Suppr超能文献

牡丹皮中的主要化合物丹皮酚可减轻顺铂诱导的小鼠肾毒性。

Paeonol, a major compound of moutan cortex, attenuates Cisplatin-induced nephrotoxicity in mice.

机构信息

Department of Physiology, College of Korean Medicine, Kyung Hee University, 1 Hoeki-Dong, Dongdaemoon-gu, Seoul 130-701, Republic of Korea.

出版信息

Evid Based Complement Alternat Med. 2013;2013:310989. doi: 10.1155/2013/310989. Epub 2013 Sep 19.

Abstract

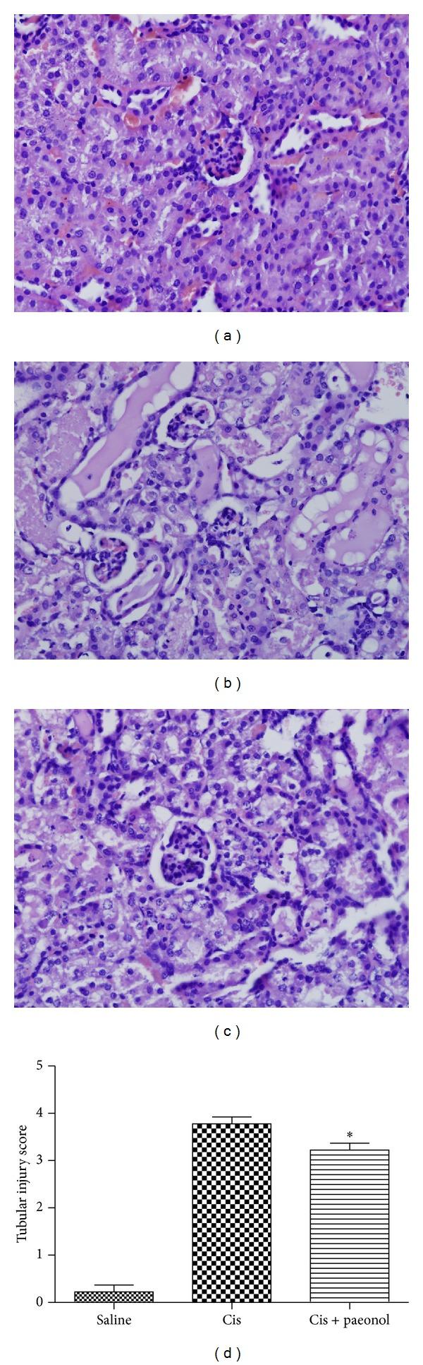
Cisplatin is an effective chemotherapeutic agent that is used for the treatment of a variety of cancers; however, its nephrotoxicity limits the use of this drug. In the present study, we examined whether paeonol, a major compound of Moutan Cortex, has protective effects on cisplatin-induced acute renal failure in mice. To accomplish this, Balb/c mice (6 to 8 wk of age, weighing 20 to 25 g) were administered, Moutan Cortex (300 mg/kg) or paeonol (20 mg/kg) once a day. At day 4, mice received cisplatin (30, 20, or 10 mg/kg) intraperitoneally. The paeonol-treated group showed marked attenuation of serum creatine and blood urea nitrogen levels as well as reduced levels of proinflammatory cytokines and nitric oxide when compared to the control group. In addition, the paeonol-treated group showed prolonged survival and marked attenuation of renal tissue injury. Taken together, these results demonstrated that paeonol can prevent the renal toxic effects of cisplatin.

摘要

顺铂是一种有效的化疗药物,用于治疗多种癌症;然而,其肾毒性限制了该药物的使用。在本研究中,我们研究了丹皮酚,牡丹皮的主要化合物,是否对顺铂诱导的小鼠急性肾衰竭有保护作用。为了实现这一目标,Balb/c 小鼠(6 至 8 周龄,体重 20 至 25 克)每天给予牡丹皮(300 毫克/千克)或丹皮酚(20 毫克/千克)一次。在第 4 天,小鼠腹膜内给予顺铂(30、20 或 10 毫克/千克)。与对照组相比,丹皮酚处理组的血清肌酐和血尿素氮水平明显降低,促炎细胞因子和一氧化氮水平也降低。此外,丹皮酚处理组的存活率延长,肾组织损伤明显减轻。综上所述,这些结果表明丹皮酚可以预防顺铂的肾毒性作用。

https://cdn.ncbi.nlm.nih.gov/pmc/blobs/f9f8/3792522/4b8658fead97/ECAM2013-310989.001.jpg

文献AI研究员

20分钟写一篇综述,助力文献阅读效率提升50倍。

立即体验

用中文搜PubMed

大模型驱动的PubMed中文搜索引擎

马上搜索

文档翻译

学术文献翻译模型,支持多种主流文档格式。

立即体验