Rao Lei, Ma Yi, Zhuang Manjiao, Luo Tianjie, Wang Yayu, Hong An
Department of Cell Biology, Guangdong Province Key Lab of Bioengineering Medicine, National Engineering Research Center of Gene Engineering Medicine, Institute of Biological Medicine, Jinan University, Guangzhou, People's Republic of China.
Int J Nanomedicine. 2014 Oct 17;9:4819-28. doi: 10.2147/IJN.S67871. eCollection 2014.
As a potential protein therapeutic for type 2 diabetes mellitus (T2DM), BAY 55-9837 is limited by poor stability and a very short half-life in vivo. The purpose of this study was to construct a novel nanostructured biomaterial by conjugating BAY 55-9837 to chitosan-decorated selenium nanoparticles (CS-SeNPs) to prolong the in vivo half-life of BAY 55-9837 by reducing its renal clearance rate.
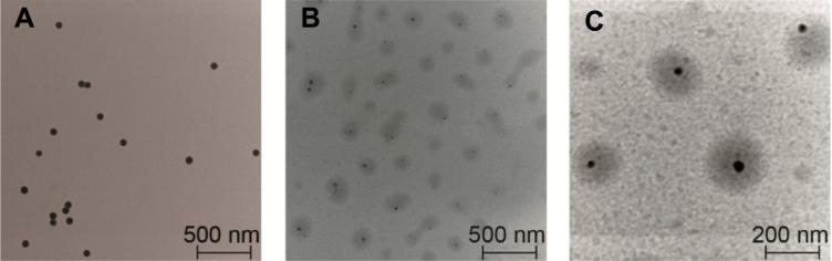
BAY 55-9837-loaded CS-SeNPs (BAY-CS-SeNPs) were prepared, and their surface morphology, particle size, zeta potential, and structure were characterized. The stability, protein-loading rate, and in vitro release of BAY 55-9837 from CS-SeNPs were also quantified. Additionally, a sensitive high-performance liquid chromatography (HPLC) assay was developed for the quantification of BAY 55-9837 in mouse plasma. Thereafter, mice were injected via the tail vein with either BAY 55-9837 or BAY-CS-SeNPs, and the plasma concentration of BAY 55-9837 was determined via our validated HPLC method at different time intervals postinjection. Relevant in vivo pharmacokinetic parameters (half-life, area under the curve from time 0 to last sampling point, observed clearance) were then calculated and analyzed.
BAY-CS-SeNPs were successfully synthesized, with diameters of approximately 200 nm. BAY-CS-SeNPs displayed good stability with a high protein-loading rate, and the release process of BAY 55-9837 from the CS-SeNPs lasted for over 70 hours, with the cumulative release reaching 78.9%. Moreover, the conjugation of CS-SeNPs to BAY 55-9837 significantly reduced its renal clearance to a rate of 1.56 mL/h and extended its half-life to 20.81 hours.
In summary, our work provides a simple method for reducing the renal clearance rate and extending the half-life of BAY 55-9837 in vivo by utilizing CS-SeNPs as nanocarriers.
作为一种潜在的2型糖尿病(T2DM)蛋白治疗药物,BAY 55 - 9837受限于稳定性差和体内半衰期极短。本研究的目的是通过将BAY 55 - 9837与壳聚糖修饰的硒纳米颗粒(CS - SeNPs)偶联来构建一种新型纳米结构生物材料,以通过降低其肾清除率来延长BAY 55 - 9837的体内半衰期。
制备了负载BAY 55 - 9837的CS - SeNPs(BAY - CS - SeNPs),并对其表面形态、粒径、zeta电位和结构进行了表征。还对BAY 55 - 9837从CS - SeNPs的稳定性、蛋白负载率和体外释放进行了定量。此外,开发了一种灵敏的高效液相色谱(HPLC)测定法用于定量小鼠血浆中的BAY 55 - 9837。此后,通过尾静脉给小鼠注射BAY 55 - 9837或BAY - CS - SeNPs,并在注射后的不同时间间隔通过我们验证的HPLC方法测定BAY 55 - 9837的血浆浓度。然后计算并分析相关的体内药代动力学参数(半衰期、从时间0到最后一个采样点的曲线下面积、观察到的清除率)。
成功合成了直径约为200 nm的BAY - CS - SeNPs。BAY - CS - SeNPs表现出良好的稳定性和高蛋白负载率,BAY 55 - 9837从CS - SeNPs的释放过程持续超过70小时,累积释放率达到78.9%。此外,CS - SeNPs与BAY 55 - 9837的偶联显著降低了其肾清除率,降至1.56 mL/h,并将其半衰期延长至20.81小时。
总之,我们的工作提供了一种简单的方法,通过利用CS - SeNPs作为纳米载体来降低BAY 55 - 9837的肾清除率并延长其体内半衰期。