Suppr超能文献

刺果番荔枝叶通过Hsp70/Bax参与对大鼠乙醇诱导的胃损伤的胃保护活性。

Gastroprotective activity of Annona muricata leaves against ethanol-induced gastric injury in rats via Hsp70/Bax involvement.

作者信息

Moghadamtousi Soheil Zorofchian, Rouhollahi Elham, Karimian Hamed, Fadaeinasab Mehran, Abdulla Mahmood Ameen, Kadir Habsah Abdul

机构信息

Biomolecular Research Group, Biochemistry Program, Institute of Biological Sciences, Faculty of Science, University of Malaya, Kuala Lumpur, Malaysia.

Department of Biomedical Science, Faculty of Medicine, University of Malaya, Kuala Lumpur, Malaysia.

出版信息

Drug Des Devel Ther. 2014 Oct 28;8:2099-110. doi: 10.2147/DDDT.S70096. eCollection 2014.

Abstract

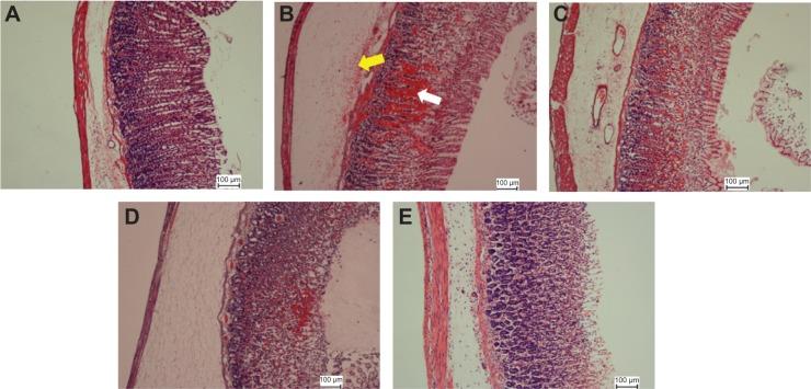
The popular fruit tree of Annona muricata L. (Annonaceae), known as soursop and graviola, is a widely distributed plant in Central and South America and tropical countries. Leaves of A. muricata have been reported to possess antioxidant and anti-inflammatory activities. In this study, the gastroprotective effects of ethyl acetate extract of A. muricata leaves (EEAM) were investigated against ethanol-induced gastric injury models in rats. The acute toxicity test of EEAM in rats, carried out in two doses of 1 g/kg and 2 g/kg, showed the safety of this plant, even at the highest dose of 2 g/kg. The antiulcer study in rats (five groups, n=6) was performed with two doses of EEAM (200 mg/kg and 400 mg/kg) and with omeprazole (20 mg/kg), as a standard antiulcer drug. Gross and histological features showed the antiulcerogenic characterizations of EEAM. There was significant suppression on the ulcer lesion index of rats pretreated with EEAM, which was comparable to the omeprazole effect in the omeprazole control group. Oral administration of EEAM to rats caused a significant increase in the level of nitric oxide and antioxidant activities, including catalase, glutathione, and superoxide dismutase associated with attenuation in gastric acidity, and compensatory effect on the loss of gastric wall mucus. In addition, pretreatment of rats with EEAM caused significant reduction in the level of malondialdehyde, as a marker for oxidative stress, associated with an increase in prostaglandin E2 activity. Immunohistochemical staining also demonstrated that EEAM induced the downregulation of Bax and upregulation of Hsp70 proteins after pretreatment. Collectively, the present results suggest that EEAM has a promising antiulcer potential, which could be attributed to its suppressive effect against oxidative damage and preservative effect toward gastric wall mucus.

摘要

番荔枝科的番荔枝(Annona muricata L.)是一种广受欢迎的果树,被称为刺果番荔枝和巴西番荔枝,是一种广泛分布于中美洲、南美洲和热带国家的植物。据报道,番荔枝的叶子具有抗氧化和抗炎活性。在本研究中,研究了番荔枝叶乙酸乙酯提取物(EEAM)对乙醇诱导的大鼠胃损伤模型的胃保护作用。在大鼠中对EEAM进行了1 g/kg和2 g/kg两个剂量的急性毒性试验,结果表明该植物即使在最高剂量2 g/kg时也是安全的。对大鼠(五组,n = 6)进行抗溃疡研究,使用了两个剂量的EEAM(200 mg/kg和400 mg/kg)以及作为标准抗溃疡药物的奥美拉唑(20 mg/kg)。大体和组织学特征显示了EEAM的抗溃疡特性。用EEAM预处理的大鼠溃疡病变指数有显著抑制,这与奥美拉唑对照组中奥美拉唑的效果相当。给大鼠口服EEAM导致一氧化氮水平和抗氧化活性显著增加,包括过氧化氢酶、谷胱甘肽和超氧化物歧化酶,同时胃酸度降低,对胃壁黏液损失有补偿作用。此外,用EEAM预处理大鼠导致丙二醛水平显著降低,丙二醛是氧化应激的标志物,同时前列腺素E2活性增加。免疫组织化学染色还表明,预处理后EEAM诱导Bax蛋白下调和Hsp70蛋白上调。总体而言,目前的结果表明EEAM具有有前景的抗溃疡潜力,这可能归因于其对氧化损伤的抑制作用和对胃壁黏液的保护作用。

https://cdn.ncbi.nlm.nih.gov/pmc/blobs/427a/4218895/5c4b6f1e1700/dddt-8-2099Fig1.jpg

文献AI研究员

20分钟写一篇综述,助力文献阅读效率提升50倍。

立即体验

用中文搜PubMed

大模型驱动的PubMed中文搜索引擎

马上搜索

文档翻译

学术文献翻译模型,支持多种主流文档格式。

立即体验