Suppr超能文献

特立尼达和多巴哥因吸食胶水、油漆稀释剂和汽油导致的脑病和神经病变——磁共振成像结果

Encephalopathy and Neuropathy due to Glue, Paint Thinner, and Gasoline Sniffing in Trinidad and Tobago-MRI Findings.

作者信息

Ramcharan Kanterpersad, Ramesar Amrit, Ramdath Moshanti, Teelucksingh Joel, Gosein Maria

机构信息

Neurology Unit and Department of Medicine, San Fernando Teaching Hospital, University of the West Indies, San Fernando, Trinidad and Tobago.

Department of Radiology, Port of Spain General Hospital, Port of Spain, Trinidad and Tobago.

出版信息

Case Rep Neurol Med. 2014;2014:850109. doi: 10.1155/2014/850109. Epub 2014 Jun 18.

Abstract

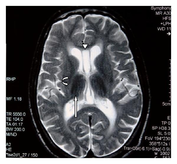
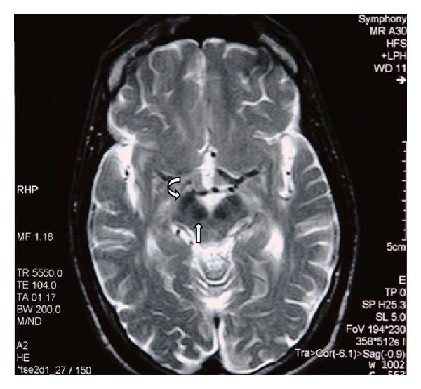
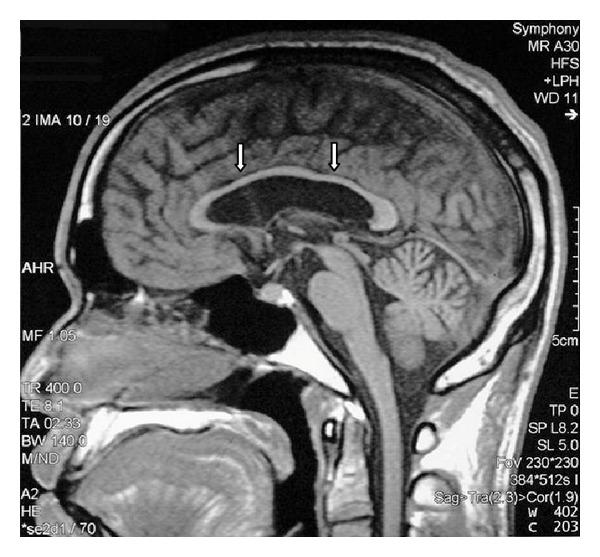
A 29-year-old male petrol station pump attendant was admitted with ataxia and clinical evidence of a sensorimotor polyneuropathy which developed over the preceding 3 months. He had cognitive dysfunction, hearing loss, and cerebellar clinical abnormalities that came on slowly over the three years. He had a fifteen-year history of sniffing mostly glue, occasionally paint thinners, and, in the recent two years, gasoline. Magnetic resonance brain imaging showed abnormalities of the cerebral cortex, cerebral white matter, corpus callosum, hippocampus, brainstem and cerebellar atrophy, hypointensities of basal ganglia, red nuclei, and substantia nigra as previously described in toluene sniffing. Abstinence for six months led to partial clinical improvement. Clinicians need to be aware of this preventable entity which has peculiar radiological findings which are being increasingly accepted as typical.

摘要

一名29岁的男性加油站油泵服务员因共济失调以及在前3个月内出现的感觉运动性多神经病的临床证据而入院。他有认知功能障碍、听力丧失和小脑临床异常,这些症状在3年里逐渐出现。他有15年的吸入史,主要是胶水,偶尔是油漆稀释剂,近两年来还吸入汽油。磁共振脑成像显示大脑皮质、脑白质、胼胝体、海马体、脑干和小脑萎缩,基底神经节、红核和黑质低信号,正如先前在甲苯吸入中所描述的那样。禁欲6个月导致临床症状部分改善。临床医生需要意识到这种可预防的疾病,它有独特的放射学表现,并且越来越被认为是典型的。

https://cdn.ncbi.nlm.nih.gov/pmc/blobs/adfb/4087279/d5ea43a56e10/CRINM2014-850109.001.jpg

文献AI研究员

20分钟写一篇综述,助力文献阅读效率提升50倍。

立即体验

用中文搜PubMed

大模型驱动的PubMed中文搜索引擎

马上搜索

文档翻译

学术文献翻译模型,支持多种主流文档格式。

立即体验