Suppr超能文献

Cartilaginous melanoma: case report and review of the literature.

作者信息

Joana Devesa Parente, Labareda José Manuel Pereira da Silva, Bártolo Elvira Augusta Felgueira Leonardo Fernandes, Santos Maria Fernanda Sachse Pinto Fonseca, Vale Esmeralda Maria Seco do

机构信息

Santarém District Hospital, Department of Dermatology, Santarém, Portugal.

出版信息

An Bras Dermatol. 2013 May-Jun;88(3):403-7. doi: 10.1590/abd1806-4841.20131595.

Abstract

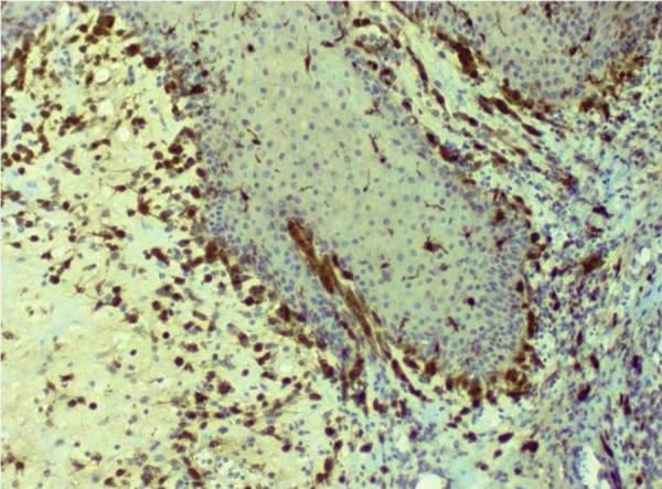
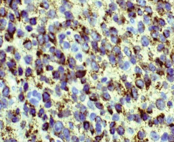
Malignant melanoma can present a variety of histopathological patterns. Cartilaginous change in the absence of osteogenic differentiation is extremely rare in malignant melanoma, being among the least frequent of the wide range of melanoma histologic patterns. We report a case of a 47-year-old woman with a subungual nodule on her right great toe for many years. Histopathological examination of the lesion led to a diagnosis of malignant melanoma with cartilaginous differentiation devoid of concomitant osseous areas. It would appear that this unusual form of melanoma has a predilection for acral location, particularly the subungual region. Malignant melanoma with chondroid stroma should therefore be considered in the differential diagnosis of cartilaginous lesions of the toes and fingers. Careful examination of the overlying epidermis and identification of an in situ component of melanoma may be necessary in order to establish the correct diagnosis.

摘要
https://cdn.ncbi.nlm.nih.gov/pmc/blobs/9d14/3754372/2db6d8b2e43f/abd-88-0403-g01.jpg

文献AI研究员

20分钟写一篇综述,助力文献阅读效率提升50倍。

立即体验

用中文搜PubMed

大模型驱动的PubMed中文搜索引擎

马上搜索

文档翻译

学术文献翻译模型,支持多种主流文档格式。

立即体验