Suppr超能文献

脑空气栓塞中的治疗性低温:一例报告

Therapeutic hypothermia in cerebral air embolism: a case report.

作者信息

Bäuerle Jochen, Fischer Andreas, Hornig Tobias, Egger Karl, Wengenmayer Tobias, Bardutzky Jürgen

机构信息

Department of Cardiology and Angiology, University Hospital Freiburg, Freiburg, Germany.

出版信息

Springerplus. 2013 Aug 28;2:411. doi: 10.1186/2193-1801-2-411. eCollection 2013.

Abstract

BACKGROUND

Cerebral air embolism is a life-threatening complication of various diagnostic and therapeutic procedures. Hyperbaric oxygenation is considered to be the cornerstone of its treatment.

CASE DESCRIPTION

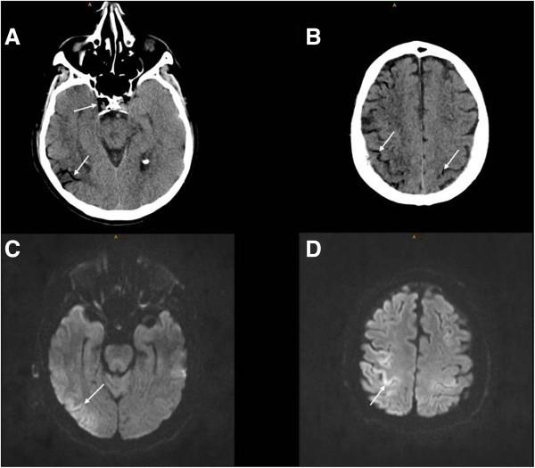
We report a patient with cerebral air embolism after endoscopy of a perineal abscess. Immediate CT imaging confirmed the diagnosis and MRI showed cortically localized areas of restricted diffusion along the gyri. Since hyperbaric oxygenation was not available, moderate hypothermia was applied for neuroprotection.

CONCLUSION

This case illustrates a rare complication of endoscopic interventions, and imaging characteristics of cerebral air embolism were described. Furthermore, we discuss the potential utility of therapeutic hypothermia in cerebral air embolism.

摘要

背景

脑空气栓塞是各种诊断和治疗程序中危及生命的并发症。高压氧疗被认为是其治疗的基石。

病例描述

我们报告一例经会阴脓肿内镜检查后发生脑空气栓塞的患者。立即进行的CT成像确诊了该诊断,MRI显示沿脑回有皮质定位的扩散受限区域。由于无法进行高压氧疗,因此采用中度低温进行神经保护。

结论

本病例说明了内镜干预的一种罕见并发症,并描述了脑空气栓塞的影像学特征。此外,我们讨论了治疗性低温在脑空气栓塞中的潜在效用。

https://cdn.ncbi.nlm.nih.gov/pmc/blobs/2126/3766511/442789fe04e6/40064_2013_489_Fig1_HTML.jpg

文献检索

告别复杂PubMed语法,用中文像聊天一样搜索,搜遍4000万医学文献。AI智能推荐,让科研检索更轻松。

立即免费搜索

文件翻译

保留排版,准确专业,支持PDF/Word/PPT等文件格式,支持 12+语言互译。

免费翻译文档

深度研究

AI帮你快速写综述,25分钟生成高质量综述,智能提取关键信息,辅助科研写作。

立即免费体验