Suppr超能文献

脂肪来源干细胞条件培养基对剥脱性分数二氧化碳激光换肤术后伤口愈合的影响。

The effect of conditioned media of adipose-derived stem cells on wound healing after ablative fractional carbon dioxide laser resurfacing.

作者信息

Zhou Bing-Rong, Xu Yang, Guo Shi-Lei, Xu Yan, Wang Ying, Zhu Fen, Permatasari Felicia, Wu Di, Yin Zhi-Qiang, Luo Dan

机构信息

Department of Dermatology, The First Affiliated Hospital of Nanjing Medical University, Nanjing 210029, China.

Nanjing Regenerative Medicine Engineering and Technology Research Center, Nanjing 210029, China.

出版信息

Biomed Res Int. 2013;2013:519126. doi: 10.1155/2013/519126. Epub 2013 Dec 4.

Abstract

OBJECTIVE

To evaluate the benefits of conditioned medium of Adipose-derived stem cells (ADSC-CM) on wound healing after fractional carbon dioxide laser resurfacing (FxCR) on human skin.

MATERIALS AND METHODS

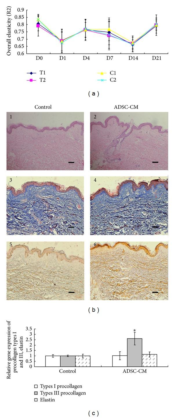
Nineteen subjects were treated with FxCR on the bilateral inner arms. ADSC-CM was applied on FxCR site of one randomly selected arm. Transepidermal water loss (TEWL), skin color, and gross-elasticity of FxCR site on both arms were measured. Skin samples were taken by biopsy from three subjects 3 weeks after treatment for histopathological manifestations and mRNA expressions of procollagen types I and III, elastin genes were noted.

RESULTS

The index of erythema, melanin, and TEWL of the ADSC-CM-treated skin were significantly lower than those of the control side. The mRNA expression of type III procollagen in ADSC-CM-treated group at 3 weeks posttreatment was 2.6 times of that of the control group.

CONCLUSION

Application of allograft ADSC-CM is an effective method for enhancing wound healing after FxCR, by reducing transient adverse effects such as erythema, hyperpigmentation, and increased TEWL.

摘要

目的

评估脂肪来源干细胞条件培养基(ADSC-CM)对人体皮肤二氧化碳点阵激光换肤术(FxCR)后伤口愈合的益处。

材料与方法

19名受试者双侧上臂接受FxCR治疗。将ADSC-CM应用于随机选择的一侧手臂的FxCR部位。测量双臂FxCR部位的经表皮水分流失(TEWL)、皮肤颜色和总弹性。治疗3周后,从3名受试者身上取皮肤样本进行活检,观察组织病理学表现,并记录I型和III型前胶原、弹性蛋白基因的mRNA表达。

结果

ADSC-CM处理皮肤的红斑、黑色素和TEWL指数显著低于对照侧。治疗后3周,ADSC-CM处理组III型前胶原的mRNA表达是对照组的2.6倍。

结论

同种异体ADSC-CM的应用是一种有效的方法,可通过减少红斑、色素沉着和TEWL增加等短暂不良反应来促进FxCR后的伤口愈合。

https://cdn.ncbi.nlm.nih.gov/pmc/blobs/a8ca/3867954/ed92bfae2084/BMRI2013-519126.001.jpg

文献AI研究员

20分钟写一篇综述,助力文献阅读效率提升50倍。

立即体验

用中文搜PubMed

大模型驱动的PubMed中文搜索引擎

马上搜索

文档翻译

学术文献翻译模型,支持多种主流文档格式。

立即体验