Suppr超能文献

葡萄籽提取物中原花青素可保护吲哚美辛引起的小肠黏膜损伤。

Proanthocyanidin from grape seed extracts protects indomethacin-induced small intestinal mucosal injury.

机构信息

The Department of Internal Medicine, The Catholic University of Korea College of Medicine, St. Mary's Hospital, Yeongdeungpo-gu 63-ro 10, Seoul 150-713, Republic of Korea.

出版信息

Gastroenterol Res Pract. 2014;2014:618068. doi: 10.1155/2014/618068. Epub 2014 Apr 27.

Abstract

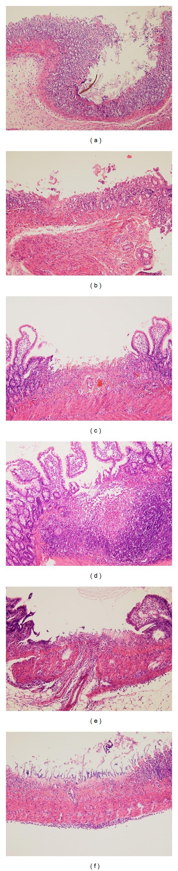
Proanthocyanidin (grape seed proanthocyanidin extracts, GSPEs) is an antioxidant and scavenges free radicals. Excessive oxidative stress and free radical production are major components in the pathogenesis of NSAID-induced small intestinal injury. We investigated the effect of GSPEs on indomethacin-induced intestinal mucosal injury in the rat. Rats were allocated into four groups: the null control group, the indomethacin control group, the low-dose GSPEs group, and the high-dose GSPEs group. GSPEs were administered for 4 days. Then indomethacin and GSPEs were coadministered for the following 2 days by oral route. The dose of indomethacin was 200 mg/Kg. The doses of GSPEs were 100 mg/Kg for low-dose group and 300 mg/Kg for high-dose group. Luminal bleeding was solely observed in one of 5 rats from indomethacin control group. The number of ulcer count was reduced to 0.1 ± 0.3 per rat in GSPEs treated group compared to 1.4 ± 0.5 per rat in indomethacin control group. Submucosal inflammatory cell infiltration was also reduced to 50% in GSPEs treated group. The tissue level of prostaglandin E2 was not affected by GSPEs treatment. GSPEs attenuated the indomethacin-induced small intestinal injury irrespective of the tissue PGE2 depletion and glutathione consumption.

摘要

原花青素(葡萄籽原花青素提取物,GSPEs)是一种抗氧化剂,可以清除自由基。过量的氧化应激和自由基产生是 NSAID 诱导的小肠损伤发病机制中的主要组成部分。我们研究了 GSPEs 对吲哚美辛诱导的大鼠肠黏膜损伤的影响。大鼠分为四组:空白对照组、吲哚美辛对照组、低剂量 GSPEs 组和高剂量 GSPEs 组。GSPEs 给药 4 天。然后通过口服途径在接下来的 2 天同时给予吲哚美辛和 GSPEs。吲哚美辛的剂量为 200mg/Kg。GSPEs 的剂量为低剂量组 100mg/Kg,高剂量组 300mg/Kg。吲哚美辛对照组的 5 只大鼠中仅观察到 1 只出现腔道出血。与吲哚美辛对照组每只大鼠 1.4±0.5 个溃疡数相比,GSPEs 治疗组的溃疡计数减少至 0.1±0.3 个/只。GSPEs 治疗组黏膜下炎症细胞浸润也减少至 50%。GSPEs 治疗并不影响组织中前列腺素 E2 的水平。GSPEs 减轻了吲哚美辛诱导的小肠损伤,而与组织 PGE2 耗竭和谷胱甘肽消耗无关。

https://cdn.ncbi.nlm.nih.gov/pmc/blobs/1431/4020456/92afced2375e/GRP2014-618068.001.jpg

文献AI研究员

20分钟写一篇综述,助力文献阅读效率提升50倍。

立即体验

用中文搜PubMed

大模型驱动的PubMed中文搜索引擎

马上搜索

文档翻译

学术文献翻译模型,支持多种主流文档格式。

立即体验