• 文献检索
  • 文档翻译
  • 深度研究
  • 学术资讯
  • Suppr Zotero 插件Zotero 插件
  • 邀请有礼
  • 套餐&价格
  • 历史记录
应用&插件
Suppr Zotero 插件Zotero 插件浏览器插件Mac 客户端Windows 客户端微信小程序
定价
高级版会员购买积分包购买API积分包
服务
文献检索文档翻译深度研究API 文档MCP 服务
关于我们
关于 Suppr公司介绍联系我们用户协议隐私条款
关注我们

Suppr 超能文献

核心技术专利:CN118964589B侵权必究
粤ICP备2023148730 号-1Suppr @ 2026

文献检索

告别复杂PubMed语法,用中文像聊天一样搜索,搜遍4000万医学文献。AI智能推荐,让科研检索更轻松。

立即免费搜索

文件翻译

保留排版,准确专业,支持PDF/Word/PPT等文件格式,支持 12+语言互译。

免费翻译文档

深度研究

AI帮你快速写综述,25分钟生成高质量综述,智能提取关键信息,辅助科研写作。

立即免费体验

用抗独特型抗体和合成肽定位甲型流感病毒基质蛋白的转录抑制和RNA结合结构域。

Transcription-inhibition and RNA-binding domains of influenza A virus matrix protein mapped with anti-idiotypic antibodies and synthetic peptides.

作者信息

Ye Z P, Baylor N W, Wagner R R

机构信息

Department of Microbiology, University of Virginia Medical School, Charlottesville 22908.

出版信息

J Virol. 1989 Sep;63(9):3586-94. doi: 10.1128/JVI.63.9.3586-3594.1989.

DOI:10.1128/JVI.63.9.3586-3594.1989
PMID:2474671
原文链接:https://pmc.ncbi.nlm.nih.gov/articles/PMC250948/
Abstract

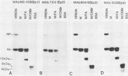
We have undertaken by biochemical and immunological experiments to locate the region of the matrix (M1) protein responsible for down-regulating endogenous transcription of A/WSN/33 influenza virus. A more refined map of the antigenic determinants of the M1 protein was obtained by binding of epitope-specific monoclonal antibodies (MAbs) to chemically cleaved fragments. Epitope 2-specific MAb 289/4 and MAb 7E5 reverse transcription inhibition by M1 protein and react with a 4-kilodalton cyanogen bromide fragment extending from amino acid Gly-129 to Gln-164. Anti-idiotype serum immunoglobulin G prepared in rabbits immunized with MAb 289/4 or MAb 7E5 mimicked the action of M1 protein by inhibiting transcription in vitro of influenza virus ribonucleoprotein cores. This transcription-inhibition activity of anti-MAb 7E5 immunoglobulin G and anti-MAb 289/4 immunoglobulin G could be reversed by MAb 7E5 and MAb 289/4 or could be removed by MAb 7E5-Sepharose affinity chromatography. Transcription of influenza virus ribonucleoprotein was inhibited by one of three synthetic oligopeptides, a nonodecapeptide SP3 with an amino acid sequence corresponding to Pro-90 through Thr-108 of the M1 protein. Of all the structural proteins of influenza virus, only NP and M1 showed strong affinity for binding viral RNA or other extraneous RNAs. The 4-kilodalton cyanogen bromide peptide (Gly-129 to Gln-164), exhibited marked affinity for viral RNA, the binding of which was blocked by epitope 2-specific MAb 7E5 but not by MAbs directed to three other epitopes. Viral RNA also bound strongly to the nonodecapeptide SP3 and rather less well to anti-idiotype anti-MAb 7E5; these latter viral RNA-binding reactions were only slightly blocked by preincubation of anti-MAb 7E5 or SP3 with MAb 7E5. These experiments suggest the presence of at least two RNA-binding sites, which also serve as transcription-inhibition sites, centered around amino acid sequences 80 through 109 (epitope 4?) and 129 through 164 (epitope 2) of the 252 amino acid M1 protein of A/WSN/33 influenza virus. A hydropathy plot of the M1 protein calculated by free-energy transfer suggests that the two hydrophilic transcription-inhibition RNA-binding domains are brought into close proximity by an alpha-helix-forming intervening hydrophobic domain.

摘要

我们通过生化和免疫学实验来确定基质(M1)蛋白中负责下调A/WSN/33流感病毒内源性转录的区域。通过表位特异性单克隆抗体(MAb)与化学裂解片段的结合,获得了更精细的M1蛋白抗原决定簇图谱。表位2特异性单克隆抗体289/4和单克隆抗体7E5可逆转M1蛋白的逆转录抑制作用,并与一个从氨基酸Gly-129延伸至Gln-164的4千道尔顿溴化氰片段发生反应。在用单克隆抗体289/4或单克隆抗体7E5免疫的兔中制备的抗独特型血清免疫球蛋白G,通过抑制流感病毒核糖核蛋白核心的体外转录来模拟M1蛋白的作用。抗单克隆抗体7E5免疫球蛋白G和抗单克隆抗体289/4免疫球蛋白G的这种转录抑制活性可被单克隆抗体7E5和单克隆抗体289/4逆转,或可通过单克隆抗体7E5-琼脂糖亲和层析去除。流感病毒核糖核蛋白的转录被三种合成寡肽之一抑制,即一种十九肽SP3,其氨基酸序列对应于M1蛋白的Pro-90至Thr-108。在流感病毒的所有结构蛋白中,只有核蛋白(NP)和M1蛋白对结合病毒RNA或其他外来RNA表现出强亲和力。4千道尔顿溴化氰肽(Gly-129至Gln-164)对病毒RNA表现出显著亲和力,其结合被表位2特异性单克隆抗体7E5阻断,但不被针对其他三个表位的单克隆抗体阻断。病毒RNA也与十九肽SP3强烈结合,与抗独特型抗单克隆抗体7E5的结合较弱;后一种病毒RNA结合反应仅被抗单克隆抗体7E5或SP3与单克隆抗体7E5的预孵育轻微阻断。这些实验表明,在A/WSN/33流感病毒252个氨基酸的M1蛋白中,至少存在两个RNA结合位点,它们也作为转录抑制位点,集中在氨基酸序列80至109(表位4?)和129至164(表位2)周围。通过自由能转移计算得到的M1蛋白亲水性图谱表明,两个亲水性转录抑制RNA结合结构域通过一个形成α螺旋的中间疏水性结构域紧密靠近。

https://cdn.ncbi.nlm.nih.gov/pmc/blobs/c359/250948/44ee318de7b2/jvirol00076-0047-a.jpg
https://cdn.ncbi.nlm.nih.gov/pmc/blobs/c359/250948/44ee318de7b2/jvirol00076-0047-a.jpg
https://cdn.ncbi.nlm.nih.gov/pmc/blobs/c359/250948/44ee318de7b2/jvirol00076-0047-a.jpg

相似文献

1
Transcription-inhibition and RNA-binding domains of influenza A virus matrix protein mapped with anti-idiotypic antibodies and synthetic peptides.用抗独特型抗体和合成肽定位甲型流感病毒基质蛋白的转录抑制和RNA结合结构域。
J Virol. 1989 Sep;63(9):3586-94. doi: 10.1128/JVI.63.9.3586-3594.1989.
2
Functional and antigenic domains of the matrix (M1) protein of influenza A virus.甲型流感病毒基质(M1)蛋白的功能和抗原结构域。
J Virol. 1987 Feb;61(2):239-46. doi: 10.1128/JVI.61.2.239-246.1987.
3
Down-regulation of vesicular stomatitis virus transcription by the matrix protein of influenza virus.流感病毒基质蛋白对水疱性口炎病毒转录的下调作用。
J Gen Virol. 1992 Mar;73 ( Pt 3):743-8. doi: 10.1099/0022-1317-73-3-743.
4
Monoclonal antibody analysis of influenza virus matrix protein epitopes involved in transcription inhibition.参与转录抑制的流感病毒基质蛋白表位的单克隆抗体分析
Virus Genes. 1989 Nov;3(2):111-26. doi: 10.1007/BF00125124.
5
Antigenicity, function, and conformation of synthetic oligopeptides corresponding to amino-terminal sequences of wild-type and mutant matrix proteins of vesicular stomatitis virus.与水疱性口炎病毒野生型和突变型基质蛋白氨基末端序列相对应的合成寡肽的抗原性、功能和构象。
J Virol. 1988 Aug;62(8):2569-77. doi: 10.1128/JVI.62.8.2569-2577.1988.
6
Titration calorimetry study of an anti-idiotypic antibody cascade in a human melanoma-associated antigen system.人黑色素瘤相关抗原系统中抗独特型抗体级联反应的滴定热分析研究
Mol Immunol. 1997 Jul;34(10):695-707. doi: 10.1016/s0161-5890(97)00095-3.
7
Host range determination and functional mapping of the nucleoprotein and matrix genes of influenza viruses using monoclonal antibodies.利用单克隆抗体对流感病毒核蛋白和基质基因进行宿主范围测定及功能定位
Virus Res. 1992 Mar;22(3):281-93. doi: 10.1016/0168-1702(92)90058-h.
8
Induction of immune response to influenza virus with anti-idiotypic antibodies.用抗独特型抗体诱导对流感病毒的免疫应答。
J Virol. 1989 Jun;63(6):2758-67. doi: 10.1128/JVI.63.6.2758-2767.1989.
9
Characterization of anti-idiotype reagents to bovine herpesvirus-1 monoclonal antibody.牛疱疹病毒1型单克隆抗体的抗独特型试剂的特性分析
Vet Immunol Immunopathol. 1988 Dec;20(1):1-14. doi: 10.1016/0165-2427(88)90021-9.
10
Probing the idiotype/anti-idiotype antibody interaction with a set of synthetic peptide homologues.
Immunol Lett. 1991 Jun;28(3):213-8. doi: 10.1016/0165-2478(91)90006-v.

引用本文的文献

1
Matrix protein 1 (M1) of influenza A virus: structural and functional insights.甲型流感病毒基质蛋白1(M1):结构与功能解析
Emerg Microbes Infect. 2025 Dec;14(1):2558881. doi: 10.1080/22221751.2025.2558881. Epub 2025 Sep 19.
2
Aerosol immunization with influenza matrix, nucleoprotein, or both prevents lung disease in pig.用流感病毒基质蛋白、核蛋白或两者进行气溶胶免疫可预防猪的肺部疾病。
NPJ Vaccines. 2024 Oct 13;9(1):188. doi: 10.1038/s41541-024-00989-8.
3
Discrete spatio-temporal regulation of tyrosine phosphorylation directs influenza A virus M1 protein towards its function in virion assembly.

本文引用的文献

1
Incorporation of influenza virus M-protein into liposomes.流感病毒M蛋白整合到脂质体中。
J Virol. 1980 Nov;36(2):586-90. doi: 10.1128/JVI.36.2.586-590.1980.
2
Interaction of influenza M protein with viral lipid and phosphatidylcholine vesicles.流感M蛋白与病毒脂质及磷脂酰胆碱囊泡的相互作用。
J Virol. 1980 Nov;36(2):470-9. doi: 10.1128/JVI.36.2.470-479.1980.
3
Insertion of influenza M protein into the viral lipid bilayer and localization of site of insertion.流感M蛋白插入病毒脂质双层及插入位点的定位。
离散的酪氨酸磷酸化时空调控使甲型流感病毒 M1 蛋白向其在病毒组装中的功能定向。
PLoS Pathog. 2020 Aug 31;16(8):e1008775. doi: 10.1371/journal.ppat.1008775. eCollection 2020 Aug.
4
The matrix segment of the "Spanish flu" virus originated from intragenic recombination between avian and human influenza A viruses.“西班牙流感”病毒的基质片段源于禽源性和人流感 A 病毒之间的基因内重配。
Transbound Emerg Dis. 2019 Sep;66(5):2188-2195. doi: 10.1111/tbed.13282. Epub 2019 Jul 15.
5
Conserved methionine 165 of matrix protein contributes to the nuclear import and is essential for influenza A virus replication.基质蛋白中保守的蛋氨酸 165 有助于核输入,对于甲型流感病毒的复制是必需的。
Virol J. 2018 Dec 3;15(1):187. doi: 10.1186/s12985-018-1056-x.
6
Evolution of Therapeutic Antibodies, Influenza Virus Biology, Influenza, and Influenza Immunotherapy.治疗性抗体的演变、流感病毒生物学、流感和流感免疫疗法。
Biomed Res Int. 2018 May 28;2018:9747549. doi: 10.1155/2018/9747549. eCollection 2018.
7
A Single Amino Acid in the M1 Protein Responsible for the Different Pathogenic Potentials of H5N1 Highly Pathogenic Avian Influenza Virus Strains.M1蛋白中的单个氨基酸决定H5N1高致病性禽流感病毒株的不同致病潜力
PLoS One. 2015 Sep 14;10(9):e0137989. doi: 10.1371/journal.pone.0137989. eCollection 2015.
8
Cell penetrable human scFv specific to middle domain of matrix protein-1 protects mice from lethal influenza.针对基质蛋白-1中间结构域的可穿透细胞的人单链抗体片段可保护小鼠免受致命性流感病毒感染。
Viruses. 2015 Jan 14;7(1):154-79. doi: 10.3390/v7010154.
9
Nuclear export of the influenza virus ribonucleoprotein complex: Interaction of Hsc70 with viral proteins M1 and NS2.流感病毒核糖核蛋白复合物的核输出:Hsc70 与病毒蛋白 M1 和 NS2 的相互作用。
FEBS Open Bio. 2014 Jul 9;4:683-8. doi: 10.1016/j.fob.2014.07.004. eCollection 2014.
10
Development of universal influenza vaccines based on influenza virus M and NP genes.基于流感病毒M基因和NP基因的通用流感疫苗的研发。
Infection. 2014 Apr;42(2):251-62. doi: 10.1007/s15010-013-0546-4. Epub 2013 Nov 1.
J Virol. 1981 Oct;40(1):323-8. doi: 10.1128/JVI.40.1.323-328.1981.
4
Influence of membrane (M) protein on influenza A virus virion transcriptase activity in vitro and its susceptibility to rimantadine.膜(M)蛋白对甲型流感病毒病毒粒子体外转录酶活性及其对金刚乙胺敏感性的影响。
J Virol. 1980 Feb;33(2):583-6. doi: 10.1128/JVI.33.2.583-586.1980.
5
The gene structure and replication of influenza virus.流感病毒的基因结构与复制
Annu Rev Biochem. 1983;52:467-506. doi: 10.1146/annurev.bi.52.070183.002343.
6
Influenza virus RNA segment 7 has the coding capacity for two polypeptides.流感病毒RNA片段7具有编码两种多肽的能力。
Virology. 1980 Dec;107(2):548-51. doi: 10.1016/0042-6822(80)90324-4.
7
The detection of DNA-binding proteins by protein blotting.通过蛋白质印迹法检测DNA结合蛋白。
Nucleic Acids Res. 1980 Jan 11;8(1):1-20. doi: 10.1093/nar/8.1.1.
8
Antigenic characterization of influenza A virus matrix protein with monoclonal antibodies.用单克隆抗体对甲型流感病毒基质蛋白进行抗原特性分析。
J Virol. 1984 Jan;49(1):248-52. doi: 10.1128/JVI.49.1.248-252.1984.
9
Implications of the presence of an internal image of the antigen in anti-idiotypic antibodies: possible application to vaccine production.抗独特型抗体中抗原内影像的存在所具有的意义:在疫苗生产中的可能应用。
Clin Immunol Immunopathol. 1981 Dec;21(3):397-406. doi: 10.1016/0090-1229(81)90228-2.
10
Influenza virus M2 protein is an integral membrane protein expressed on the infected-cell surface.流感病毒M2蛋白是一种表达于被感染细胞表面的整合膜蛋白。
Cell. 1985 Mar;40(3):627-33. doi: 10.1016/0092-8674(85)90211-9.