Suppr超能文献

假黄皮叶提取物对乙醇诱导的胃溃疡的预防作用

Prophylactic effects of Clausena excavata Burum. f. leaf extract in ethanol-induced gastric ulcers.

作者信息

Albaayit Shaymaa Fadhel Abbas, Abba Yusuf, Abdullah Rasedee, Abdullah Noorlidah

机构信息

Faculty of Science, Institute of Biological Sciences, University of Malaya, Kuala Lumpur, Malaysia; Department of Biology, College of Science, University of Baghdad, Baghdad, Iraq.

Department of Veterinary Pathology and Microbiology, Faculty of Veterinary Medicine, Universiti Putra Malaysia, Serdang, Selangor, Malaysia.

出版信息

Drug Des Devel Ther. 2016 Jun 15;10:1973-86. doi: 10.2147/DDDT.S103993. eCollection 2016.

Abstract

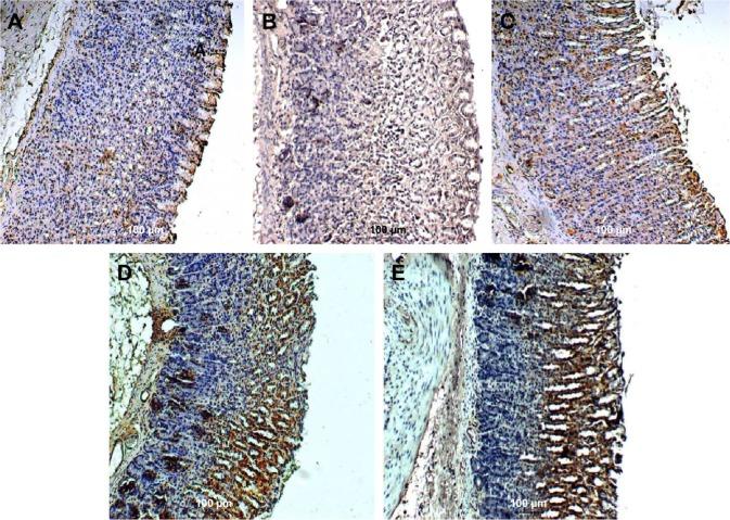
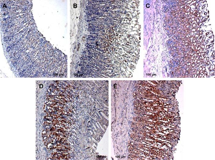
Clausena excavata is a natural herb with both antioxidant and anti-inflammatory properties. It has been used for decades in folkloric practice for the amelioration of various ailments. In this study, the gastroprotective activity of methanolic extract of C. excavata leaves (MECE) was determined in the Sprague Dawley rat ethanol-induced gastric ulcer model. Rats were pretreated with a single dose of vehicle (5% Tween 20), 20 mg/mL omeprazole, 400 and 200 mg/mL of MECE dissolved in 5% Tween 20. Ulcer was induced with 5 mL/kg of ethanol and stomach tissue was obtained after 1 hour. Histological examination was done on hematoxylin and eosin, periodic acid-Schiff, and immunochemically stained gastric mucosal tissues. Prostaglandin E2, superoxide dismutase, catalase, glutathione peroxidase, and lipid peroxidation levels of the gastric tissue homogenates were also determined. Significantly (P<0.05) smaller ulcer areas, less intense edema, and fewer leukocytes' infiltration were observed in MECE- and omeprazole-treated than in untreated gastric mucosa with ulcer. The gastric pH, mucus production, superoxide dismutase, catalase, and glutathione peroxidase contents increased, while the lipid peroxidation content decreased as a result of MECE treatment. Bcl-2-associated X protein was underexpressed, while heat shock protein 70 and transforming growth factor-beta protein were overexpressed in the ulcerated gastric mucosa tissues treated with omeprazole and MECE. Similarly, there was a reduction in the levels of tumor necrotic factor-alpha and interleukin-6, while the level of interleukin-10 was increased. This study showed that the gastroprotective effect of MECE is achieved through inhibition of gastric juice secretion and ulcer lesion development, stimulation of mucus secretion, elevation of gastric pH, reduction of reactive oxygen species production, inhibition of apoptosis in the gastric mucosa, and modulation of inflammatory cytokines.

摘要

假黄皮是一种具有抗氧化和抗炎特性的天然草药。在民间实践中,它已被用于改善各种疾病数十年。在本研究中,在Sprague Dawley大鼠乙醇诱导的胃溃疡模型中测定了假黄皮叶甲醇提取物(MECE)的胃保护活性。大鼠分别用单剂量的赋形剂(5%吐温20)、20 mg/mL奥美拉唑、400和200 mg/mL溶解于5%吐温20中的MECE进行预处理。用5 mL/kg乙醇诱导溃疡,1小时后获取胃组织。对苏木精和伊红染色、过碘酸-希夫染色以及免疫化学染色的胃黏膜组织进行组织学检查。还测定了胃组织匀浆中前列腺素E2、超氧化物歧化酶、过氧化氢酶、谷胱甘肽过氧化物酶和脂质过氧化水平。与未治疗的溃疡胃黏膜相比,MECE和奥美拉唑治疗组的溃疡面积显著更小(P<0.05)、水肿程度更轻、白细胞浸润更少。MECE治疗后,胃pH值、黏液分泌、超氧化物歧化酶、过氧化氢酶和谷胱甘肽过氧化物酶含量增加,而脂质过氧化含量降低。在奥美拉唑和MECE治疗的溃疡胃黏膜组织中,Bcl-2相关X蛋白表达下调,而热休克蛋白70和转化生长因子-β蛋白表达上调。同样,肿瘤坏死因子-α和白细胞介素-6水平降低,而白细胞介素-10水平升高。本研究表明,MECE的胃保护作用是通过抑制胃液分泌和溃疡病变发展、刺激黏液分泌、提高胃pH值、减少活性氧产生、抑制胃黏膜细胞凋亡以及调节炎性细胞因子来实现的。

https://cdn.ncbi.nlm.nih.gov/pmc/blobs/e2bc/4914073/c4f1492239e7/dddt-10-1973Fig1.jpg

文献检索

告别复杂PubMed语法,用中文像聊天一样搜索,搜遍4000万医学文献。AI智能推荐,让科研检索更轻松。

立即免费搜索

文件翻译

保留排版,准确专业,支持PDF/Word/PPT等文件格式,支持 12+语言互译。

免费翻译文档

深度研究

AI帮你快速写综述,25分钟生成高质量综述,智能提取关键信息,辅助科研写作。

立即免费体验