• 文献检索
  • 文档翻译
  • 深度研究
  • 学术资讯
  • Suppr Zotero 插件Zotero 插件
  • 邀请有礼
  • 套餐&价格
  • 历史记录
应用&插件
Suppr Zotero 插件Zotero 插件浏览器插件Mac 客户端Windows 客户端微信小程序
定价
高级版会员购买积分包购买API积分包
服务
文献检索文档翻译深度研究API 文档MCP 服务
关于我们
关于 Suppr公司介绍联系我们用户协议隐私条款
关注我们

Suppr 超能文献

核心技术专利:CN118964589B侵权必究
粤ICP备2023148730 号-1Suppr @ 2026

文献检索

告别复杂PubMed语法,用中文像聊天一样搜索,搜遍4000万医学文献。AI智能推荐,让科研检索更轻松。

立即免费搜索

文件翻译

保留排版,准确专业,支持PDF/Word/PPT等文件格式,支持 12+语言互译。

免费翻译文档

深度研究

AI帮你快速写综述,25分钟生成高质量综述,智能提取关键信息,辅助科研写作。

立即免费体验

评估当前算法在左心房晚期钆增强心血管磁共振瘢痕组织分割中的应用:公开获取的大挑战。

Evaluation of current algorithms for segmentation of scar tissue from late gadolinium enhancement cardiovascular magnetic resonance of the left atrium: an open-access grand challenge.

机构信息

Department of Imaging Sciences & Biomedical Engineering, King's College London, London, UK.

出版信息

J Cardiovasc Magn Reson. 2013 Dec 20;15(1):105. doi: 10.1186/1532-429X-15-105.

DOI:10.1186/1532-429X-15-105
PMID:24359544
原文链接:https://pmc.ncbi.nlm.nih.gov/articles/PMC3878126/
Abstract

BACKGROUND

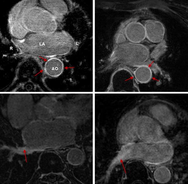
Late Gadolinium enhancement (LGE) cardiovascular magnetic resonance (CMR) imaging can be used to visualise regions of fibrosis and scarring in the left atrium (LA) myocardium. This can be important for treatment stratification of patients with atrial fibrillation (AF) and for assessment of treatment after radio frequency catheter ablation (RFCA). In this paper we present a standardised evaluation benchmarking framework for algorithms segmenting fibrosis and scar from LGE CMR images. The algorithms reported are the response to an open challenge that was put to the medical imaging community through an ISBI (IEEE International Symposium on Biomedical Imaging) workshop.

METHODS

The image database consisted of 60 multicenter, multivendor LGE CMR image datasets from patients with AF, with 30 images taken before and 30 after RFCA for the treatment of AF. A reference standard for scar and fibrosis was established by merging manual segmentations from three observers. Furthermore, scar was also quantified using 2, 3 and 4 standard deviations (SD) and full-width-at-half-maximum (FWHM) methods. Seven institutions responded to the challenge: Imperial College (IC), Mevis Fraunhofer (MV), Sunnybrook Health Sciences (SY), Harvard/Boston University (HB), Yale School of Medicine (YL), King's College London (KCL) and Utah CARMA (UTA, UTB). There were 8 different algorithms evaluated in this study.

RESULTS

Some algorithms were able to perform significantly better than SD and FWHM methods in both pre- and post-ablation imaging. Segmentation in pre-ablation images was challenging and good correlation with the reference standard was found in post-ablation images. Overlap scores (out of 100) with the reference standard were as follows: Pre: IC = 37, MV = 22, SY = 17, YL = 48, KCL = 30, UTA = 42, UTB = 45; Post: IC = 76, MV = 85, SY = 73, HB = 76, YL = 84, KCL = 78, UTA = 78, UTB = 72.

CONCLUSIONS

The study concludes that currently no algorithm is deemed clearly better than others. There is scope for further algorithmic developments in LA fibrosis and scar quantification from LGE CMR images. Benchmarking of future scar segmentation algorithms is thus important. The proposed benchmarking framework is made available as open-source and new participants can evaluate their algorithms via a web-based interface.

摘要

背景

迟发钆增强(LGE)心血管磁共振(CMR)成像可用于可视化左心房(LA)心肌中的纤维化和瘢痕区域。这对于房颤(AF)患者的治疗分层以及射频导管消融(RFCA)后的治疗评估非常重要。在本文中,我们提出了一个用于从 LGE CMR 图像分割纤维化和瘢痕的算法的标准化评估基准。报告的算法是对通过 ISBI(IEEE 生物医学成像国际研讨会)研讨会向医学成像社区提出的公开挑战的回应。

方法

图像数据库由 60 个多中心、多供应商的 AF 患者 LGE CMR 图像数据集组成,其中 30 个图像在 RFCA 治疗 AF 之前采集,30 个图像在之后采集。通过合并三位观察者的手动分割,建立了瘢痕和纤维化的参考标准。此外,还使用 2、3 和 4 个标准差(SD)和半峰全宽(FWHM)方法量化了瘢痕。有 7 个机构对该挑战做出了回应:帝国理工学院(IC)、Mevis Fraunhofer(MV)、森尼布鲁克健康科学(SY)、哈佛/波士顿大学(HB)、耶鲁大学医学院(YL)、伦敦国王学院(KCL)和犹他州 CARMA(UTA、UTB)。在这项研究中评估了 8 种不同的算法。

结果

在术前和术后成像中,一些算法的表现明显优于 SD 和 FWHM 方法。术前图像的分割具有挑战性,与参考标准的相关性在术后图像中得到很好的验证。与参考标准的重叠评分(满分 100)如下:术前:IC=37,MV=22,SY=17,YL=48,KCL=30,UTA=42,UTB=45;术后:IC=76,MV=85,SY=73,HB=76,YL=84,KCL=78,UTA=78,UTB=72。

结论

研究得出的结论是,目前还没有一种算法被认为明显优于其他算法。从 LGE CMR 图像量化 LA 纤维化和瘢痕方面,仍有进一步开发算法的空间。因此,未来瘢痕分割算法的基准测试非常重要。所提出的基准测试框架是开源的,新的参与者可以通过基于网络的界面评估他们的算法。

https://cdn.ncbi.nlm.nih.gov/pmc/blobs/2b98/3878126/89335520d58e/1532-429X-15-105-9.jpg
https://cdn.ncbi.nlm.nih.gov/pmc/blobs/2b98/3878126/324f0b1d37f0/1532-429X-15-105-1.jpg
https://cdn.ncbi.nlm.nih.gov/pmc/blobs/2b98/3878126/d135e18ac9be/1532-429X-15-105-2.jpg
https://cdn.ncbi.nlm.nih.gov/pmc/blobs/2b98/3878126/82e0eb206adf/1532-429X-15-105-3.jpg
https://cdn.ncbi.nlm.nih.gov/pmc/blobs/2b98/3878126/d3b7f29e7d36/1532-429X-15-105-4.jpg
https://cdn.ncbi.nlm.nih.gov/pmc/blobs/2b98/3878126/23f065c44fcb/1532-429X-15-105-5.jpg
https://cdn.ncbi.nlm.nih.gov/pmc/blobs/2b98/3878126/b18936cebfd8/1532-429X-15-105-6.jpg
https://cdn.ncbi.nlm.nih.gov/pmc/blobs/2b98/3878126/d7f1d3f96fa8/1532-429X-15-105-7.jpg
https://cdn.ncbi.nlm.nih.gov/pmc/blobs/2b98/3878126/c5827f863fc7/1532-429X-15-105-8.jpg
https://cdn.ncbi.nlm.nih.gov/pmc/blobs/2b98/3878126/89335520d58e/1532-429X-15-105-9.jpg
https://cdn.ncbi.nlm.nih.gov/pmc/blobs/2b98/3878126/324f0b1d37f0/1532-429X-15-105-1.jpg
https://cdn.ncbi.nlm.nih.gov/pmc/blobs/2b98/3878126/d135e18ac9be/1532-429X-15-105-2.jpg
https://cdn.ncbi.nlm.nih.gov/pmc/blobs/2b98/3878126/82e0eb206adf/1532-429X-15-105-3.jpg
https://cdn.ncbi.nlm.nih.gov/pmc/blobs/2b98/3878126/d3b7f29e7d36/1532-429X-15-105-4.jpg
https://cdn.ncbi.nlm.nih.gov/pmc/blobs/2b98/3878126/23f065c44fcb/1532-429X-15-105-5.jpg
https://cdn.ncbi.nlm.nih.gov/pmc/blobs/2b98/3878126/b18936cebfd8/1532-429X-15-105-6.jpg
https://cdn.ncbi.nlm.nih.gov/pmc/blobs/2b98/3878126/d7f1d3f96fa8/1532-429X-15-105-7.jpg
https://cdn.ncbi.nlm.nih.gov/pmc/blobs/2b98/3878126/c5827f863fc7/1532-429X-15-105-8.jpg
https://cdn.ncbi.nlm.nih.gov/pmc/blobs/2b98/3878126/89335520d58e/1532-429X-15-105-9.jpg

相似文献

1
Evaluation of current algorithms for segmentation of scar tissue from late gadolinium enhancement cardiovascular magnetic resonance of the left atrium: an open-access grand challenge.评估当前算法在左心房晚期钆增强心血管磁共振瘢痕组织分割中的应用:公开获取的大挑战。
J Cardiovasc Magn Reson. 2013 Dec 20;15(1):105. doi: 10.1186/1532-429X-15-105.
2
Rapid automatic segmentation of abnormal tissue in late gadolinium enhancement cardiovascular magnetic resonance images for improved management of long-standing persistent atrial fibrillation.钆增强心血管磁共振图像中异常组织的快速自动分割,以改善长期持续性心房颤动的管理。
Biomed Eng Online. 2015 Oct 7;14:88. doi: 10.1186/s12938-015-0083-8.
3
Evaluation of quantification methods for left arial late gadolinium enhancement based on different references in patients with atrial fibrillation.基于不同参考标准对心房颤动患者左心房晚期钆增强定量方法的评估
Int J Cardiovasc Imaging. 2015 Jun;31 Suppl 1:91-101. doi: 10.1007/s10554-014-0563-0. Epub 2014 Nov 4.
4
Automated analysis of atrial late gadolinium enhancement imaging that correlates with endocardial voltage and clinical outcomes: a 2-center study.心房晚期钆增强成像的自动分析与心内膜电压和临床结局的相关性:一项 2 中心研究。
Heart Rhythm. 2013 Aug;10(8):1184-91. doi: 10.1016/j.hrthm.2013.04.030. Epub 2013 May 16.
5
Reproducibility and accuracy of late gadolinium enhancement cardiac magnetic resonance measurements for the detection of left atrial fibrosis in patients undergoing atrial fibrillation ablation procedures.用于检测接受房颤消融手术患者左心房纤维化的钆延迟增强心脏磁共振测量的可重复性和准确性。
Europace. 2019 May 1;21(5):724-731. doi: 10.1093/europace/euy314.
6
The reproducibility of late gadolinium enhancement cardiovascular magnetic resonance imaging of post-ablation atrial scar: a cross-over study.消融后晚期钆增强心血管磁共振成像的可重复性:一项交叉研究。
J Cardiovasc Magn Reson. 2018 Mar 19;20(1):21. doi: 10.1186/s12968-018-0438-y.
7
Comparison of left atrial area marked ablated in electroanatomical maps with scar in MRI.比较心腔内超声与 MRI 测量左心房面积的准确性。
J Cardiovasc Electrophysiol. 2014 May;25(5):457-463. doi: 10.1111/jce.12357. Epub 2014 Jan 24.
8
Left atrial fibrosis quantification by late gadolinium-enhanced magnetic resonance: a new method to standardize the thresholds for reproducibility.左心房纤维化的钆延迟增强磁共振定量:一种用于标准化重复性阈值的新方法。
Europace. 2017 Aug 1;19(8):1272-1279. doi: 10.1093/europace/euw219.
9
Optimization of late gadolinium enhancement cardiovascular magnetic resonance imaging of post-ablation atrial scar: a cross-over study.消融后心房瘢痕的晚期钆增强心血管磁共振成像优化:一项交叉研究。
J Cardiovasc Magn Reson. 2018 May 3;20(1):30. doi: 10.1186/s12968-018-0449-8.
10
Evaluation of state-of-the-art segmentation algorithms for left ventricle infarct from late Gadolinium enhancement MR images.评估基于晚期钆增强磁共振图像的左心室梗死的最新分割算法。
Med Image Anal. 2016 May;30:95-107. doi: 10.1016/j.media.2016.01.004. Epub 2016 Jan 28.

引用本文的文献

1
Poincare guided geometric UNet for left atrial epicardial adipose tissue segmentation in Dixon MRI images.用于狄克逊MRI图像中左心房心外膜脂肪组织分割的庞加莱引导几何U型网络。
Sci Rep. 2025 Jul 15;15(1):25549. doi: 10.1038/s41598-025-10110-1.
2
FK-means: automatic atrial fibrosis segmentation using fractal-guided K-means clustering with Voronoi-clipping feature extraction of anatomical structures.FK均值算法:使用分形引导的K均值聚类和解剖结构的Voronoi裁剪特征提取进行自动心房纤维化分割。
Interface Focus. 2023 Dec 15;13(6):20230033. doi: 10.1098/rsfs.2023.0033. eCollection 2023 Dec 6.
3
LASSNet: A Four Steps Deep Neural Network for Left Atrial Segmentation and Scar Quantification.

本文引用的文献

1
Standardized evaluation framework for evaluating coronary artery stenosis detection, stenosis quantification and lumen segmentation algorithms in computed tomography angiography.用于评估计算机断层血管造影中冠状动脉狭窄检测、狭窄量化和管腔分割算法的标准化评估框架。
Med Image Anal. 2013 Dec;17(8):859-76. doi: 10.1016/j.media.2013.05.007. Epub 2013 Jun 4.
2
Benchmarking framework for myocardial tracking and deformation algorithms: an open access database.心肌跟踪和变形算法的基准测试框架:一个开放获取的数据库。
Med Image Anal. 2013 Aug;17(6):632-48. doi: 10.1016/j.media.2013.03.008. Epub 2013 Apr 20.
3
Automated quantification of myocardial infarction using graph cuts on contrast delayed enhanced magnetic resonance images.
LASSNet:用于左心房分割和瘢痕定量的四步深度神经网络。
Left Atr Scar Quantif Segm (2022). 2023;13586:1-15. doi: 10.1007/978-3-031-31778-1_1. Epub 2023 May 5.
4
Artificial Intelligence as a Diagnostic Tool in Non-Invasive Imaging in the Assessment of Coronary Artery Disease.人工智能作为一种诊断工具在非侵入性成像评估冠状动脉疾病中的应用。
Med Sci (Basel). 2023 Feb 24;11(1):20. doi: 10.3390/medsci11010020.
5
Elevated fibrosis burden as assessed by MRI predicts cryoballoon ablation failure.MRI 评估的纤维化负担增加可预测冷冻球囊消融失败。
J Cardiovasc Electrophysiol. 2023 Feb;34(2):302-312. doi: 10.1111/jce.15791. Epub 2022 Dec 30.
6
Multiresolution Mutual Assistance Network for Cardiac Magnetic Resonance Images Segmentation.多分辨率互助网络在心脏磁共振图像分割中的应用。
J Healthc Eng. 2022 Oct 31;2022:5311825. doi: 10.1155/2022/5311825. eCollection 2022.
7
An automated near-real time computational method for induction and treatment of scar-related ventricular tachycardias.一种用于诱导和治疗瘢痕相关室性心动过速的自动化近实时计算方法。
Med Image Anal. 2022 Aug;80:102483. doi: 10.1016/j.media.2022.102483. Epub 2022 May 27.
8
Simultaneous Assessment of Left Atrial Fibrosis and Epicardial Adipose Tissue Using 3D Late Gadolinium Enhanced Dixon MRI.使用 3D 晚期钆增强 Dixon MRI 同时评估左心房纤维化和心外膜脂肪组织。
J Magn Reson Imaging. 2022 Nov;56(5):1393-1403. doi: 10.1002/jmri.28100. Epub 2022 Feb 7.
9
Medical image analysis on left atrial LGE MRI for atrial fibrillation studies: A review.用于房颤研究的左心房 LGE MRI 的医学图像分析:综述。
Med Image Anal. 2022 Apr;77:102360. doi: 10.1016/j.media.2022.102360. Epub 2022 Jan 29.
10
Left atrial evaluation by cardiovascular magnetic resonance: sensitive and unique biomarkers.心血管磁共振左心房评估:敏感而独特的生物标志物。
Eur Heart J Cardiovasc Imaging. 2021 Dec 18;23(1):14-30. doi: 10.1093/ehjci/jeab221.
基于对比延迟增强磁共振图像的图割自动量化心肌梗死。
Quant Imaging Med Surg. 2012 Jun;2(2):81-6. doi: 10.3978/j.issn.2223-4292.2012.05.03.
4
Acute pulmonary vein isolation is achieved by a combination of reversible and irreversible atrial injury after catheter ablation: evidence from magnetic resonance imaging.导管消融后,通过可逆和不可逆的心房损伤联合实现急性肺静脉隔离:磁共振成像的证据。
Circ Arrhythm Electrophysiol. 2012 Aug 1;5(4):691-700. doi: 10.1161/CIRCEP.111.966523. Epub 2012 May 31.
5
A computational approach to edge detection.一种基于计算的边缘检测方法。
IEEE Trans Pattern Anal Mach Intell. 1986 Jun;8(6):679-98.
6
Evaluation of techniques for the quantification of myocardial scar of differing etiology using cardiac magnetic resonance.应用心脏磁共振评估不同病因所致心肌瘢痕的量化技术。
JACC Cardiovasc Imaging. 2011 Feb;4(2):150-6. doi: 10.1016/j.jcmg.2010.11.015.
7
Automated segmentation of myocardial scar in late enhancement MRI using combined intensity and spatial information.利用强度和空间信息联合进行晚期钆增强 MRI 中的心肌瘢痕自动分割。
Magn Reson Med. 2010 Aug;64(2):586-94. doi: 10.1002/mrm.22422.
8
Evaluation of the left atrial substrate in patients with lone atrial fibrillation using delayed-enhanced MRI: implications for disease progression and response to catheter ablation.应用延迟强化 MRI 评估孤立性心房颤动患者的左心房基质:对疾病进展和导管消融反应的影响。
Heart Rhythm. 2010 Oct;7(10):1475-81. doi: 10.1016/j.hrthm.2010.06.030. Epub 2010 Jul 1.
9
Evaluation of left atrial lesions after initial and repeat atrial fibrillation ablation: lessons learned from delayed-enhancement MRI in repeat ablation procedures.评估初始和重复房颤消融后的左心房病变:重复消融手术中延迟增强 MRI 得出的经验教训。
Circ Arrhythm Electrophysiol. 2010 Jun;3(3):249-59. doi: 10.1161/CIRCEP.109.868356. Epub 2010 Mar 24.
10
3-D visualization of acute RF ablation lesions using MRI for the simultaneous determination of the patterns of necrosis and edema.使用 MRI 对急性 RF 消融损伤进行三维可视化,以同时确定坏死和水肿的模式。
IEEE Trans Biomed Eng. 2010 Jun;57(6):1467-75. doi: 10.1109/TBME.2009.2038791. Epub 2010 Feb 17.