Suppr超能文献

人正常尿路上皮、乳头状瘤和乳头状癌中尿路上皮蛋白定位的异质性。

Heterogeneity of uroplakin localization in human normal urothelium, papilloma and papillary carcinoma.

机构信息

Institute of Cell Biology, Faculty of Medicine, Ljubljana, Slovenia.

出版信息

Radiol Oncol. 2013 Oct 8;47(4):338-45. doi: 10.2478/raon-2013-0052. eCollection 2013.

Abstract

BACKGROUND

Uroplakins are differentiation-related membrane proteins of urothelium. We compared uroplakin expression and ultrastructural localization in human normal urothelium, papilloma and papillary carcinoma. Because of high recurrence rate of these tumours, treated by transurethral resection, we investigated urothelial tumour, resection border and uninvolved urothelium.

PATIENTS AND METHODS

Urinary bladder samples were obtained from tumour free control subjects and patients with papilloma and papillary carcinoma. Immunohistochemical and immunoelectron labelling of uroplakins were performed.

RESULTS

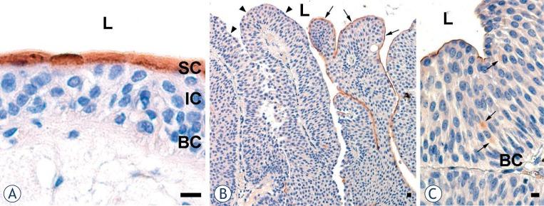
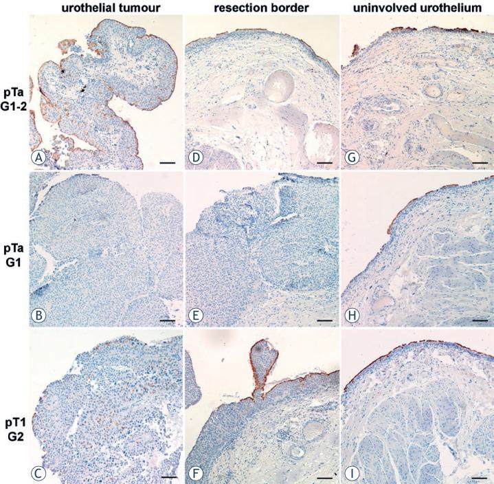
In normal human urothelium with continuous uroplakin-positive superficial cell layer uroplakins were localized to flattened mature fusiform vesicles and apical plasma membrane of umbrella cells. Diverse uroplakin expression was found in papilloma and papillary carcinoma. Three aberrant differentiation stages of urothelial cells, not found in normal urothelium, were recognized in tumours. Diverse uroplakin expression and aberrant differentiation were occasionally found in resection border and in uninvolved urothelium.

CONCLUSIONS

We demonstrated here that uroplakin expression and localization in urothelial tumours is altered when compared to normal urothelium. In patients with papilloma and papillary carcinoma immunolabelling of uroplakins at ultrastructural level shows aberrant urothelial differentiation. It is possible that aberrant differentiation stages of urothelial cells in resection border and in uninvolved urothelium contribute to high recurrence rate.

摘要

背景

尿路上皮蛋白是尿路上皮细胞分化相关的膜蛋白。我们比较了人正常尿路上皮、乳头状瘤和乳头状癌中的尿路上皮蛋白表达和超微结构定位。由于这些肿瘤的高复发率,采用经尿道切除术治疗,我们研究了尿路上皮肿瘤、切除边缘和未受累的尿路上皮。

患者和方法

从肿瘤无复发生控制组和乳头状瘤和乳头状癌患者中获得膀胱组织样本。进行尿路上皮蛋白的免疫组织化学和免疫电标记。

结果

在正常的人尿路上皮中,连续的尿路上皮蛋白阳性的浅层细胞层,尿路上皮蛋白定位于扁平的成熟梭形囊泡和伞细胞的顶膜。在乳头状瘤和乳头状癌中发现了不同的尿路上皮蛋白表达。在肿瘤中识别出三种在正常尿路上皮中未发现的尿路上皮细胞的异常分化阶段。在切除边缘和未受累的尿路上皮中偶尔也发现了不同的尿路上皮蛋白表达和异常分化。

结论

我们在这里证明,与正常尿路上皮相比,尿路上皮肿瘤中的尿路上皮蛋白表达和定位发生了改变。在乳头状瘤和乳头状癌患者中,尿路上皮蛋白的免疫标记在超微结构水平上显示出异常的尿路上皮分化。在切除边缘和未受累的尿路上皮中,尿路上皮细胞的异常分化阶段可能导致高复发率。

https://cdn.ncbi.nlm.nih.gov/pmc/blobs/95e6/3814278/90691d02280c/rado-47-04-338f1.jpg

文献检索

告别复杂PubMed语法,用中文像聊天一样搜索,搜遍4000万医学文献。AI智能推荐,让科研检索更轻松。

立即免费搜索

文件翻译

保留排版,准确专业,支持PDF/Word/PPT等文件格式,支持 12+语言互译。

免费翻译文档

深度研究

AI帮你快速写综述,25分钟生成高质量综述,智能提取关键信息,辅助科研写作。

立即免费体验