Suppr超能文献

肠膜明串珠菌 DC102 对人参皂苷 Rb1 向原人参二醇型皂苷、绞股蓝皂苷 XVII、人参皂苷 Rd、人参皂苷 F2 和化合物 K 的生物转化。

Biotransformation of Ginsenoside Rb1 to Prosapogenins, Gypenoside XVII, Ginsenoside Rd, Ginsenoside F2, and Compound K by Leuconostoc mesenteroides DC102.

机构信息

Korean Ginseng Center Most Valuable Product and Ginseng Genetic Resource Bank, Kyung Hee University, Yongin 446-701, Korea.

出版信息

J Ginseng Res. 2011 Sep;35(3):344-51. doi: 10.5142/jgr.2011.35.3.344.

Abstract

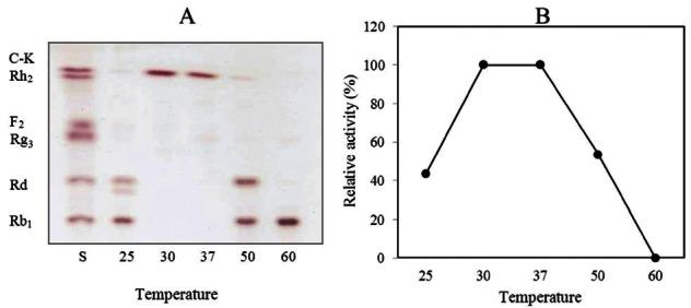
Ginsenoside Rb1is the main component in ginsenosides. It is a protopanaxadiol-type ginsenoside that has a dammarane-type triterpenoid as an aglycone. In this study, ginsenoside Rb1 was transformed into gypenoside XVII, ginsenoside Rd, ginsenoside F2 and compound K by glycosidase from Leuconostoc mesenteroides DC102. The optimum time for the conversion was about 72 h at a constant pH of 6.0 to 8.0 and the optimum temperature was about 30℃. Under optimal conditions, ginsenoside Rb1 was decomposed and converted into compound K by 72 h post-reaction (99%). The enzymatic reaction was analyzed by highperformance liquid chromatography, suggesting the transformation pathway: ginsenoside Rb1→ gypenoside XVII and ginsenoside Rd→ginsenoside F2→compound K.

摘要

人参皂苷 Rb1 是人参皂苷中的主要成分。它是一种达玛烷型人参皂苷,其糖苷配基为三萜烯。在本研究中,来源于肠膜明串珠菌 DC102 的糖苷酶将人参皂苷 Rb1 转化为了玉竹新苷 XVII、人参皂苷 Rd、人参皂苷 F2 和化合物 K。在 pH 值为 6.0 到 8.0 恒定、温度约为 30℃的条件下,转化的最佳时间约为 72 小时。在最佳条件下,人参皂苷 Rb1 在反应 72 小时后被分解并转化为化合物 K(99%)。通过高效液相色谱法对酶反应进行分析,表明其转化途径为:人参皂苷 Rb1→玉竹新苷 XVII 和人参皂苷 Rd→人参皂苷 F2→化合物 K。

https://cdn.ncbi.nlm.nih.gov/pmc/blobs/97e3/3659545/c4b16efea475/grosbr-35-344-g001.jpg

文献检索

告别复杂PubMed语法,用中文像聊天一样搜索,搜遍4000万医学文献。AI智能推荐,让科研检索更轻松。

立即免费搜索

文件翻译

保留排版,准确专业,支持PDF/Word/PPT等文件格式,支持 12+语言互译。

免费翻译文档

深度研究

AI帮你快速写综述,25分钟生成高质量综述,智能提取关键信息,辅助科研写作。

立即免费体验