Suppr超能文献

全内脏反位合并贲门癌 1 例报告

Situs inversus totalis with carcinoma of gastric cardia: a case report.

机构信息

Department of General Surgery, Xiang-Ya 2nd Hospital, Central South University, Chang-Sha, Hunan Province, China.

出版信息

World J Surg Oncol. 2012 Dec 11;10:263. doi: 10.1186/1477-7819-10-263.

Abstract

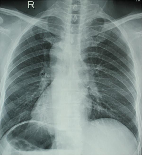
Situs inversus is an uncommon anomaly with rare incidence. Some cases of situs inversus totalis have been described with different types of associations. Here we report a case of situs inversus with carcinoma of the gastric cardia.

摘要

situs inversus 是一种罕见的异常,发病率很低。有些 situs inversus totalis 的病例伴有不同类型的合并症。在这里,我们报告一例 situs inversus 伴贲门癌。

https://cdn.ncbi.nlm.nih.gov/pmc/blobs/3aea/3544707/e2c0a560816c/1477-7819-10-263-1.jpg

文献检索

告别复杂PubMed语法,用中文像聊天一样搜索,搜遍4000万医学文献。AI智能推荐,让科研检索更轻松。

立即免费搜索

文件翻译

保留排版,准确专业,支持PDF/Word/PPT等文件格式,支持 12+语言互译。

免费翻译文档

深度研究

AI帮你快速写综述,25分钟生成高质量综述,智能提取关键信息,辅助科研写作。

立即免费体验