• 文献检索
  • 文档翻译
  • 深度研究
  • 学术资讯
  • Suppr Zotero 插件Zotero 插件
  • 邀请有礼
  • 套餐&价格
  • 历史记录
应用&插件
Suppr Zotero 插件Zotero 插件浏览器插件Mac 客户端Windows 客户端微信小程序
定价
高级版会员购买积分包购买API积分包
服务
文献检索文档翻译深度研究API 文档MCP 服务
关于我们
关于 Suppr公司介绍联系我们用户协议隐私条款
关注我们

Suppr 超能文献

核心技术专利:CN118964589B侵权必究
粤ICP备2023148730 号-1Suppr @ 2026

文献检索

告别复杂PubMed语法,用中文像聊天一样搜索,搜遍4000万医学文献。AI智能推荐,让科研检索更轻松。

立即免费搜索

文件翻译

保留排版,准确专业,支持PDF/Word/PPT等文件格式,支持 12+语言互译。

免费翻译文档

深度研究

AI帮你快速写综述,25分钟生成高质量综述,智能提取关键信息,辅助科研写作。

立即免费体验

ALDH1 是免疫组化诊断标志物,用于源自基因谱研究的脑膜孤立性纤维肿瘤和血管外皮细胞瘤。

ALDH1 is an immunohistochemical diagnostic marker for solitary fibrous tumours and haemangiopericytomas of the meninges emerging from gene profiling study.

机构信息

Department of Neuropathology and APHM Tumor Bank, LaTimone Hospital, Marseille, France.

出版信息

Acta Neuropathol Commun. 2013 May 9;1:10. doi: 10.1186/2051-5960-1-10.

DOI:10.1186/2051-5960-1-10
PMID:24252471
原文链接:https://pmc.ncbi.nlm.nih.gov/articles/PMC3893364/
Abstract

BACKGROUND

Solitary Fibrous Tumours (SFT) and haemangiopericytomas (HPC) are rare meningeal tumours that have to be distinguished from meningiomas and more rarely from synovial sarcomas. We recently found that ALDH1A1 was overexpressed in SFT and HPC as compared to soft tissue sarcomas. Using whole-genome DNA microarrays, we defined the gene expression profiles of 16 SFT/HPC (9 HPC and 7 SFT). Expression profiles were compared to publicly available expression profiles of additional SFT or HPC, meningiomas and synovial sarcomas. We also performed an immunohistochemical (IHC) study with anti-ALDH1 and anti-CD34 antibodies on Tissue Micro-Arrays including 38 SFT (25 meningeal and 13 extrameningeal), 55 meningeal haemangiopericytomas (24 grade II, 31 grade III), 163 meningiomas (86 grade I, 62 grade II, 15 grade III) and 98 genetically confirmed synovial sarcomas.

RESULTS

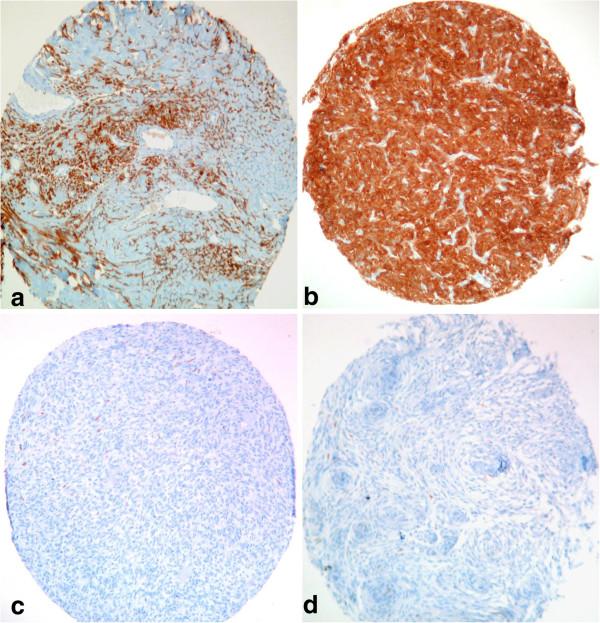
ALDH1A1 gene was overexpressed in SFT/HPC, as compared to meningiomas and synovial sarcomas. These findings were confirmed at the protein level. 84% of the SFT and 85.4% of the HPC were positive with anti-ALDH1 antibody, while only 7.1% of synovial sarcomas and 1.2% of meningiomas showed consistent expression. Positivity was usually more diffuse in SFT/HPC compared to other tumours with more than 50% of tumour cells immunostained in 32% of SFT and 50.8% of HPC. ALDH1 was a sensitive and specific marker for the diagnosis of SFT (SE = 84%, SP = 98.8%) and HPC (SE = 84.5%, SP = 98.7%) of the meninges. In association with CD34, ALDH1 expression had a specificity and positive predictive value of 100%.

CONCLUSION

We show that ALDH1, a stem cell marker, is an accurate diagnostic marker for SFT and HPC, which improves the diagnostic value of CD34. ALDH1 could also be a new therapeutic target for these tumours which are not sensitive to conventional chemotherapy.

摘要

背景

孤立性纤维瘤(SFT)和血管外皮细胞瘤(HPC)是罕见的脑膜肿瘤,需要与脑膜瘤区分,更罕见的是与滑膜肉瘤区分。我们最近发现 ALDH1A1 在 SFT 和 HPC 中的表达高于软组织肉瘤。使用全基因组 DNA 微阵列,我们定义了 16 例 SFT/HPC(9 例 HPC 和 7 例 SFT)的基因表达谱。表达谱与其他 SFT 或 HPC、脑膜瘤和滑膜肉瘤的公开表达谱进行比较。我们还使用抗 ALDH1 和抗 CD34 抗体对包括 38 例 SFT(25 例脑膜和 13 例脑膜外)、55 例脑膜血管外皮细胞瘤(24 级 II 期,31 级 III 期)、163 例脑膜瘤(86 级 I 期,62 级 II 期,15 级 III 期)和 98 例经基因确认的滑膜肉瘤的组织微阵列进行了免疫组织化学(IHC)研究。

结果

与脑膜瘤和滑膜肉瘤相比,ALDH1A1 基因在 SFT/HPC 中过度表达。这些发现得到了蛋白质水平的证实。84%的 SFT 和 85.4%的 HPC 与抗 ALDH1 抗体呈阳性,而只有 7.1%的滑膜肉瘤和 1.2%的脑膜瘤表现出一致的表达。与其他肿瘤相比,SFT/HPC 的阳性通常更为弥漫,32%的 SFT 和 50.8%的 HPC 中超过 50%的肿瘤细胞免疫染色。ALDH1 是 SFT(SE=84%,SP=98.8%)和脑膜 HPC(SE=84.5%,SP=98.7%)诊断的敏感和特异性标志物。与 CD34 联合使用时,ALDH1 表达的特异性和阳性预测值为 100%。

结论

我们表明,干细胞标志物 ALDH1 是 SFT 和 HPC 的准确诊断标志物,提高了 CD34 的诊断价值。ALDH1 也可能成为这些对常规化疗不敏感的肿瘤的新治疗靶点。

https://cdn.ncbi.nlm.nih.gov/pmc/blobs/bc89/3893364/019acfd7cd36/2051-5960-1-10-2.jpg
https://cdn.ncbi.nlm.nih.gov/pmc/blobs/bc89/3893364/ee9a5eb5b270/2051-5960-1-10-1.jpg
https://cdn.ncbi.nlm.nih.gov/pmc/blobs/bc89/3893364/019acfd7cd36/2051-5960-1-10-2.jpg
https://cdn.ncbi.nlm.nih.gov/pmc/blobs/bc89/3893364/ee9a5eb5b270/2051-5960-1-10-1.jpg
https://cdn.ncbi.nlm.nih.gov/pmc/blobs/bc89/3893364/019acfd7cd36/2051-5960-1-10-2.jpg

相似文献

1
ALDH1 is an immunohistochemical diagnostic marker for solitary fibrous tumours and haemangiopericytomas of the meninges emerging from gene profiling study.ALDH1 是免疫组化诊断标志物,用于源自基因谱研究的脑膜孤立性纤维肿瘤和血管外皮细胞瘤。
Acta Neuropathol Commun. 2013 May 9;1:10. doi: 10.1186/2051-5960-1-10.
2
Differential Diagnosis of Meningeal SFT-HPC and Meningioma: Which Immunohistochemical Markers Should Be Used?脑膜孤立性纤维性肿瘤-血管外皮细胞瘤与脑膜瘤的鉴别诊断:应使用哪些免疫组化标志物?
Am J Surg Pathol. 2016 Feb;40(2):270-8. doi: 10.1097/PAS.0000000000000526.
3
Aberrant expression of thyroid transcription factor-1 in meningeal solitary fibrous tumor/hemangiopericytoma.脑膜孤立性纤维肿瘤/血管外皮细胞瘤中甲状腺转录因子-1 的异常表达。
Brain Tumor Pathol. 2021 Apr;38(2):122-131. doi: 10.1007/s10014-021-00395-1. Epub 2021 Mar 5.
4
Meningeal hemangiopericytoma and solitary fibrous tumors carry the NAB2-STAT6 fusion and can be diagnosed by nuclear expression of STAT6 protein.脑膜血管外皮细胞瘤和孤立性纤维瘤携带 NAB2-STAT6 融合基因,可通过 STAT6 蛋白核表达进行诊断。
Acta Neuropathol. 2013 May;125(5):651-8. doi: 10.1007/s00401-013-1117-6. Epub 2013 Apr 11.
5
Intracranial anaplastic solitary fibrous tumor/hemangiopericytoma: immunohistochemical markers for definitive diagnosis.颅内间变性孤立性纤维肿瘤/血管外皮细胞瘤:明确诊断的免疫组织化学标志物。
Neurosurg Rev. 2021 Jun;44(3):1591-1600. doi: 10.1007/s10143-020-01348-6. Epub 2020 Jul 15.
6
Meningeal solitary fibrous tumor/hemangiopericytoma: Emphasizing on STAT 6 immunohistochemistry with a review of literature.脑膜孤立性纤维瘤/血管外皮细胞瘤:强调 STAT6 免疫组化,并复习文献。
Neurol India. 2018 Sep-Oct;66(5):1419-1426. doi: 10.4103/0028-3886.241365.
7
Descriptive epidemiology of 399 histologically confirmed newly diagnosed meningeal solitary fibrous tumours and haemangiopericytomas in France: 2006-2015.法国 2006-2015 年 399 例组织学证实的新诊断脑膜孤立性纤维瘤和血管外皮细胞瘤的描述性流行病学研究。
Acta Neurochir (Wien). 2024 Aug 2;166(1):320. doi: 10.1007/s00701-024-06191-y.
8
Clinical and Radiographic Features for Differentiating Solitary Fibrous Tumor/Hemangiopericytoma From Meningioma.鉴别孤立性纤维瘤/血管外皮细胞瘤与脑膜瘤的临床和影像学特征。
World Neurosurg. 2019 Oct;130:e383-e392. doi: 10.1016/j.wneu.2019.06.094. Epub 2019 Jun 21.
9
A reappraisal of hemangiopericytoma of bone; analysis of cases reclassified as synovial sarcoma and solitary fibrous tumor of bone.骨血管外皮细胞瘤再评估;重新分类为滑膜肉瘤和骨孤立性纤维瘤的病例分析。
Am J Surg Pathol. 2010 Jun;34(6):777-83. doi: 10.1097/PAS.0b013e3181dbedf1.
10
[Diagnostic value of STAT6 immunohistochemistry in solitary fibrous tumor/meningeal hemangiopericytoma].[STAT6免疫组化在孤立性纤维性肿瘤/脑膜血管外皮细胞瘤中的诊断价值]
Zhonghua Bing Li Xue Za Zhi. 2016 Feb;45(2):97-101. doi: 10.3760/cma.j.issn.0529-5807.2016.02.006.

引用本文的文献

1
Meningeal malignant solitary fibrous tumor with multiple recurrence, extracranial extension, cervical lymph node metastases: case report and review of the literature.脑膜恶性孤立性纤维瘤伴多次复发、颅外扩展及颈部淋巴结转移:病例报告及文献复习
Discov Oncol. 2025 May 12;16(1):732. doi: 10.1007/s12672-025-02441-2.
2
Solitary fibrous tumor of the pineal gland: a case report and review of the literature.松果体孤立性纤维瘤:一例报告并文献复习
Front Oncol. 2024 Aug 8;14:1392540. doi: 10.3389/fonc.2024.1392540. eCollection 2024.
3
Endoscopic treatment of solitary fibrous tumor of the trachea: a case report.

本文引用的文献

1
Whole-exome sequencing identifies a recurrent NAB2-STAT6 fusion in solitary fibrous tumors.全外显子组测序鉴定出孤立性纤维瘤中存在 NAB2-STAT6 融合基因的反复出现。
Nat Genet. 2013 Feb;45(2):131-2. doi: 10.1038/ng.2522. Epub 2013 Jan 13.
2
Identification of recurrent NAB2-STAT6 gene fusions in solitary fibrous tumor by integrative sequencing.通过整合测序鉴定孤立性纤维瘤中的复发性 NAB2-STAT6 基因融合。
Nat Genet. 2013 Feb;45(2):180-5. doi: 10.1038/ng.2509. Epub 2013 Jan 13.
3
Solitary fibrous tumors and hemangiopericytomas of the meninges: overlapping pathological features and common prognostic factors suggest the same spectrum of tumors.
气管孤立性纤维瘤的内镜治疗:一例报告
Transl Cancer Res. 2023 Mar 31;12(3):646-650. doi: 10.21037/tcr-22-1622. Epub 2023 Mar 15.
4
Extra-meningeal solitary fibrous tumor: an evolving entity with chameleonic morphological diversity, a hallmark molecular alteration and unresolved issues in risk stratification assessment.脑膜外孤立性纤维瘤:一种具有变色龙样形态多样性的不断演变的实体,具有标志性的分子改变,但在风险分层评估方面仍存在未解决的问题。
Histol Histopathol. 2023 Oct;38(10):1079-1097. doi: 10.14670/HH-18-608. Epub 2023 Mar 16.
5
Liver Metastasis From Intracranial Hemangiopericytoma 8 Years After Initial Resection: Case Report.颅内血管外皮细胞瘤切除 8 年后发生肝转移:病例报告。
J Investig Med High Impact Case Rep. 2022 Jan-Dec;10:23247096221132244. doi: 10.1177/23247096221132244.
6
Novel Therapeutic Options for Solitary Fibrous Tumor: Antiangiogenic Therapy and Beyond.孤立性纤维性肿瘤的新型治疗选择:抗血管生成治疗及其他。
Cancers (Basel). 2022 Feb 20;14(4):1064. doi: 10.3390/cancers14041064.
7
The many faces of solitary fibrous tumor; diversity of histological features, differential diagnosis and role of molecular studies and surrogate markers in avoiding misdiagnosis and predicting the behavior.孤立性纤维瘤的多面性;组织学特征的多样性、鉴别诊断以及分子研究和替代标志物在避免误诊和预测行为中的作用。
Diagn Pathol. 2021 Apr 20;16(1):32. doi: 10.1186/s13000-021-01095-2.
8
Intracranial Primary Malignant Solitary Fibrous Tumor/Hemangiopericytoma Masquerading as Meningioma: Report of a Rare Case.伪装成脑膜瘤的颅内原发性恶性孤立性纤维性肿瘤/血管外皮细胞瘤:1例罕见病例报告
Int J Gen Med. 2020 Oct 29;13:963-967. doi: 10.2147/IJGM.S279483. eCollection 2020.
9
Intracranial anaplastic solitary fibrous tumor/hemangiopericytoma: immunohistochemical markers for definitive diagnosis.颅内间变性孤立性纤维肿瘤/血管外皮细胞瘤:明确诊断的免疫组织化学标志物。
Neurosurg Rev. 2021 Jun;44(3):1591-1600. doi: 10.1007/s10143-020-01348-6. Epub 2020 Jul 15.
10
Intracranial solitary fibrous tumor: Report of two cases.颅内孤立性纤维瘤:两例报告。
Medicine (Baltimore). 2019 Apr;98(17):e15327. doi: 10.1097/MD.0000000000015327.
脑膜孤立性纤维性肿瘤和血管外皮细胞瘤:重叠的病理特征和共同的预后因素提示存在同一肿瘤谱。
Brain Pathol. 2012 Jul;22(4):511-21. doi: 10.1111/j.1750-3639.2011.00552.x. Epub 2011 Dec 22.
4
Breast cancer stem cell markers CD44, CD24 and ALDH1: expression distribution within intrinsic molecular subtype.乳腺癌干细胞标志物 CD44、CD24 和 ALDH1:内在分子亚型内的表达分布。
J Clin Pathol. 2011 Nov;64(11):937-46. doi: 10.1136/jcp.2011.090456. Epub 2011 Jun 16.
5
Aldehyde dehydrogenase: its role as a cancer stem cell marker comes down to the specific isoform.醛脱氢酶:作为癌症干细胞标志物的作用取决于特定的同工酶。
Cell Cycle. 2011 May 1;10(9):1378-84. doi: 10.4161/cc.10.9.15486.
6
Possible involvement of stem-like populations with elevated ALDH1 in sarcomas for chemotherapeutic drug resistance.可能与肉瘤中 ALDH1 升高的干细胞样群体有关,这些群体导致了化疗药物耐药性。
Oncol Rep. 2010 Aug;24(2):501-5. doi: 10.3892/or_00000885.
7
IGF2 over-expression in solitary fibrous tumours is independent of anatomical location and is related to loss of imprinting.孤立性纤维性肿瘤中 IGF2 的过度表达与解剖位置无关,而是与印迹丢失有关。
J Pathol. 2010 Jul;221(3):300-7. doi: 10.1002/path.2715.
8
Prospective identification of tumorigenic osteosarcoma cancer stem cells in OS99-1 cells based on high aldehyde dehydrogenase activity.基于高醛脱氢酶活性,在 OS99-1 细胞中前瞻性鉴定致瘤性骨肉瘤肿瘤干细胞。
Int J Cancer. 2011 Jan 15;128(2):294-303. doi: 10.1002/ijc.25331. Epub 2010 Mar 22.
9
Genomic landscape of meningiomas.脑膜瘤的基因组图谱。
Brain Pathol. 2010 Jul;20(4):751-62. doi: 10.1111/j.1750-3639.2009.00356.x. Epub 2009 Nov 20.
10
Molecular characterization of the response to chemotherapy in conventional osteosarcomas: predictive value of HSD17B10 and IFITM2.传统骨肉瘤化疗反应的分子特征:HSD17B10和IFITM2的预测价值
Int J Cancer. 2009 Aug 15;125(4):851-60. doi: 10.1002/ijc.24457.