• 文献检索
  • 文档翻译
  • 深度研究
  • 学术资讯
  • Suppr Zotero 插件Zotero 插件
  • 邀请有礼
  • 套餐&价格
  • 历史记录
应用&插件
Suppr Zotero 插件Zotero 插件浏览器插件Mac 客户端Windows 客户端微信小程序
定价
高级版会员购买积分包购买API积分包
服务
文献检索文档翻译深度研究API 文档MCP 服务
关于我们
关于 Suppr公司介绍联系我们用户协议隐私条款
关注我们

Suppr 超能文献

核心技术专利:CN118964589B侵权必究
粤ICP备2023148730 号-1Suppr @ 2026

文献检索

告别复杂PubMed语法,用中文像聊天一样搜索,搜遍4000万医学文献。AI智能推荐,让科研检索更轻松。

立即免费搜索

文件翻译

保留排版,准确专业,支持PDF/Word/PPT等文件格式,支持 12+语言互译。

免费翻译文档

深度研究

AI帮你快速写综述,25分钟生成高质量综述,智能提取关键信息,辅助科研写作。

立即免费体验

日粮氧化锌对断奶仔猪结肠形态特征、黏蛋白组成及基因表达的影响

Effect of dietary zinc oxide on morphological characteristics, mucin composition and gene expression in the colon of weaned piglets.

作者信息

Liu Ping, Pieper Robert, Rieger Juliane, Vahjen Wilfried, Davin Roger, Plendl Johanna, Meyer Wilfried, Zentek Jürgen

机构信息

Institute of Animal Nutrition, Department of Veterinary Medicine, Freie Universität Berlin, Berlin, Germany.

Institute of Veterinary Anatomy, Department of Veterinary Medicine, Freie Universität Berlin, Berlin, Germany.

出版信息

PLoS One. 2014 Mar 7;9(3):e91091. doi: 10.1371/journal.pone.0091091. eCollection 2014.

DOI:10.1371/journal.pone.0091091
PMID:24609095
原文链接:https://pmc.ncbi.nlm.nih.gov/articles/PMC3946750/
Abstract

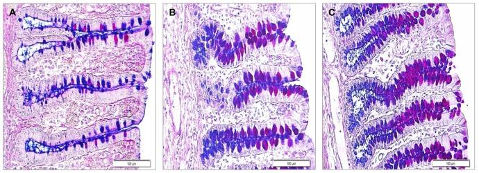
The trace element zinc is often used in the diet of weaned piglets, as high doses have resulted in positive effects on intestinal health. However, the majority of previous studies evaluated zinc supplementations for a short period only and focused on the small intestine. The hypothesis of the present study was that low, medium and high levels of dietary zinc (57, 164 and 2,425 mg Zn/kg from zinc oxide) would affect colonic morphology and innate host defense mechanisms across 4 weeks post-weaning. Histological examinations were conducted regarding the colonic morphology and neutral, acidic, sialylated and sulphated mucins. The mRNA expression levels of mucin (MUC) 1, 2, 13, 20, toll-like receptor (TLR) 2, 4, interleukin (IL)-1β, 8, 10, interferon-γ (IFN-γ) and transforming growth factor-β (TGF-β) were also measured. The colonic crypt area increased in an age-depending manner, and the greatest area was found with medium concentration of dietary zinc. With the high concentration of dietary zinc, the number of goblet cells containing mixed neutral-acidic mucins and total mucins increased. Sialomucin containing goblet cells increased age-dependently. The expression of MUC2 increased with age and reached the highest level at 47 days of age. The expression levels of TLR2 and 4 decreased with age. The mRNA expression of TLR4 and the pro-inflammatory cytokine IL-8 were down-regulated with high dietary zinc treatment, while piglets fed with medium dietary zinc had the highest expression. It is concluded that dietary zinc level had a clear impact on colonic morphology, mucin profiles and immunological traits in piglets after weaning. Those changes might support local defense mechanisms and affect colonic physiology and contribute to the reported reduction of post-weaning diarrhea.

摘要

微量元素锌常用于断奶仔猪的日粮中,因为高剂量锌已被证明对肠道健康有积极影响。然而,之前的大多数研究仅在短时间内评估了锌的补充情况,并且主要关注小肠。本研究的假设是,低、中、高剂量的日粮锌(来自氧化锌的锌含量分别为57、164和2425毫克/千克)会在断奶后4周内影响结肠形态和宿主天然防御机制。对结肠形态以及中性、酸性、唾液酸化和硫酸化粘蛋白进行了组织学检查。还测量了粘蛋白(MUC)1、2、13、20、Toll样受体(TLR)2、4、白细胞介素(IL)-1β、8、10、干扰素-γ(IFN-γ)和转化生长因子-β(TGF-β)的mRNA表达水平。结肠隐窝面积随年龄增长而增加,日粮锌浓度为中等时隐窝面积最大。日粮锌浓度高时,含有混合中性-酸性粘蛋白和总粘蛋白的杯状细胞数量增加。含唾液酸粘蛋白的杯状细胞数量随年龄增长而增加。MUC2的表达随年龄增加而增加,并在47日龄时达到最高水平。TLR2和4的表达水平随年龄下降。高锌日粮处理使TLR4的mRNA表达和促炎细胞因子IL-8下调,而日粮锌浓度为中等的仔猪表达水平最高。研究得出结论,日粮锌水平对断奶后仔猪的结肠形态、粘蛋白谱和免疫特性有明显影响。这些变化可能支持局部防御机制,并影响结肠生理功能,有助于减少断奶后腹泻的发生。

https://cdn.ncbi.nlm.nih.gov/pmc/blobs/1954/3946750/67d665eac2e6/pone.0091091.g002.jpg
https://cdn.ncbi.nlm.nih.gov/pmc/blobs/1954/3946750/3f5604eaf311/pone.0091091.g001.jpg
https://cdn.ncbi.nlm.nih.gov/pmc/blobs/1954/3946750/67d665eac2e6/pone.0091091.g002.jpg
https://cdn.ncbi.nlm.nih.gov/pmc/blobs/1954/3946750/3f5604eaf311/pone.0091091.g001.jpg
https://cdn.ncbi.nlm.nih.gov/pmc/blobs/1954/3946750/67d665eac2e6/pone.0091091.g002.jpg

相似文献

1
Effect of dietary zinc oxide on morphological characteristics, mucin composition and gene expression in the colon of weaned piglets.日粮氧化锌对断奶仔猪结肠形态特征、黏蛋白组成及基因表达的影响
PLoS One. 2014 Mar 7;9(3):e91091. doi: 10.1371/journal.pone.0091091. eCollection 2014.
2
Effect of dietary zinc oxide on jejunal morphological and immunological characteristics in weaned piglets.日粮氧化锌对断奶仔猪空肠形态和免疫特性的影响。
J Anim Sci. 2014 Nov;92(11):5009-18. doi: 10.2527/jas.2013-6690. Epub 2014 Sep 24.
3
Dietary Zinc Oxide Modulates Antioxidant Capacity, Small Intestine Development, and Jejunal Gene Expression in Weaned Piglets.日粮氧化锌对断奶仔猪抗氧化能力、小肠发育及空肠基因表达的影响
Biol Trace Elem Res. 2017 Feb;175(2):331-338. doi: 10.1007/s12011-016-0767-3. Epub 2016 Jun 23.
4
Effects of dietary zinc oxide levels on the metabolism of zinc and copper in weaned pigs.饲粮氧化锌水平对断奶仔猪锌铜代谢的影响。
J Anim Sci. 2023 Jan 3;101. doi: 10.1093/jas/skad055.
5
High-protein diet differently modifies intestinal goblet cell characteristics and mucosal cytokine expression in ileum and colon.高蛋白饮食可改变回肠和结肠肠道杯状细胞特征和黏膜细胞因子表达。
J Nutr Biochem. 2015 Jan;26(1):91-8. doi: 10.1016/j.jnutbio.2014.09.007. Epub 2014 Oct 13.
6
Effects of Dietary Zinc Oxide Nanoparticles on Growth, Diarrhea, Mineral Deposition, Intestinal Morphology, and Barrier of Weaned Piglets.日粮氧化锌纳米颗粒对断奶仔猪生长、腹泻、矿物质沉积、肠道形态和屏障的影响。
Biol Trace Elem Res. 2018 Oct;185(2):364-374. doi: 10.1007/s12011-018-1266-5. Epub 2018 Feb 21.
7
Accumulation of copper in the kidney of pigs fed high dietary zinc is due to metallothionein expression with minor effects on genes involved in copper metabolism.在高锌日粮喂养的猪肾脏中铜的积累是由于金属硫蛋白的表达,对参与铜代谢的基因影响较小。
J Trace Elem Med Biol. 2016 May;35:1-6. doi: 10.1016/j.jtemb.2016.01.006. Epub 2016 Jan 15.
8
Effects of high levels of dietary zinc oxide on ex vivo epithelial histamine response and investigations on histamine receptor action in the proximal colon of weaned piglets.高剂量日粮氧化锌对断奶仔猪离体上皮组胺反应的影响及近端结肠组胺受体作用的研究
J Anim Sci. 2015 Nov;93(11):5265-72. doi: 10.2527/jas.2015-9095.
9
The Effects of Dietary Porous Zinc Oxide Supplementation on Growth Performance, Inflammatory Cytokines and Tight Junction's Gene Expression in Early-Weaned Piglets.日粮添加多孔氧化锌对早期断奶仔猪生长性能、炎性细胞因子及紧密连接基因表达的影响
J Nutr Sci Vitaminol (Tokyo). 2020;66(4):311-318. doi: 10.3177/jnsv.66.311.
10
Colitis development during the suckling-weaning transition in mucin Muc2-deficient mice.黏蛋白 Muc2 缺陷型小鼠在哺乳期向断乳期过渡期间的结肠炎发展。
Am J Physiol Gastrointest Liver Physiol. 2011 Oct;301(4):G667-78. doi: 10.1152/ajpgi.00199.2010. Epub 2011 Jun 23.

引用本文的文献

1
Effects of different concentrations of a white grape marc extract on broiler performance, apparent ileal digestibility, antioxidant capacity, intestinal barrier function and nutrient transport markers.不同浓度白葡萄渣提取物对肉鸡生产性能、回肠表观消化率、抗氧化能力、肠道屏障功能及营养物质转运标志物的影响
Poult Sci. 2025 May 30;104(9):105366. doi: 10.1016/j.psj.2025.105366.
2
Dietary fatty acids promote gut health in weaned piglets by regulating gut microbiota and immune function.膳食脂肪酸通过调节肠道微生物群和免疫功能促进断奶仔猪的肠道健康。
Front Microbiol. 2025 Apr 9;16:1558588. doi: 10.3389/fmicb.2025.1558588. eCollection 2025.
3

本文引用的文献

1
A high amount of dietary zinc changes the expression of zinc transporters and metallothionein in jejunal epithelial cells in vitro and in vivo but does not prevent zinc accumulation in jejunal tissue of piglets.大量的膳食锌会改变体外和体内空肠上皮细胞中锌转运体和金属硫蛋白的表达,但不能防止仔猪空肠组织中锌的积累。
J Nutr. 2013 Aug;143(8):1205-10. doi: 10.3945/jn.113.177881. Epub 2013 Jun 12.
2
Performance, organ zinc concentration, jejunal brush border membrane enzyme activities and mRNA expression in piglets fed with different levels of dietary zinc.不同锌水平饲粮对仔猪生产性能、器官锌浓度、空肠刷状缘膜酶活性和 mRNA 表达的影响
Arch Anim Nutr. 2013 Jun;67(3):248-61. doi: 10.1080/1745039X.2013.801138.
3
Effects of monoglyceride blend on performance and intestinal health status of piglets fed diets without growth promoters.
甘油单酯混合物对饲喂无生长促进剂日粮仔猪生产性能和肠道健康状况的影响。
Sci Rep. 2025 Mar 25;15(1):10285. doi: 10.1038/s41598-025-88587-z.
4
Comparison between Organic and Inorganic Zinc Forms and Their Combinations with Various Dietary Fibers in Respect of the Effects on Electrolyte Concentrations and Mucosa in the Large Intestine of Pigs.有机锌和无机锌形式及其与各种膳食纤维组合对猪大肠电解质浓度和黏膜的影响比较。
Int J Mol Sci. 2023 Nov 25;24(23):16743. doi: 10.3390/ijms242316743.
5
Dietary Zinc-Loaded Montmorillonite Supplementation Improves Growth Performance, Diarrhea, Intestinal Barrier Function and Regulating Gut Microbiota in Weaned Piglets.日粮添加载锌蒙脱石可改善断奶仔猪的生长性能、腹泻情况、肠道屏障功能并调节肠道微生物群。
Animals (Basel). 2023 Nov 23;13(23):3630. doi: 10.3390/ani13233630.
6
Zinc Deficiency and Therapeutic Value of Zinc Supplementation in Pediatric Gastrointestinal Diseases.锌缺乏与锌补充在儿科胃肠疾病中的治疗价值。
Nutrients. 2023 Sep 22;15(19):4093. doi: 10.3390/nu15194093.
7
Effects of Different Inoculation Doses on Growth Performance, Daily Feed Intake, Gut Health, Gut Microbiota, Foot Pad Dermatitis, and Gene Expression in Broilers Raised in Floor Pens for 35 Days.不同接种剂量对地面平养35天肉鸡生长性能、日采食量、肠道健康、肠道微生物群、脚垫皮炎及基因表达的影响
Animals (Basel). 2023 Jul 7;13(13):2237. doi: 10.3390/ani13132237.
8
Comparison of antimicrobial resistant Escherichia coli isolated from Irish commercial pig farms with and without zinc oxide and antimicrobial usage.对来自爱尔兰商业养猪场的耐抗菌药物大肠杆菌进行比较,这些猪场分别使用和未使用氧化锌及抗菌药物。
Gut Pathog. 2023 Feb 24;15(1):8. doi: 10.1186/s13099-023-00534-3.
9
Effects of Oral Glutamine Supplementation, Birthweight and Age on Colonic Morphology and Microbiome Development in Male Suckling Piglets.口服谷氨酰胺补充剂、出生体重和年龄对雄性哺乳仔猪结肠形态和微生物群发育的影响。
Microorganisms. 2022 Sep 25;10(10):1899. doi: 10.3390/microorganisms10101899.
10
Using Shotgun Sequencing to Describe the Changes Induced by In-Feed Zinc Oxide and Apramycin in the Microbiomes of Pigs One Week Postweaning.利用 shotgun 测序描述饲粮氧化锌和安普霉素对断奶后一周仔猪肠道微生物组的影响。
Microbiol Spectr. 2022 Aug 31;10(4):e0159722. doi: 10.1128/spectrum.01597-22. Epub 2022 Aug 11.
Effects of pharmacological concentrations of dietary zinc oxide on growth of post-weaning pigs: a meta-analysis.
日粮氧化锌的药理浓度对断奶后猪生长的影响:一项荟萃分析。
Biol Trace Elem Res. 2013 Jun;152(3):343-9. doi: 10.1007/s12011-013-9638-3. Epub 2013 Mar 6.
4
Ex vivo-growth response of porcine small intestinal bacterial communities to pharmacological doses of dietary zinc oxide.猪小肠细菌群落对饲粮氧化锌药物剂量的体外生长反应。
PLoS One. 2013;8(2):e56405. doi: 10.1371/journal.pone.0056405. Epub 2013 Feb 18.
5
Expression patterns of porcine Toll-like receptors family set of genes (TLR1-10) in gut-associated lymphoid tissues alter with age.猪 Toll 样受体家族基因(TLR1-10)在肠相关淋巴组织中的表达模式随年龄而变化。
Res Vet Sci. 2013 Aug;95(1):92-102. doi: 10.1016/j.rvsc.2013.01.027. Epub 2013 Feb 21.
6
The influence of dietary locust bean gum and live yeast on some digestive immunological parameters of piglets experimentally challenged with Escherichia coli.日粮槐豆胶和活菌对人工感染大肠杆菌仔猪部分消化免疫参数的影响。
J Anim Sci. 2012 Dec;90 Suppl 4:260-2. doi: 10.2527/jas.53894.
7
Evolution of zinc, iron, and copper concentrations along the gastrointestinal tract of piglets weaned with or without in-feed high doses of zinc oxide compared to unweaned littermates.与未断奶的同窝仔猪相比,用或不用饲料中高剂量氧化锌断奶的仔猪胃肠道中锌、铁和铜浓度的演变。
J Anim Sci. 2012 Dec;90 Suppl 4:248-50. doi: 10.2527/jas.53999.
8
Effects of faba bean and faba bean hulls on expression of selected genes in the small intestine of piglets.菜豆和豆皮对仔猪小肠中部分基因表达的影响。
J Anim Sci. 2012 Dec;90 Suppl 4:161-3. doi: 10.2527/jas.53848.
9
Diosmectite-zinc oxide composite improves intestinal barrier function, modulates expression of pro-inflammatory cytokines and tight junction protein in early weaned pigs.蒙脱石-氧化锌复合材料可改善早期断奶仔猪的肠道屏障功能,调节促炎细胞因子和紧密连接蛋白的表达。
Br J Nutr. 2013 Aug;110(4):681-8. doi: 10.1017/S0007114512005508. Epub 2013 Jan 11.
10
Roles of the gel-forming MUC2 mucin and its O-glycosylation in the protection against colitis and colorectal cancer.凝胶形成型 MUC2 粘蛋白及其 O-糖基化在预防结肠炎和结直肠癌中的作用。
Biol Pharm Bull. 2012;35(10):1637-41. doi: 10.1248/bpb.b12-00412.