Goodhead Andrew K, Head Ian M, Snape Jason R, Davenport Russell J
Sartorius Mechatronics UK Limited, Longmead Business Centre, Blenheim Road, Epsom, Surrey, KT19 9QQ, UK.
Environ Sci Pollut Res Int. 2014;21(16):9511-21. doi: 10.1007/s11356-013-2064-4. Epub 2013 Sep 17.
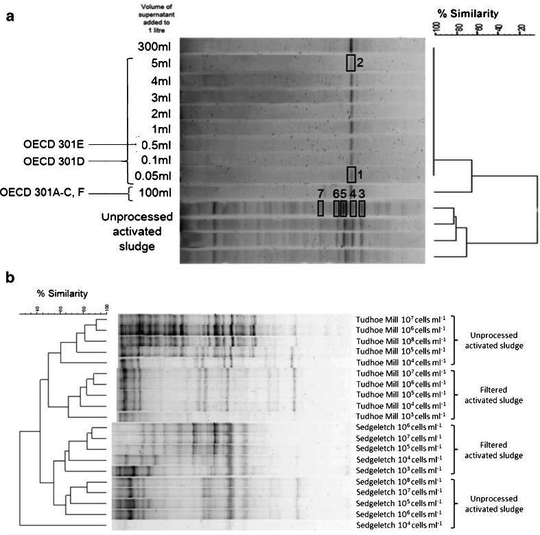
OECD ready biodegradability tests have been central to understanding the biodegradation of chemicals from a regulatory perspective for many decades. They are not fit for contemporary prioritisation of chemicals based on persistence, however, due to the low concentration of inocula used, short duration and high variability between tests. Two OECD standard inoculum pretreatment methods (settlement and filtration) were investigated to observe their effect on the probability of biodegradation and associated changes in bacterial community structure and diversity of inocula sourced from the activated sludge process of wastewater treatment plants. Both settlement and filtration were shown to dramatically and significantly reduce the probability and increase the variability of biodegradation of 4-nitrophenol compared to the use of unprocessed inocula. These differences were associated with a significant hundred-fold reduction in cell numbers and solids content and a significant shift in bacterial community structure that was sometimes accompanied by significant reductions in detectable operational taxonomic unit richness and evenness. The natural variation (between different environments) and variation due to differential selection of bacterial communities (by different pretreatment methods) is offered as an explanation for the historical high variability in standard OECD ready biodegradability tests.
几十年来,经合组织(OECD)的易生物降解性测试一直是从监管角度理解化学品生物降解的核心。然而,由于所用接种物浓度低、测试持续时间短以及测试之间的高变异性,它们不适用于基于持久性对化学品进行当代优先排序。研究了两种经合组织标准接种物预处理方法(沉降和过滤),以观察它们对源自废水处理厂活性污泥工艺的接种物的生物降解概率以及细菌群落结构和多样性相关变化的影响。与使用未处理的接种物相比,沉降和过滤均显示出显著且大幅降低4-硝基苯酚的生物降解概率并增加其变异性。这些差异与细胞数量和固体含量显著降低百倍以及细菌群落结构的显著变化有关,有时还伴随着可检测的操作分类单元丰富度和均匀度的显著降低。自然变异(不同环境之间)以及由于细菌群落的差异选择(通过不同的预处理方法)导致的变异被用来解释经合组织标准易生物降解性测试中历来存在的高变异性。