Baveja Sukriti, Garg Shilpa, Rajdeo Amol
Department of Dermatology, Leprosy and Venereology, Base Hospital, Delhi Cantt, New Delhi, India.
Indian J Dermatol. 2014 Mar;59(2):209. doi: 10.4103/0019-5154.127711.
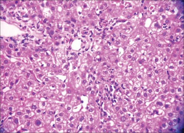
Hepatitis being first manifestation of secondary syphilis is rare. Here in we report a case of 39 years old male who was being treated for hepatitis and presented to us subsequently with itchy maculopapular rash. Venereal disease research laboratory (VDRL) titre was 1:16. Treponema pallidum hemagglutination assay (TPHA) was positive. He was treated with intramuscular Benzathine Penicillin. His hepatitis improved rapidly.
肝炎作为二期梅毒的首发表现较为罕见。在此我们报告一例39岁男性,该患者因肝炎接受治疗,随后出现瘙痒性斑丘疹并前来就诊。性病研究实验室(VDRL)滴度为1:16。梅毒螺旋体血凝试验(TPHA)呈阳性。他接受了苄星青霉素肌肉注射治疗。他的肝炎迅速好转。