Suppr超能文献

通过多能性因子表达揭示的狨猴原始生殖细胞发育:胚胎生殖细胞易位新模型的提示

Primordial germ cell development in the marmoset monkey as revealed by pluripotency factor expression: suggestion of a novel model of embryonic germ cell translocation.

作者信息

Aeckerle N, Drummer C, Debowski K, Viebahn C, Behr R

机构信息

Stem Cell Biology Unit, German Primate Center - Leibniz Institute for Primate Research, Kellnerweg 4, 37077 Göttingen, Germany.

Department of Anatomy and Embryology, Center of Anatomy, University of Göttingen, Kreuzbergring 36, 37075 Göttingen, Germany.

出版信息

Mol Hum Reprod. 2015 Jan;21(1):66-80. doi: 10.1093/molehr/gau088. Epub 2014 Sep 18.

Abstract

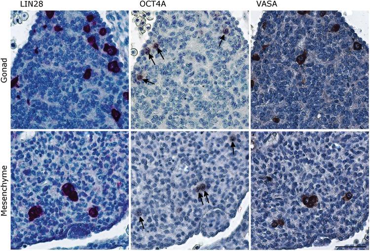
Primordial germ cells (PGCs) are the embryonic progenitors of sperm and egg cells. Mammalian PGCs are thought to actively migrate from the yolk sac endoderm over long distances across the embryo to reach the somatic genital ridges. The general principles of mammalian PGC development were discovered in mice. In contrast, little is known about PGC development in primates due to extremely limited access to primate embryos. Here, we analyzed 12 well preserved marmoset monkey (Callithrix jacchus) embryos covering the phase from PGC emergence in the endoderm to the formation of the sexually differentiated gonad (embryonic day (E) 50 to E95). We show using immunohistochemistry that the pluripotency factors OCT4A and NANOG specifically mark PGCs throughout the period studied. In contrast, SALL4 and LIN28 were first expressed ubiquitously and only later down-regulated in somatic tissues. We further show, for the first time, that PGCs are located in the endoderm in E50 embryos in close spatial proximity to the prospective genital ridge, making a long-range migration of PGCs dispensable. At E65, PGCs are already present in the primitive gonad, while significantly later embryonic stages still exhibit PGCs at their original endodermal site, revealing a wide spatio-temporal window of PGC distribution. Our findings challenge the 'dogma' of active long-range PGC migration from the endoderm to the gonads. We therefore favor an alternative model based primarily on passive translocation of PGCs from the mesenchyme that surrounds the gut to the prospective gonad through the intercalar expansion of mesenchymal tissue which contains the PGCs. In summary, we (i) show differential pluripotency factor expression during primate embryo development and (ii) provide a schematic model for embryonic PGC translocation.

摘要

原始生殖细胞(PGCs)是精子和卵细胞的胚胎前体细胞。哺乳动物的原始生殖细胞被认为会从卵黄囊内胚层远距离地主动迁移,穿过胚胎到达体生殖嵴。哺乳动物原始生殖细胞发育的一般原则是在小鼠中发现的。相比之下,由于获取灵长类胚胎极其有限,人们对灵长类动物原始生殖细胞的发育了解甚少。在这里,我们分析了12个保存完好的狨猴(Callithrix jacchus)胚胎,涵盖了从内胚层中原始生殖细胞出现到性分化性腺形成的阶段(胚胎第(E)50天至E95天)。我们通过免疫组织化学显示,多能性因子OCT4A和NANOG在整个研究期间特异性标记原始生殖细胞。相比之下,SALL4和LIN28最初在所有组织中表达,随后才在体细胞组织中下调。我们还首次表明,在E50胚胎中,原始生殖细胞位于内胚层,与预期的生殖嵴在空间上紧密相邻,使得原始生殖细胞无需进行远距离迁移。在E65时,原始生殖细胞已存在于原始性腺中,而在显著更晚的胚胎阶段,原始生殖细胞仍在其原始内胚层位置出现,揭示了原始生殖细胞分布的广泛时空窗口。我们的发现挑战了原始生殖细胞从内胚层到性腺进行主动远距离迁移的“教条”。因此,我们支持一种替代模型,该模型主要基于原始生殖细胞通过包含原始生殖细胞的间充质组织的插入扩展,从围绕肠道的间充质被动转移到预期的性腺。总之,我们(i)展示了灵长类胚胎发育过程中多能性因子的差异表达,(ii)提供了一个胚胎原始生殖细胞转移的示意图模型。

https://cdn.ncbi.nlm.nih.gov/pmc/blobs/6291/4275041/976324e6a5a9/gau08801.jpg

文献AI研究员

20分钟写一篇综述,助力文献阅读效率提升50倍。

立即体验

用中文搜PubMed

大模型驱动的PubMed中文搜索引擎

马上搜索

文档翻译

学术文献翻译模型,支持多种主流文档格式。

立即体验