Suppr超能文献

利用逐点分形维数提高低剂量 CT 成像中的非局部均值的空间适应性。

Improving spatial adaptivity of nonlocal means in low-dosed CT imaging using pointwise fractal dimension.

机构信息

College of Computer Science, Sichuan University, No. 29 Jiuyanqiao Wangjiang Road, Chengdu 610064, Sichuan, China.

出版信息

Comput Math Methods Med. 2013;2013:902143. doi: 10.1155/2013/902143. Epub 2013 Mar 31.

Abstract

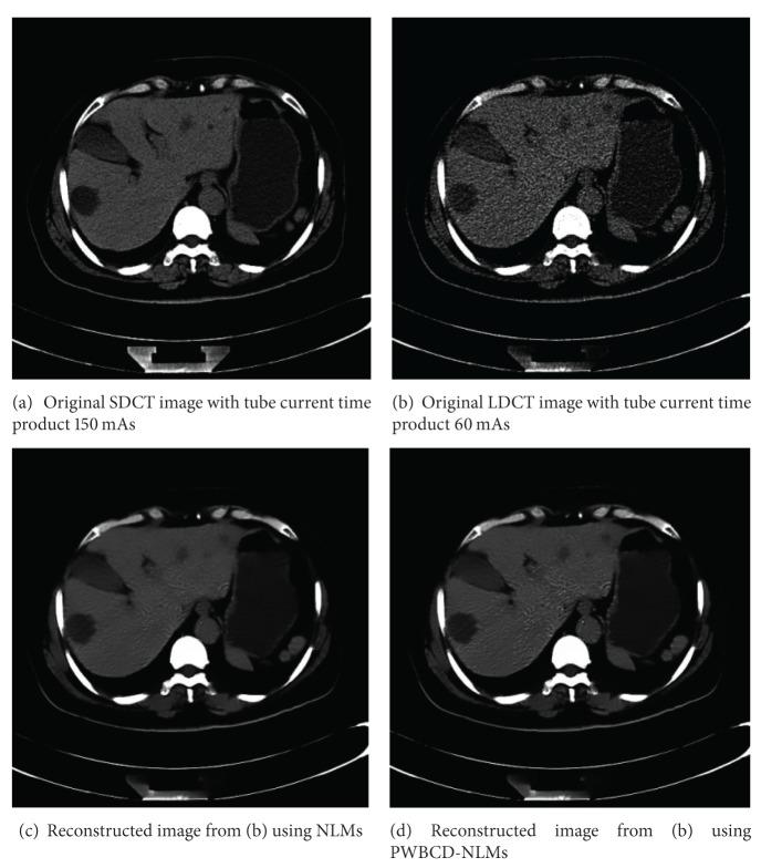
NLMs is a state-of-art image denoising method; however, it sometimes oversmoothes anatomical features in low-dose CT (LDCT) imaging. In this paper, we propose a simple way to improve the spatial adaptivity (SA) of NLMs using pointwise fractal dimension (PWFD). Unlike existing fractal image dimensions that are computed on the whole images or blocks of images, the new PWFD, named pointwise box-counting dimension (PWBCD), is computed for each image pixel. PWBCD uses a fixed size local window centered at the considered image pixel to fit the different local structures of images. Then based on PWBCD, a new method that uses PWBCD to improve SA of NLMs directly is proposed. That is, PWBCD is combined with the weight of the difference between local comparison windows for NLMs. Smoothing results for test images and real sinograms show that PWBCD-NLMs with well-chosen parameters can preserve anatomical features better while suppressing the noises efficiently. In addition, PWBCD-NLMs also has better performance both in visual quality and peak signal to noise ratio (PSNR) than NLMs in LDCT imaging.

摘要

NLMs 是一种先进的图像去噪方法;然而,它有时会过度平滑低剂量 CT(LDCT)成像中的解剖特征。在本文中,我们提出了一种使用逐点分形维数(PWFD)来提高 NLMs 空间自适应性(SA)的简单方法。与现有的在整幅图像或图像块上计算的分形图像维数不同,新的 PWFD,称为逐点盒计数维数(PWBCD),是为每个图像像素计算的。PWBCD 使用以考虑的图像像素为中心的固定大小局部窗口来拟合图像的不同局部结构。然后,基于 PWBCD,提出了一种直接使用 PWBCD 来改进 NLMs 的 SA 的新方法。也就是说,PWBCD 与 NLMs 中局部比较窗口之间差异的权重相结合。测试图像和真实正弦图的平滑结果表明,选择合适参数的 PWBCD-NLMs 可以在有效抑制噪声的同时更好地保留解剖特征。此外,PWBCD-NLMs 在 LDCT 成像中的视觉质量和峰值信噪比(PSNR)方面也优于 NLMs。

https://cdn.ncbi.nlm.nih.gov/pmc/blobs/e306/3626180/60b52492489d/CMMM2013-902143.001.jpg

文献检索

告别复杂PubMed语法,用中文像聊天一样搜索,搜遍4000万医学文献。AI智能推荐,让科研检索更轻松。

立即免费搜索

文件翻译

保留排版,准确专业,支持PDF/Word/PPT等文件格式,支持 12+语言互译。

免费翻译文档

深度研究

AI帮你快速写综述,25分钟生成高质量综述,智能提取关键信息,辅助科研写作。

立即免费体验