Suppr超能文献

鼻咽癌调强放疗过程中靶区和靶位的变化。

Target volume and position variations during intensity-modulated radiotherapy for patients with nasopharyngeal carcinoma.

机构信息

Department of Radiation Oncology, Hubei Cancer Hospital, Wuhan, People's Republic of China.

出版信息

Onco Targets Ther. 2013 Nov 21;6:1719-28. doi: 10.2147/OTT.S53639. eCollection 2013.

Abstract

PURPOSE

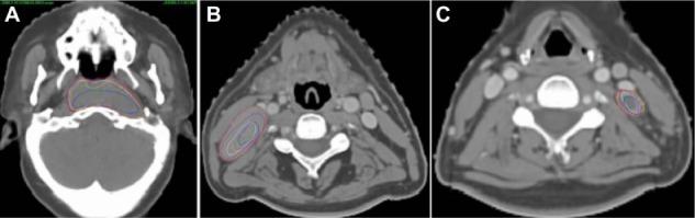
Considerable anatomical changes occur during intensity-modulated radiotherapy (IMRT) for nasopharyngeal carcinoma (NPC). This study aimed to quantify volumetric and positional variations of the target volume during IMRT.

MATERIALS AND METHODS

Twenty patients with locally advanced NPC who received concurrent (13 patients) or sequential (seven patients) chemoradiotherapy were prospectively recruited and underwent planning computed tomography (CT) and six repeat CTs (every five fractions). Each repeat CT was rigidly registered to the planning CT. Gross tumor volume (GTV) and elective clinical target volume (CTV) were manually delineated on each axial CT image. CTVs of the primary tumor and lymph nodes were expanded with 5 mm margins to corresponding GTVs, with necessary modifications. Volume loss, system and random errors, and the mean and three-dimensional vector displacements were calculated and compared statistically.

RESULTS

Volumes of the primary tumor and small (>1 cm, ≤3 cm) and large (>3 cm) positive neck lymph nodes decreased at a rate of 2.6%, 3.7%, and 3.9% per treatment day, respectively. CTVs of the primary tumor, lymph nodes, and elective region decreased 1.5%, 2.3%, and 0.3% per treatment day, respectively. Average displacements of the GTVs and CTVs were <1.3 mm in all directions. GTVs and CTVs of the large and small lymph nodes shifted medially by 0.8-1.3 and 0.6-1.2 mm, respectively, on average. Average three-dimensional displacements of the GTVs and CTVs were 3.4-4.3 mm and 2.5-3.7 mm, respectively. Volume loss and displacements in most directions were significantly larger in patients receiving concurrent chemoradiotherapy than in those receiving sequential therapy. Volume loss and displacements of the GTV of large nodes and elective CTV were significantly larger in male than in female patients.

CONCLUSION

Volumetric and positional changes of the target volume were considerable, and volume loss increased as treatment time elapsed during IMRT for NPC.

摘要

目的

鼻咽癌调强放疗(IMRT)过程中会发生相当大的解剖学变化。本研究旨在定量分析靶区在调强放疗过程中的体积和位置变化。

材料和方法

前瞻性招募 20 例局部晚期鼻咽癌患者,这些患者接受同期(13 例)或序贯(7 例)放化疗。所有患者均行计划 CT 和 6 次重复 CT(每 5 次分次)检查。每次重复 CT 均与计划 CT 进行刚性配准。在每个轴向 CT 图像上手动勾画大体肿瘤体积(GTV)和选择性临床靶区(CTV)。原发肿瘤和淋巴结的 CTV 分别向相应的 GTV 扩展 5mm 边界,并进行必要的修改。计算并比较了体积损失、系统和随机误差以及平均和三维向量位移,并进行了统计学分析。

结果

原发肿瘤和小(>1cm,≤3cm)和大(>3cm)阳性颈部淋巴结的体积分别以每天 2.6%、3.7%和 3.9%的速度下降。原发肿瘤、淋巴结和选择性区域的 CTV 分别以每天 1.5%、2.3%和 0.3%的速度下降。所有方向的 GTV 和 CTV 的平均位移均<1.3mm。大、小淋巴结的 GTV 和 CTV 平均向内侧移位 0.8-1.3mm 和 0.6-1.2mm。GTV 和 CTV 的平均三维位移分别为 3.4-4.3mm 和 2.5-3.7mm。在接受同期放化疗的患者中,大多数方向的体积损失和位移明显大于接受序贯治疗的患者。男性患者的大淋巴结 GTV 和选择性 CTV 的体积损失和位移明显大于女性患者。

结论

在鼻咽癌的调强放疗过程中,靶区的体积和位置变化相当大,并且随着治疗时间的延长,体积损失会增加。

https://cdn.ncbi.nlm.nih.gov/pmc/blobs/6ddf/3839809/9063c13ee8a8/ott-6-1719Fig1.jpg

文献AI研究员

20分钟写一篇综述,助力文献阅读效率提升50倍。

立即体验

用中文搜PubMed

大模型驱动的PubMed中文搜索引擎

马上搜索

文档翻译

学术文献翻译模型,支持多种主流文档格式。

立即体验