Suppr超能文献

模仿早发型克罗恩病伴皮肤表现的慢性肉芽肿病

Chronic granulomatous disease mimicking early-onset Crohn's disease with cutaneous manifestations.

作者信息

Barbato Maria, Ragusa Giovanni, Civitelli Fortunata, Marcheggiano Adriana, Di Nardo Giovanni, Iacobini Metello, Melengu Taulant, Cucchiara Salvatore, Duse Marzia

机构信息

Pediatric Immunology Unit, Sapienza University of Rome, Viale Regina Elena, 324-00161 Rome, Italy.

出版信息

BMC Pediatr. 2014 Jun 20;14:156. doi: 10.1186/1471-2431-14-156.

Abstract

BACKGROUND

Chronic granulomatous disease is a rare inherited disorder of the innate immune system. In patients with a clinical history of recurrent or persistent infections, especially infections caused by uncommon species, chronic granulomatous disease should be considered.

CASE PRESENTATION

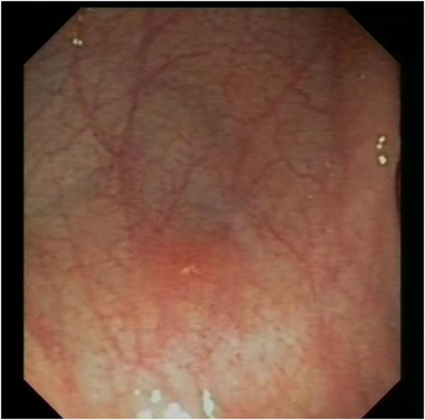
We report the case of a 5-year-old boy with a presumptive diagnosis of Crohn's disease with extraintestinal manifestations. Chronic granulomatous disease was suspected in this case after Serratia marcescens was isolated from a skin ulcer culture. Granulomas were confirmed on histology and chronic granulomatous disease was diagnosed.

CONCLUSION

This case emphasizes the importance of high clinical suspicion of an alternative diagnosis of immune deficiency in patients with presumed inflammatory bowel disease and opportunistic infections, especially when disease occurs in early life.

摘要

背景

慢性肉芽肿病是一种罕见的先天性免疫系统遗传性疾病。对于有反复或持续性感染临床病史的患者,尤其是由不常见菌种引起的感染,应考虑慢性肉芽肿病。

病例报告

我们报告一例5岁男孩,初步诊断为克罗恩病伴肠外表现。从皮肤溃疡培养物中分离出粘质沙雷菌后,怀疑该病例患有慢性肉芽肿病。组织学检查证实有肉芽肿,从而诊断为慢性肉芽肿病。

结论

该病例强调了对于疑似炎症性肠病和机会性感染患者,尤其是在早年发病时,高度怀疑免疫缺陷替代诊断的重要性。

https://cdn.ncbi.nlm.nih.gov/pmc/blobs/c6f9/4097086/60e2381d3b28/1471-2431-14-156-1.jpg

相似文献

2
[Serratia marcescens cutaneous gumma and chronic septic granulomatosis].
Med Mal Infect. 2014 Jan;44(1):39-41. doi: 10.1016/j.medmal.2013.10.004. Epub 2013 Nov 20.
3
[Chronic granulomatous disease: multiple infections as clinical presentation. Pediatric case report].
Arch Argent Pediatr. 2018 Dec 1;116(6):e744-e748. doi: 10.5546/aap.2018.e744.
4
[Serratia marcescens osteomyelitis as the first manifestation of chronic granulomatous disease].
Arch Pediatr. 2014 Jul;21(7):754-6. doi: 10.1016/j.arcped.2014.04.023. Epub 2014 Jun 13.
5
Lytic lesion of skull: a rare presentation of chronic granulomatous disease.
BMJ Case Rep. 2020 Sep 2;13(9):e235423. doi: 10.1136/bcr-2020-235423.
6
Chronic granulomatous disease mimicking Crohn's disease.
J Pediatr Gastroenterol Nutr. 1985 Jun;4(3):498-501. doi: 10.1097/00005176-198506000-00030.
7
Serratia marcescens osteomyelitis in a newborn with chronic granulomatous disease.
Pediatr Infect Dis J. 2013 Aug;32(8):926. doi: 10.1097/INF.0b013e31828f682a.
8
Pediatric case of the day. Chronic granulomatous disease (CGD).
Radiographics. 1998 Jul-Aug;18(4):1035-7. doi: 10.1148/radiographics.18.4.9672986.
9
Ulcerative lesion of the nasal bridge in a five-month-old infant.
Pediatr Infect Dis J. 1999 Oct;18(10):936-7, 946-7. doi: 10.1097/00006454-199910000-00019.
10
An unusual case of chronic soft-tissue infection and more in a young infant.
Semin Pediatr Infect Dis. 2006 Jan;17(1):4, 46-9. doi: 10.1053/j.spid.2005.11.002.

引用本文的文献

1
Chronic Granulomatous Disease as Differential Diagnosis to Crohn's Disease in Children: a Case Report.
Acta Derm Venereol. 2024 Sep 19;104:adv40908. doi: 10.2340/actadv.v104.40908.
2
Offense and Defense in Granulomatous Inflammation Disease.
Front Cell Infect Microbiol. 2022 Jun 29;12:797749. doi: 10.3389/fcimb.2022.797749. eCollection 2022.
3
Chronic Granulomatous Disease With Inflammatory Bowel Disease: Clinical Presentation, Treatment, and Outcomes From the USIDNET Registry.
J Allergy Clin Immunol Pract. 2022 May;10(5):1325-1333.e5. doi: 10.1016/j.jaip.2021.12.035. Epub 2022 Jan 14.
4
Colitis susceptibility in mice with reactive oxygen species deficiency is mediated by mucus barrier and immune defense defects.
Mucosal Immunol. 2019 Nov;12(6):1316-1326. doi: 10.1038/s41385-019-0205-x. Epub 2019 Sep 25.
5
Hydrogen peroxide production by lactobacilli promotes epithelial restitution during colitis.
Redox Biol. 2018 Jun;16:11-20. doi: 10.1016/j.redox.2018.02.003. Epub 2018 Feb 12.
6
Pyoderma gangrenosum in a patient with chronic granulomatous disease: A case report.
Medicine (Baltimore). 2017 Aug;96(31):e7718. doi: 10.1097/MD.0000000000007718.
7
Differential diagnosis in ulcerative colitis in an adolescent: Chronic granulomatous disease needs extra attention.
World J Gastrointest Pathophysiol. 2017 May 15;8(2):87-92. doi: 10.4291/wjgp.v8.i2.87.
8
Chronic Granulomatous Disease.
Indian J Pediatr. 2016 Apr;83(4):345-53. doi: 10.1007/s12098-016-2040-3. Epub 2016 Feb 11.
9
ROS in gastrointestinal inflammation: Rescue Or Sabotage?
Br J Pharmacol. 2017 Jun;174(12):1704-1718. doi: 10.1111/bph.13428. Epub 2016 Mar 3.
10
Genetic disorders coupled to ROS deficiency.
Redox Biol. 2015 Dec;6:135-156. doi: 10.1016/j.redox.2015.07.009. Epub 2015 Jul 17.

本文引用的文献

2
Hematologically important mutations: X-linked chronic granulomatous disease (third update).
Blood Cells Mol Dis. 2010 Oct 15;45(3):246-65. doi: 10.1016/j.bcmd.2010.07.012. Epub 2010 Aug 21.
3
Overlap, common features, and essential differences in pediatric granulomatous inflammatory bowel disease.
J Pediatr Gastroenterol Nutr. 2010 Dec;51(6):690-7. doi: 10.1097/MPG.0b013e3181dc0d73.
4
Therapeutic strategy in p47-phox deficient chronic granulomatous disease presenting as inflammatory bowel disease.
J Allergy Clin Immunol. 2010 Apr;125(4):943-946.e1. doi: 10.1016/j.jaci.2010.01.035.
5
Skin ulcers and disseminated abscesses are characteristic of Serratia marcescens infection in older patients with chronic granulomatous disease.
J Allergy Clin Immunol. 2009 Jul;124(1):164-6. doi: 10.1016/j.jaci.2009.04.009. Epub 2009 May 27.
6
Chronic granulomatous disease: the European experience.
PLoS One. 2009;4(4):e5234. doi: 10.1371/journal.pone.0005234. Epub 2009 Apr 21.
7
Genetics and immunopathology of chronic granulomatous disease.
Semin Immunopathol. 2008 Jul;30(3):209-35. doi: 10.1007/s00281-008-0121-8. Epub 2008 May 29.
9
Gastrointestinal involvement in chronic granulomatous disease.
Pediatrics. 2004 Aug;114(2):462-8. doi: 10.1542/peds.114.2.462.
10
Immunodeficiency diseases caused by defects in phagocytes.
N Engl J Med. 2000 Dec 7;343(23):1703-14. doi: 10.1056/NEJM200012073432307.

文献AI研究员

20分钟写一篇综述,助力文献阅读效率提升50倍。

立即体验

用中文搜PubMed

大模型驱动的PubMed中文搜索引擎

马上搜索

文档翻译

学术文献翻译模型,支持多种主流文档格式。

立即体验