Suppr超能文献

基质金属蛋白酶-9在人胃癌中的表达水平

Expression levels of matrix metalloproteinase-9 in human gastric carcinoma.

作者信息

Chen Su-Zuan, Yao Huai-Qi, Zhu Sen-Zhi, Li Qiu-Yuan, Guo Guang-Hua, Yu Jing

机构信息

Department of Gastroenterology, The First Affiliated Hospital, Shantou University Medical College, Shantou, Guangdong 515041, P.R. China.

出版信息

Oncol Lett. 2015 Feb;9(2):915-919. doi: 10.3892/ol.2014.2768. Epub 2014 Dec 4.

Abstract

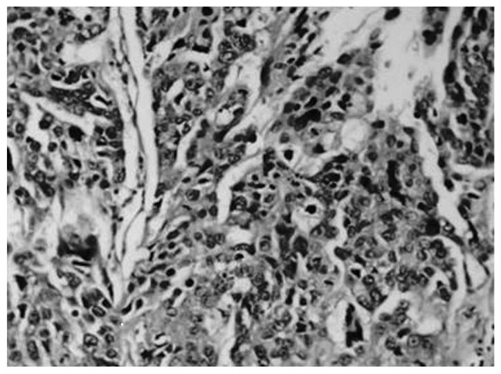
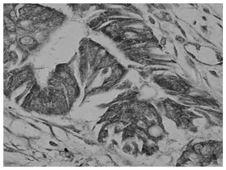
The present report investigated the correlation between the expression levels of matrix metalloproteinase (MMP)-9 in gastric carcinoma patients and the clinicopathological characteristics. Forty-five samples of gastric carcinoma and distal gastric mucosa tissue, and 10 samples of healthy gastric mucosa tissue were analyzed using semi-quantitative polymerase chain reaction, as well as immunohistochemical and hematoxylin and eosin staining. MMP-9 protein levels in serum samples from the same patients were quantified by enzyme-linked immunosorbent assay. The present report identified that MMP-9 expression was markedly higher in the gastric carcinoma tissue (86.67%) than in the adjacent healthy tissue (10.00%). A positive association was identified between the level of MMP-9 protein expression and the depth of cancer invasion (P<0.05). Furthermore, the preoperative serum levels of the MMP-9 protein in the gastric carcinoma tissue were correlated with the tumor-node-metastasis stage and occurrence of lymph node metastasis (P<0.01). Data from the present report indicates that MMP-9 may be key in gastric carcinoma malignancy, and implies that MMP-9 may serve as a novel biomarker in the diagnosis and prognosis of gastric carcinoma.

摘要

本报告研究了胃癌患者基质金属蛋白酶(MMP)-9表达水平与临床病理特征之间的相关性。采用半定量聚合酶链反应、免疫组织化学及苏木精-伊红染色法,对45份胃癌及远端胃黏膜组织样本和10份健康胃黏膜组织样本进行了分析。通过酶联免疫吸附测定法定量检测同一患者血清样本中MMP-9蛋白水平。本报告发现,MMP-9在胃癌组织中的表达(86.67%)明显高于相邻健康组织(10.00%)。MMP-9蛋白表达水平与癌症浸润深度呈正相关(P<0.05)。此外,胃癌组织中MMP-9蛋白的术前血清水平与肿瘤-淋巴结-转移分期及淋巴结转移的发生相关(P<0.01)。本报告的数据表明,MMP-9可能在胃癌恶性肿瘤中起关键作用,这意味着MMP-9可能作为胃癌诊断和预后的一种新型生物标志物。

https://cdn.ncbi.nlm.nih.gov/pmc/blobs/9726/4301519/5514f48a55a3/OL-09-02-0915-g00.jpg

文献AI研究员

20分钟写一篇综述,助力文献阅读效率提升50倍。

立即体验

用中文搜PubMed

大模型驱动的PubMed中文搜索引擎

马上搜索

文档翻译

学术文献翻译模型,支持多种主流文档格式。

立即体验