Suppr超能文献

眼部超声作为一种易于应用的工具,用于检测动脉瘤性蛛网膜下腔出血后的Terson综合征。

Ocular ultrasound as an easy applicable tool for detection of Terson's syndrome after aneurysmal subarachnoid hemorrhage.

作者信息

Czorlich Patrick, Burkhardt Till, Knospe Volker, Richard Gisbert, Vettorazzi Eik, Wagenfeld Lars, Westphal Manfred, Regelsberger Jan, Skevas Christos

机构信息

Department of Neurosurgery, University Medical Center Hamburg-Eppendorf, Hamburg, Germany.

Department of Ophthalmology, University Medical Center Hamburg-Eppendorf, Hamburg, Germany.

出版信息

PLoS One. 2014 Dec 11;9(12):e114907. doi: 10.1371/journal.pone.0114907. eCollection 2014.

Abstract

INTRODUCTION

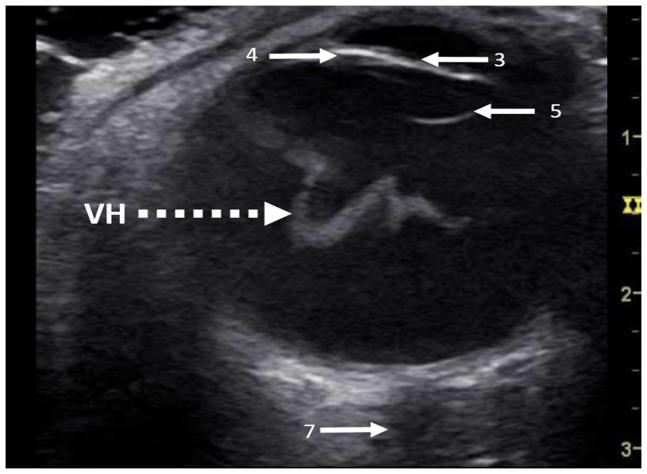
Intraocular hemorrhage in patients suffering from aneurysmal subarachnoid hemorrhage is known as Terson's syndrome and is an underestimated but common pathology. We therefore designed a prospective single-blinded study to evaluate the validity of ocular ultrasound compared to the gold standard indirect funduscopy in the diagnosis of Terson's syndrome.

MATERIAL AND METHODS

Fifty-two patients (104 eyes in total) suffering from aneurysmal subarachnoid hemorrhage were enrolled in this study. Two investigators independently performed a single-blinded ocular ultrasound using a standard intensive care ultrasound system to detect an intraocular hemorrhage. Indirect funduscopy following iatrogenic mydriasis served as the gold standard for confirmation or exclusion of an intraocular hemorrhage. Statistical analyses were performed to evaluate the sensitivity and specificity, positive and negative predictive values of the method as well as the learning curve of ocular ultrasound.

RESULTS

Indirect funduscopy detected Terson's syndrome in 11 of 52 (21.2%) respectively in 21 of 104 (20.2%) eyes in patients suffering from subarachnoid hemorrhage. Sensitivity and specificity increased with the number of ocular ultrasound examinations for both investigators, reaching 81.8% and 100% respectively. Positive and negative predictive values were different for both investigators (63.6% vs. 100% positive and 100% vs. 95.7% negative) but were both correlated to the amount of intraocular hemorrhage. A low Glasgow Coma scale (p = 0.015) and high Hunt & Hess grade (p = 0.003) was associated with a higher rate of Terson's syndrome.

CONCLUSIONS

Ocular ultrasound using standard ultrasound equipment has been confirmed as a reliable, easy-to-handle bedside screening tool for detecting Terson's syndrome. Nevertheless funduscopy remains the gold standard to detect Terson's syndrome.

摘要

引言

动脉瘤性蛛网膜下腔出血患者发生的眼内出血被称为泰森综合征,这是一种未得到充分重视但常见的病理情况。因此,我们设计了一项前瞻性单盲研究,以评估与金标准间接检眼镜相比,眼部超声在诊断泰森综合征方面的有效性。

材料与方法

本研究纳入了52例动脉瘤性蛛网膜下腔出血患者(共104只眼)。两名研究者使用标准重症监护超声系统独立进行单盲眼部超声检查,以检测眼内出血。医源性散瞳后的间接检眼镜检查作为确认或排除眼内出血的金标准。进行统计分析以评估该方法的敏感性和特异性、阳性和阴性预测值以及眼部超声的学习曲线。

结果

间接检眼镜在52例蛛网膜下腔出血患者中分别检测到11例(21.2%)泰森综合征,在104只眼中检测到21例(20.2%)。两名研究者的眼部超声检查敏感性和特异性均随着检查次数的增加而提高,分别达到81.8%和100%。两名研究者的阳性和阴性预测值不同(阳性分别为63.6%对100%,阴性分别为100%对95.7%),但均与眼内出血量相关。低格拉斯哥昏迷量表评分(p = 0.015)和高Hunt & Hess分级(p = 0.003)与泰森综合征的发生率较高相关。

结论

使用标准超声设备进行的眼部超声已被确认为一种可靠、易于操作的床边筛查工具,用于检测泰森综合征。然而,检眼镜检查仍然是检测泰森综合征的金标准。

https://cdn.ncbi.nlm.nih.gov/pmc/blobs/73fd/4263478/022bbb065299/pone.0114907.g001.jpg

文献AI研究员

20分钟写一篇综述,助力文献阅读效率提升50倍。

立即体验

用中文搜PubMed

大模型驱动的PubMed中文搜索引擎

马上搜索

文档翻译

学术文献翻译模型,支持多种主流文档格式。

立即体验