Suppr超能文献

胸膜恶性孤立性纤维瘤缓慢生长17年:病例报告

Malignant solitary fibrous tumor of the pleura slowly growing over 17 years: case report.

作者信息

Jeon Hyun Woo, Kwon Soon Seog, Kim Young-Du

机构信息

Department of Thoracic and Cardiovascular Surgery, Bucheon St, Mary's Hospital, College of Medicine, The Catholic University of Korea, 222 Banpo-daero, Seocho-gu, Seoul 137-701, Republic of Korea.

出版信息

J Cardiothorac Surg. 2014 Jun 21;9:113. doi: 10.1186/1749-8090-9-113.

Abstract

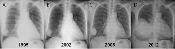
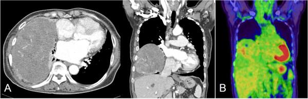
Although a solitary fibrous tumor of the pleura (SFTP) is a rare disease, and usually has a benign course, it has a malignant potential. We report a case of malignant SFTP treated surgically. A 75-year-old female was admitted with a chief complaint of hemoptysis of two weeks duration. Computed tomography of the chest imaged a large mass in the right hemithorax, which compressed adjacent organs; however, there was no evidence of invasion. We reviewed the patient's medical records and found that the mass had been presented for 17 years. Complete resection was achieved through a right thoracotomy and histopathologic examination confirmed a malignant SFTP.

摘要

尽管胸膜孤立性纤维瘤(SFTP)是一种罕见疾病,且通常病程呈良性,但它具有恶变潜能。我们报告一例经手术治疗的恶性SFTP病例。一名75岁女性因持续两周的咯血为主诉入院。胸部计算机断层扫描显示右半胸有一个大肿块,该肿块压迫相邻器官;然而,没有侵袭的证据。我们查阅了患者的病历,发现该肿块已存在17年。通过右胸切开术实现了完整切除,组织病理学检查证实为恶性SFTP。

https://cdn.ncbi.nlm.nih.gov/pmc/blobs/fd26/4078939/633eb7d33465/1749-8090-9-113-1.jpg

文献AI研究员

20分钟写一篇综述,助力文献阅读效率提升50倍。

立即体验

用中文搜PubMed

大模型驱动的PubMed中文搜索引擎

马上搜索

文档翻译

学术文献翻译模型,支持多种主流文档格式。

立即体验