• 文献检索
  • 文档翻译
  • 深度研究
  • 学术资讯
  • Suppr Zotero 插件Zotero 插件
  • 邀请有礼
  • 套餐&价格
  • 历史记录
应用&插件
Suppr Zotero 插件Zotero 插件浏览器插件Mac 客户端Windows 客户端微信小程序
定价
高级版会员购买积分包购买API积分包
服务
文献检索文档翻译深度研究API 文档MCP 服务
关于我们
关于 Suppr公司介绍联系我们用户协议隐私条款
关注我们

Suppr 超能文献

核心技术专利:CN118964589B侵权必究
粤ICP备2023148730 号-1Suppr @ 2026

文献检索

告别复杂PubMed语法,用中文像聊天一样搜索,搜遍4000万医学文献。AI智能推荐,让科研检索更轻松。

立即免费搜索

文件翻译

保留排版,准确专业,支持PDF/Word/PPT等文件格式,支持 12+语言互译。

免费翻译文档

深度研究

AI帮你快速写综述,25分钟生成高质量综述,智能提取关键信息,辅助科研写作。

立即免费体验

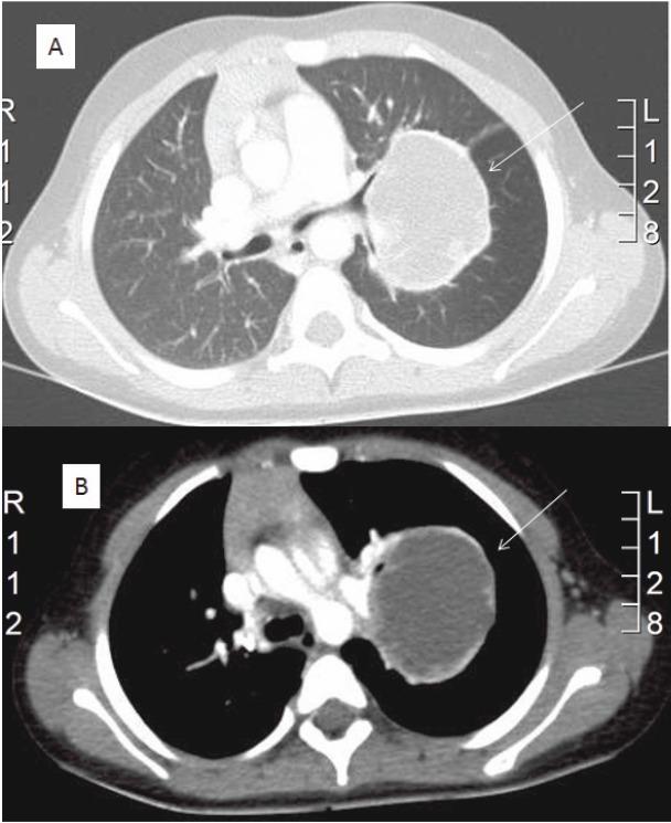
儿童原发性肺外尤文肉瘤

Primary extraosseous Ewing sarcoma of the lung in children.

作者信息

Alsit Nidal, Fernandez Clara, Michel Jean Luc, Sakhri Linda, Derouet Audrey, Pirvu Augustin

机构信息

Department of Thoracic, Vascular, and Cardiac Surgery, University Hospital Felix Guyon, Reunion, France.

出版信息

Ecancermedicalscience. 2013 Apr 30;7:312. doi: 10.3332/ecancer.2013.312. Print 2013.

DOI:10.3332/ecancer.2013.312
PMID:23653672
原文链接:https://pmc.ncbi.nlm.nih.gov/articles/PMC3634713/
Abstract

We report a case of primary extraosseous Ewing sarcoma (EES) of the lung in a four-year-old child. In the literature, there are only a few case reports of EES located in the thorax.

摘要

我们报告了一例4岁儿童原发性肺外尤文肉瘤(EES)的病例。在文献中,仅有少数关于位于胸部的EES的病例报告。

https://cdn.ncbi.nlm.nih.gov/pmc/blobs/9773/3634713/629dbbe5b2a9/can-7-312fig2.jpg
https://cdn.ncbi.nlm.nih.gov/pmc/blobs/9773/3634713/4847b9746741/can-7-312fig1.jpg
https://cdn.ncbi.nlm.nih.gov/pmc/blobs/9773/3634713/629dbbe5b2a9/can-7-312fig2.jpg
https://cdn.ncbi.nlm.nih.gov/pmc/blobs/9773/3634713/4847b9746741/can-7-312fig1.jpg
https://cdn.ncbi.nlm.nih.gov/pmc/blobs/9773/3634713/629dbbe5b2a9/can-7-312fig2.jpg

相似文献

1
Primary extraosseous Ewing sarcoma of the lung in children.儿童原发性肺外尤文肉瘤
Ecancermedicalscience. 2013 Apr 30;7:312. doi: 10.3332/ecancer.2013.312. Print 2013.
2
Extraosseous Ewing Sarcoma in a 28-Year-Old Male: A Case Report and Literature Review.一名28岁男性的骨外尤文肉瘤:病例报告及文献综述
Cureus. 2024 Jul 5;16(7):e63910. doi: 10.7759/cureus.63910. eCollection 2024 Jul.
3
Extraosseous Ewing Sarcoma in Children: A Systematic Review and Meta-Analysis of Clinicodemographic Characteristics.儿童骨外尤文肉瘤:临床人口统计学特征的系统评价和荟萃分析
Children (Basel). 2022 Nov 29;9(12):1859. doi: 10.3390/children9121859.
4
Extraosseous Ewing sarcoma in the fossa jugular: A rare case report.颈静脉窝的骨外尤文肉瘤:一例罕见病例报告。
Surg Neurol Int. 2023 Oct 27;14:382. doi: 10.25259/SNI_638_2023. eCollection 2023.
5
Extraosseous Ewing sarcoma in the mesentery: the first report of cases in children.肠系膜内骨外尤文肉瘤:儿童病例的首例报告
Pediatr Surg Int. 2015 Oct;31(10):995-9. doi: 10.1007/s00383-015-3782-0. Epub 2015 Aug 18.
6
Primary intradural extraosseous Ewing sarcoma of the spine: case report and literature review.脊柱原发性硬脊膜外骨外尤文肉瘤:病例报告及文献复习。
Neurosurgery. 2011 Oct;69(4):E995-9. doi: 10.1227/NEU.0b013e318223b7c7.
7
The Successful Treatment of Metastatic Extraosseous Ewing Sarcoma with Pazopanib.帕唑帕尼成功治疗转移性骨外尤文肉瘤
Intern Med. 2018 Sep 15;57(18):2753-2757. doi: 10.2169/internalmedicine.9879-17. Epub 2018 May 18.
8
Extraosseous Ewing Sarcoma Manifesting as an Acute Abdomen in a Young Adult Male: a Case Report.骨外尤文肉瘤表现为年轻男性急性腹痛:病例报告。
S D Med. 2024 Apr;77(4):158-159.
9
Unusual Manifestation of Extraosseous Ewing Sarcoma: Report of 3 Cases.骨外尤文肉瘤的不寻常表现:3例报告
Balkan J Med Genet. 2023 May 2;25(2):77-81. doi: 10.2478/bjmg-2022-0022. eCollection 2023 May.
10
Evaluation of outcome and prognostic factors in extraosseous Ewing sarcoma.骨外尤文肉瘤的预后及预后因素评估
Pediatr Blood Cancer. 2014 Nov;61(11):1925-31. doi: 10.1002/pbc.25095. Epub 2014 Aug 17.

引用本文的文献

1
Primary Ewing sarcoma/primitive neuroectodermal tumor of the lung.原发性肺尤因肉瘤/原始神经外胚层肿瘤
Autops Case Rep. 2020 Sep 2;10(3):e2020199. doi: 10.4322/acr.2020.199.
2
Primary pulmonary Ewing sarcoma/peripheral primitive neuroectodermal tumor.原发性肺尤因肉瘤/外周原始神经外胚层肿瘤
Proc (Bayl Univ Med Cent). 2020 Aug 19;33(4):646-648. doi: 10.1080/08998280.2020.1798723.
3
Primary ewings sarcoma of the lung.原发性肺尤因肉瘤

本文引用的文献

1
Extraskeletal Ewing's sarcoma presenting as a posterior mediastinal mass.骨外尤文肉瘤表现为后纵隔肿块。
Arch Bronconeumol. 2013 Feb;49(2):82-4. doi: 10.1016/j.arbres.2012.02.020. Epub 2012 May 8.
2
Giant extraosseous Ewing sarcoma of the lung in a young adolescent female--a case report.一名年轻青春期女性的肺部巨大骨外尤文肉瘤——病例报告
Acta Orthop Belg. 2011 Apr;77(2):270-3.
3
Extraskeletal Ewing's sarcoma: a report of 18 cases and literature review.骨外尤文肉瘤:18例报告及文献复习
J Clin Diagn Res. 2015 Jan;9(1):XD01-XD03. doi: 10.7860/JCDR/2015/10946.5436. Epub 2015 Jan 1.
Chin J Cancer. 2010 Apr;29(4):420-4. doi: 10.5732/cjc.009.10402.
4
Primary extraskeletal Ewing's sarcoma of the lung.原发性肺外尤文肉瘤
Interact Cardiovasc Thorac Surg. 2010 May;10(5):803-4. doi: 10.1510/icvts.2009.216952. Epub 2010 Jan 12.
5
Primary pulmonary Ewing's sarcoma/primitive neuroectodermal tumor in a 67-year-old man.一名67岁男性的原发性肺尤因肉瘤/原始神经外胚层肿瘤
J Korean Med Sci. 2007 Sep;22 Suppl(Suppl):S159-63. doi: 10.3346/jkms.2007.22.S.S159.
6
A general aspect on soft-tissue sarcoma and c-kit expression in primitive neuroectodermal tumor and Ewing's sarcoma. Is there any role in disease process?软组织肉瘤以及原始神经外胚层肿瘤和尤因肉瘤中c-kit表达的一般情况。其在疾病进程中是否起作用?
Saudi Med J. 2005 Aug;26(8):1190-6.