Turku University Hospital, Turku, Finland.
Emerg Infect Dis. 2013 Aug;19(8):1328-31. doi: 10.3201/eid.1908.130074.
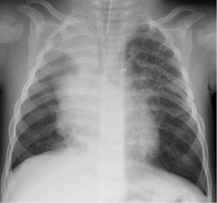
Human bocavirus 1 (HBoV1) was detected in a young child hospitalized for pneumonia and subsequently in his twin brother and other family members. The mother's nasopharyngeal samples intermittently showed HBoV1 DNA; the grandmother had HBoV1 reinfection. Findings in this family lead to consideration of HBoV virulence, latency, and reactivation.
人博卡病毒 1 型(HBoV1)在一名因肺炎住院的幼儿及其双胞胎兄弟和其他家庭成员中被检测到。该幼儿母亲的鼻咽样本间歇性显示 HBoV1 DNA;幼儿的祖母则出现了 HBoV1 再感染。该家庭的研究结果提示我们需要考虑 HBoV 的毒力、潜伏和再激活。