Suppr超能文献

细胞外基质蛋白1与人类胃癌的发生及淋巴转移相关。

Extracellular matrix protein 1 is correlated to carcinogenesis and lymphatic metastasis of human gastric cancer.

作者信息

Wu Qiuwan, Li Xiaohong, Yang Haiyan, Lu Chuanhui, You Jun, Zhang Zhiming

机构信息

Xiamen Cancer Centre, the First Affiliated Hospital of Xiamen University (the Teaching Hospital of Fujian Medical University), Xiamen, China.

出版信息

World J Surg Oncol. 2014 Apr 29;12:132. doi: 10.1186/1477-7819-12-132.

Abstract

BACKGROUND

Tumor-induced lymphangiogenesis is a crucial step in malignant invasion and metastasis. Extracellular matrix protein 1 (ECM1) was recently reported to play a role in lymphangiogenesis. In the present work, we aimed to evaluate the role of ECM1 in gastric cancer and examined whether aberrant expression of ECM1 increased the tumorigenic and metastatic potential of human gastric cancer.

METHODS

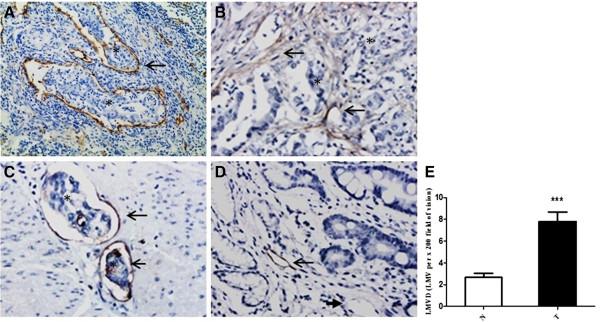
The mRNA and protein expression of ECM1 in gastric cancer specimen and the noncancerous counterparts from 77 patients were detected by real-time PCR and immunohistochemistry staining. Lymphatic microvessel density (LMVD) in the corresponding serial sections was assessed by counting the lymphatic microvessels labelled by D2-40. The correlations between ECM1 expression, LMVD, and the clinicopathological parameters were examined.

RESULTS

ECM1 protein expression was detected in 70.1% (54/77) of gastric cancer specimen, significantly higher than that in the corresponding counterparts (P<0.01). ECM1 mRNA in tumor specimen was also dramatically amplified. Elevated LMVD and ECM1 were positively correlated (P<0.01). In addition, ECM1 protein expression was also closely associated with depth of tumor invasion and TNM stage (P<0.05, respectively).

CONCLUSIONS

ECM1 expression is aberrant elevated in tumor specimen and is closely related to the tumorigenic and metastatic potential of human gastric cancer. Thus, carrying out the protein examination may be beneficial to predict carcinogenesis and metastatic spread of human gastric cancer.

摘要

背景

肿瘤诱导的淋巴管生成是恶性侵袭和转移的关键步骤。最近有报道称细胞外基质蛋白1(ECM1)在淋巴管生成中发挥作用。在本研究中,我们旨在评估ECM1在胃癌中的作用,并研究ECM1的异常表达是否会增加人胃癌的致瘤性和转移潜能。

方法

采用实时PCR和免疫组织化学染色法检测77例患者胃癌标本及癌旁对照组织中ECM1的mRNA和蛋白表达。通过计数D2-40标记的淋巴管微血管来评估相应连续切片中的淋巴管微血管密度(LMVD)。研究ECM1表达、LMVD与临床病理参数之间的相关性。

结果

70.1%(54/77)的胃癌标本中检测到ECM1蛋白表达,显著高于相应的癌旁组织(P<0.01)。肿瘤标本中的ECM1 mRNA也显著扩增。LMVD升高与ECM1呈正相关(P<0.01)。此外,ECM1蛋白表达还与肿瘤浸润深度和TNM分期密切相关(分别为P<0.05)。

结论

肿瘤标本中ECM1表达异常升高,与人胃癌的致瘤性和转移潜能密切相关。因此,进行蛋白检测可能有助于预测人胃癌的发生和转移扩散。

https://cdn.ncbi.nlm.nih.gov/pmc/blobs/a8e7/4016775/9fcc5798fb05/1477-7819-12-132-1.jpg

文献AI研究员

20分钟写一篇综述,助力文献阅读效率提升50倍。

立即体验

用中文搜PubMed

大模型驱动的PubMed中文搜索引擎

马上搜索

文档翻译

学术文献翻译模型,支持多种主流文档格式。

立即体验