Suppr超能文献

羊膜上皮细胞的成骨分化:脉冲电磁场与生化刺激的协同作用

Osteogenic differentiation of amniotic epithelial cells: synergism of pulsed electromagnetic field and biochemical stimuli.

作者信息

Wang Qian, Wu Wenchao, Han Xiaoyu, Zheng Ai, Lei Song, Wu Jiang, Chen Huaiqing, He Chengqi, Luo Fengming, Liu Xiaojing

机构信息

Center of Rehabilitation Medicine, West China Hospital, Sichuan University, Chengdu, Sichuan, P, R, China.

出版信息

BMC Musculoskelet Disord. 2014 Aug 11;15:271. doi: 10.1186/1471-2474-15-271.

Abstract

BACKGROUND

Pulsed electromagnetic field (PEMF) is a non-invasive physical therapy used in the treatment of fracture nonunion or delayed healing. PEMF can facilitate the osteogenic differentiation of bone marrow mesenchymal stem cells in vitro. Amniotic epithelial cells (AECs) have been proposed as a potential source of stem cells for cell therapy. However, whether PEMF could modulate the osteogenic differentiation of AECs is unknown. In the present study, the effects of PEMF on the osteogenic differentiation of AECs were investigated.

METHODS

AECs were isolated from amniotic membrane of human placenta by trypsin digestion and were induced by PEMF and/or osteo-induction medium. After 21 days we used real time RT-PCR and immunocytochemistry to study the expression of osteoblast markers. The signal transduction of osteogenesis was further investigated.

RESULTS

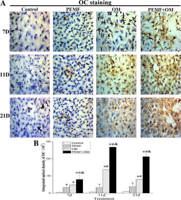
The PEMF stimulation, or osteo-induction medium alone could induce osteogenic differentiation of AECs, as shown by expression of osteoblast specific genes and proteins including alkaline phosphatase and osteocalcin. Furthermore, a combination of PEMF and osteo-induction medium had synergy effects on osteogenic differentiation. In our study, the gene expression of BMP-2, Runx2, β-catenin, Nrf2, Keap1 and integrinβ1 were up-regulated in the osteogenic differentiation of AECs induced by PEMF and/or osteo-induction medium.

CONCLUSIONS

Combined application of PEMF and osteo-induction medium is synergistic for the osteogenic differentiation of AECs. It might be a novel approach in the bone regenerative medicine.

摘要

背景

脉冲电磁场(PEMF)是一种用于治疗骨折不愈合或延迟愈合的非侵入性物理疗法。PEMF在体外可促进骨髓间充质干细胞的成骨分化。羊膜上皮细胞(AECs)已被认为是细胞治疗中干细胞的潜在来源。然而,PEMF是否能调节AECs的成骨分化尚不清楚。在本研究中,我们调查了PEMF对AECs成骨分化的影响。

方法

通过胰蛋白酶消化从人胎盘羊膜中分离出AECs,并分别用PEMF和/或成骨诱导培养基诱导。21天后,我们使用实时RT-PCR和免疫细胞化学研究成骨细胞标志物的表达。进一步研究了成骨的信号转导。

结果

PEMF刺激或单独的成骨诱导培养基均可诱导AECs的成骨分化,这可通过成骨细胞特异性基因和蛋白质(包括碱性磷酸酶和骨钙素)的表达来证明。此外,PEMF与成骨诱导培养基联合使用对成骨分化具有协同作用。在我们的研究中,BMP-2、Runx2、β-连环蛋白、Nrf2、Keap1和整合素β1的基因表达在PEMF和/或成骨诱导培养基诱导的AECs成骨分化中上调。

结论

PEMF与成骨诱导培养基联合应用对AECs的成骨分化具有协同作用。这可能是骨再生医学中的一种新方法。

https://cdn.ncbi.nlm.nih.gov/pmc/blobs/c8ef/4267405/28265f15f7c3/12891_2014_2313_Fig1_HTML.jpg

文献AI研究员

20分钟写一篇综述,助力文献阅读效率提升50倍。

立即体验

用中文搜PubMed

大模型驱动的PubMed中文搜索引擎

马上搜索

文档翻译

学术文献翻译模型,支持多种主流文档格式。

立即体验