2
Intracranial arachnoid cysts: current concepts and treatment alternatives.
Clin Neurol Neurosurg. 2007 Dec;109(10):837-43. doi: 10.1016/j.clineuro.2007.07.013. Epub 2007 Aug 30.
3
Quality of life in adult patients with primary intracranial arachnoid cysts.
Acta Neurochir (Wien). 2007 Oct;149(10):1025-32; discussion 1032. doi: 10.1007/s00701-007-1272-4. Epub 2007 Aug 31.
4
Epilepsy associated with a cerebellar arachnoid cyst: seizure control following fenestration of the cyst.
Childs Nerv Syst. 2008 Jan;24(1):125-34. doi: 10.1007/s00381-007-0439-x. Epub 2007 Aug 7.
6
Arachnoid cysts: case series and review of the literature.
Neurosurg Focus. 2007 Feb 15;22(2):E7. doi: 10.3171/foc.2007.22.2.7.
8
Causes of arachnoid cyst development and expansion.
Neurosurg Focus. 2007 Feb 15;22(2):E4. doi: 10.3171/foc.2007.22.2.4.
9
Endoscopic management of arachnoid cysts: an advancing technique.
J Neurosurg. 2007 Jun;106(6 Suppl):455-62. doi: 10.3171/ped.2007.106.6.455.
10
Endoscopic management of intra and paraventricular CSF cysts.
Childs Nerv Syst. 2007 Jun;23(6):645-51. doi: 10.1007/s00381-007-0327-4. Epub 2007 Apr 6.

文献AI研究员

20分钟写一篇综述,助力文献阅读效率提升50倍。

立即体验

用中文搜PubMed

大模型驱动的PubMed中文搜索引擎

马上搜索

文档翻译

学术文献翻译模型,支持多种主流文档格式。

立即体验