Suppr超能文献

梭杆菌性肝脓肿

Fusobacterium liver abscess.

作者信息

Buelow Ben D, Lambert Joelle M, Gill Ryan M

机构信息

Department of Pathology, University of California, San Francisco, San Francisco, Calif., USA.

Kaiser Permanente, Santa Clara, Calif., USA.

出版信息

Case Rep Gastroenterol. 2013 Nov 12;7(3):482-6. doi: 10.1159/000356821. eCollection 2013.

Abstract

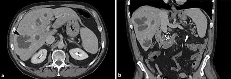
Fusobacterium is well characterized as an oropharyngeal pathogen that may induce a septic thrombophlebitis by direct extension of abscess into an adjacent neck vessel (Lemierre's syndrome); its potential for visceral abscess formation, however, remains under-recognized. A 65-year-old man with a recent history of multiple rim-enhancing liver lesions presented to the emergency room with fever and abdominal pain. Based on interval increase in the size of the lesions, abscess was suspected. A liver biopsy was performed, and although no organism could be identified on routine microscopy, Warthin-Starry stain revealed Gram-negative bacilli consistent with an anaerobic Fusobacterium species as the underlying etiology of liver abscess formation. Subsequent anaerobic culture results confirmed the diagnosis. This case highlights the importance of consideration for Fusobacterium infection in the setting of liver abscess if anaerobic organisms have not yet been excluded on initial culture evaluation.

摘要

梭杆菌作为一种口咽病原体已得到充分认识,它可通过脓肿直接蔓延至邻近颈部血管而诱发脓毒性血栓性静脉炎(勒米尔综合征);然而,其形成内脏脓肿的可能性仍未得到充分认识。一名65岁男性,近期有多个环形强化肝脏病变病史,因发热和腹痛就诊于急诊室。基于病变大小的间隔性增大,怀疑为脓肿。进行了肝脏活检,尽管常规显微镜检查未发现病原体,但沃辛-斯塔里染色显示革兰氏阴性杆菌,与厌氧梭杆菌属一致,为肝脓肿形成的潜在病因。随后的厌氧培养结果证实了诊断。该病例强调了在肝脓肿情况下,如果初始培养评估尚未排除厌氧生物,考虑梭杆菌感染的重要性。

https://cdn.ncbi.nlm.nih.gov/pmc/blobs/9363/3843899/fdc9f0b3ca9f/crg-0007-0482-g01.jpg

文献AI研究员

20分钟写一篇综述,助力文献阅读效率提升50倍。

立即体验

用中文搜PubMed

大模型驱动的PubMed中文搜索引擎

马上搜索

文档翻译

学术文献翻译模型,支持多种主流文档格式。

立即体验