Department of Radiology (E010), German Cancer Research Center (DKFZ), Heidelberg 69120, Germany.
Institute of Forensic Medicine, University of Heidelberg, Heidelberg 69115, Germany.
Korean J Radiol. 2014 Mar-Apr;15(2):205-9. doi: 10.3348/kjr.2014.15.2.205. Epub 2014 Mar 7.
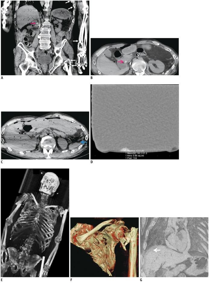
A 63-year-old man was found in the street after overrun by a car. Postmortem CT revealed multiple bone fractures, but surprisingly all without any relevant hemorrhage which would have been expected under such circumstances. A round radiopaque formation was found in the duodenum, which was reminiscent of ingested tablets. The toxicological analysis revealed high concentrations of zopiclone and alcohol. By combining radiologic and forensic results, zopiclone and alcohol intoxication were concluded as the cause of death, followed by a postmortem overrun accident.
一位 63 岁男性被车碾压后倒在街上。尸检 CT 显示多处骨折,但令人惊讶的是,所有骨折均无任何情况下预期的相关出血。在十二指肠中发现一个圆形不透射线的形成物,这让人想起摄入的片剂。毒理学分析显示佐匹克隆和酒精浓度很高。通过结合影像学和法医学结果,佐匹克隆和酒精中毒被认为是死亡原因,随后是死后碾压事故。