• 文献检索
  • 文档翻译
  • 深度研究
  • 学术资讯
  • Suppr Zotero 插件Zotero 插件
  • 邀请有礼
  • 套餐&价格
  • 历史记录
应用&插件
Suppr Zotero 插件Zotero 插件浏览器插件Mac 客户端Windows 客户端微信小程序
定价
高级版会员购买积分包购买API积分包
服务
文献检索文档翻译深度研究API 文档MCP 服务
关于我们
关于 Suppr公司介绍联系我们用户协议隐私条款
关注我们

Suppr 超能文献

核心技术专利:CN118964589B侵权必究
粤ICP备2023148730 号-1Suppr @ 2026

文献检索

告别复杂PubMed语法,用中文像聊天一样搜索,搜遍4000万医学文献。AI智能推荐,让科研检索更轻松。

立即免费搜索

文件翻译

保留排版,准确专业,支持PDF/Word/PPT等文件格式,支持 12+语言互译。

免费翻译文档

深度研究

AI帮你快速写综述,25分钟生成高质量综述,智能提取关键信息,辅助科研写作。

立即免费体验

嗅球和皮质向成年期生成的延髓和海马神经元的投射。

Olfactory and cortical projections to bulbar and hippocampal adult-born neurons.

作者信息

De La Rosa-Prieto Carlos, De Moya-Pinilla Miguel, Saiz-Sanchez Daniel, Ubeda-Banon Isabel, Arzate Dulce M, Flores-Cuadrado Alicia, Liberia Teresa, Crespo Carlos, Martinez-Marcos Alino

机构信息

Neuroplasticity and Neurodegeneration Laboratory, Department of Medical Sciences, Ciudad Real Medical School, El Centro Regional de Investigaciones Biomédicas, Universidad de Castilla-La Mancha Ciudad Real, Spain.

Department of Cellular and Molecular Neurobiology, Neurobiology Institute, Universidad Nacional Autónoma de México Querétaro, México.

出版信息

Front Neuroanat. 2015 Feb 2;9:4. doi: 10.3389/fnana.2015.00004. eCollection 2015.

DOI:10.3389/fnana.2015.00004
PMID:25698936
原文链接:https://pmc.ncbi.nlm.nih.gov/articles/PMC4313705/
Abstract

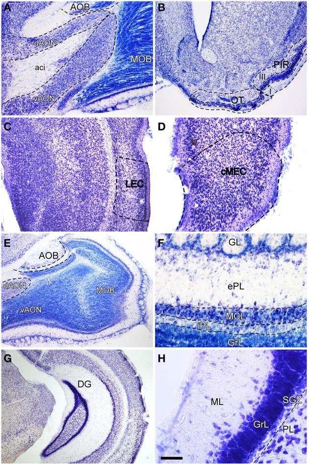
New neurons are continually generated in the subependymal layer of the lateral ventricles and the subgranular zone of dentate gyrus during adulthood. In the subventricular zone, neuroblasts migrate a long distance to the olfactory bulb where they differentiate into granule or periglomerular interneurons. In the hippocampus, neuroblasts migrate a short distance from the subgranular zone to the granule cell layer of the dentate gyrus to become granule neurons. In addition to the short-distance inputs, bulbar interneurons receive long-distance centrifugal afferents from olfactory-recipient structures. Similarly, dentate granule cells receive differential inputs from the medial and lateral entorhinal cortices through the perforant pathway. Little is known concerning these new inputs on the adult-born cells. In this work, we have characterized afferent inputs to 21-day old newly-born neurons. Mice were intraperitoneally injected with bromodeoxyuridine. Two weeks later, rhodamine-labeled dextran-amine was injected into the anterior olfactory nucleus, olfactory tubercle, piriform cortex and lateral and medial entorhinal cortices. One week later, animals were perfused and immunofluorescences were carried out. The data show that projection neurons from the mentioned structures, establish putative synaptic contacts onto 21-day-old neurons in the olfactory bulb and dentate gyrus, in some cases even before they start to express specific subpopulation proteins. Long-distance afferents reach middle and outer one-third portions of the molecular layer of the dentate gyrus and granule and, interestingly, periglomerular layers of the olfactory bulb. In the olfactory bulb, these fibers appear to establish presumptive axo-somatic contacts onto newly-born granule and periglomerular cells.

摘要

在成年期,新的神经元持续在侧脑室的室管膜下层和齿状回的颗粒下区生成。在脑室下区,神经母细胞远距离迁移至嗅球,在那里它们分化为颗粒神经元或球周中间神经元。在海马体中,神经母细胞从颗粒下区短距离迁移至齿状回的颗粒细胞层,成为颗粒神经元。除了短距离输入外,嗅球中间神经元还接收来自嗅觉接收结构的长距离离心传入纤维。同样,齿状颗粒细胞通过穿通通路接收来自内侧和外侧内嗅皮质的不同输入。关于这些对成年新生细胞的新输入知之甚少。在这项研究中,我们对21日龄新生神经元的传入输入进行了表征。给小鼠腹腔注射溴脱氧尿苷。两周后,将罗丹明标记的葡聚糖胺注入前嗅核、嗅结节、梨状皮质以及外侧和内侧内嗅皮质。一周后,对动物进行灌注并进行免疫荧光检测。数据表明,来自上述结构的投射神经元在嗅球和齿状回中与21日龄神经元建立了假定的突触联系,在某些情况下,甚至在它们开始表达特定亚群蛋白之前就已建立联系。长距离传入纤维到达齿状回分子层的中三分之一和外三分之一部分以及颗粒层,有趣的是,也到达嗅球的球周层。在嗅球中,这些纤维似乎在新生的颗粒细胞和球周细胞上建立了推测的轴-体突触联系。

https://cdn.ncbi.nlm.nih.gov/pmc/blobs/7bd2/4313705/ef971734019b/fnana-09-00004-g0007.jpg
https://cdn.ncbi.nlm.nih.gov/pmc/blobs/7bd2/4313705/ecf62a0f10f6/fnana-09-00004-g0001.jpg
https://cdn.ncbi.nlm.nih.gov/pmc/blobs/7bd2/4313705/ce922fac7c79/fnana-09-00004-g0002.jpg
https://cdn.ncbi.nlm.nih.gov/pmc/blobs/7bd2/4313705/525d930c1f80/fnana-09-00004-g0003.jpg
https://cdn.ncbi.nlm.nih.gov/pmc/blobs/7bd2/4313705/7bfb967c7ba8/fnana-09-00004-g0004.jpg
https://cdn.ncbi.nlm.nih.gov/pmc/blobs/7bd2/4313705/65526e2f4672/fnana-09-00004-g0005.jpg
https://cdn.ncbi.nlm.nih.gov/pmc/blobs/7bd2/4313705/46199a54b259/fnana-09-00004-g0006.jpg
https://cdn.ncbi.nlm.nih.gov/pmc/blobs/7bd2/4313705/ef971734019b/fnana-09-00004-g0007.jpg
https://cdn.ncbi.nlm.nih.gov/pmc/blobs/7bd2/4313705/ecf62a0f10f6/fnana-09-00004-g0001.jpg
https://cdn.ncbi.nlm.nih.gov/pmc/blobs/7bd2/4313705/ce922fac7c79/fnana-09-00004-g0002.jpg
https://cdn.ncbi.nlm.nih.gov/pmc/blobs/7bd2/4313705/525d930c1f80/fnana-09-00004-g0003.jpg
https://cdn.ncbi.nlm.nih.gov/pmc/blobs/7bd2/4313705/7bfb967c7ba8/fnana-09-00004-g0004.jpg
https://cdn.ncbi.nlm.nih.gov/pmc/blobs/7bd2/4313705/65526e2f4672/fnana-09-00004-g0005.jpg
https://cdn.ncbi.nlm.nih.gov/pmc/blobs/7bd2/4313705/46199a54b259/fnana-09-00004-g0006.jpg
https://cdn.ncbi.nlm.nih.gov/pmc/blobs/7bd2/4313705/ef971734019b/fnana-09-00004-g0007.jpg

相似文献

1
Olfactory and cortical projections to bulbar and hippocampal adult-born neurons.嗅球和皮质向成年期生成的延髓和海马神经元的投射。
Front Neuroanat. 2015 Feb 2;9:4. doi: 10.3389/fnana.2015.00004. eCollection 2015.
2
Cell death in regenerating populations of neurons in BDNF mutant mice.脑源性神经营养因子(BDNF)突变小鼠神经元再生群体中的细胞死亡。
Brain Res Mol Brain Res. 2000 Jan 10;75(1):61-9. doi: 10.1016/s0169-328x(99)00295-8.
3
Preferential Targeting of Lateral Entorhinal Inputs onto Newly Integrated Granule Cells.外侧内嗅皮层输入优先靶向新整合的颗粒细胞。
J Neurosci. 2018 Jun 27;38(26):5843-5853. doi: 10.1523/JNEUROSCI.1737-17.2018. Epub 2018 May 23.
4
Origin and migration of interneurons of the olfactory bulb in the musk shrew, Suncus murinus.
Arch Histol Cytol. 2002 Jun;65(2):159-68. doi: 10.1679/aohc.65.159.
5
Retrograde monosynaptic tracing reveals the temporal evolution of inputs onto new neurons in the adult dentate gyrus and olfactory bulb.逆行单突触追踪揭示了成年齿状回和嗅球中新神经元的传入的时间演变。
Proc Natl Acad Sci U S A. 2013 Mar 19;110(12):E1152-61. doi: 10.1073/pnas.1218991110. Epub 2013 Mar 4.
6
The organization of centrifugal projections from the anterior olfactory nucleus, ventral hippocampal rudiment, and piriform cortex to the main olfactory bulb in the hamster: an autoradiographic study.仓鼠前嗅核、腹侧海马原基和梨状皮质至主嗅球的离心投射组织:放射自显影研究
J Comp Neurol. 1981 Dec 10;203(3):475-93. doi: 10.1002/cne.902030310.
7
Nitric oxide is a physiological inhibitor of neurogenesis in the adult mouse subventricular zone and olfactory bulb.一氧化氮是成年小鼠脑室下区和嗅球中神经发生的生理抑制剂。
J Neurosci. 2004 Jan 7;24(1):85-95. doi: 10.1523/JNEUROSCI.1574-03.2004.
8
Maturation and death of adult-born olfactory bulb granule neurons: role of olfaction.成年新生嗅球颗粒神经元的成熟与死亡:嗅觉的作用
J Neurosci. 2002 Jul 15;22(14):6106-13. doi: 10.1523/JNEUROSCI.22-14-06106.2002.
9
Physiology of the entorhinal and perirhinal projections to the hippocampus studied by current source density analysis.通过电流源密度分析研究内嗅皮层和嗅周皮层向海马体投射的生理学。
Ann N Y Acad Sci. 2000 Jun;911:55-72. doi: 10.1111/j.1749-6632.2000.tb06719.x.
10
GABAergic basal forebrain afferents innervate selectively GABAergic targets in the main olfactory bulb.GABA 能基底前脑传入纤维选择性地支配主要嗅觉球中的 GABA 能靶标。
Neuroscience. 2010 Oct 27;170(3):913-22. doi: 10.1016/j.neuroscience.2010.07.046. Epub 2010 Aug 3.

引用本文的文献

1
Lateral Thinking: Exploring the Lateral Entorhinal Cortex Projections to the Hippocampus in the Rodent Brain.横向思维:探索啮齿动物大脑中内嗅皮质向海马体的外侧投射
J Comp Neurol. 2025 Jul;533(7):e70069. doi: 10.1002/cne.70069.
2
Olfactory neurogenesis plays different parts at successive stages of life, implications for mental health.嗅觉神经发生在生命的不同阶段发挥不同的作用,对心理健康有影响。
Front Neural Circuits. 2024 Aug 8;18:1467203. doi: 10.3389/fncir.2024.1467203. eCollection 2024.
3
Extrinsic neuromodulation in the rodent olfactory bulb.

本文引用的文献

1
Regulation of adult neurogenesis by GABAergic transmission: signaling beyond GABAA-receptors.GABA 能传递对成体神经发生的调控:GABAA 受体以外的信号转导。
Front Cell Neurosci. 2014 Jun 20;8:166. doi: 10.3389/fncel.2014.00166. eCollection 2014.
2
The functional significance of newly born neurons integrated into olfactory bulb circuits.新生神经元整合到嗅球回路中的功能意义。
Front Neurosci. 2014 May 26;8:121. doi: 10.3389/fnins.2014.00121. eCollection 2014.
3
Dynamics of hippocampal neurogenesis in adult humans.成年人类海马体神经发生的动力学。
啮齿动物嗅球的外在神经调节。
Cell Tissue Res. 2021 Jan;383(1):507-524. doi: 10.1007/s00441-020-03365-9. Epub 2020 Dec 23.
4
α-Synuclein conformational strains spread, seed and target neuronal cells differentially after injection into the olfactory bulb.α-突触核蛋白构象应变在嗅球注射后会扩散,不同程度地影响神经元细胞。
Acta Neuropathol Commun. 2019 Dec 30;7(1):221. doi: 10.1186/s40478-019-0859-3.
5
Pavlovian Olfactory Fear Conditioning: Its Neural Circuity and Importance for Understanding Clinical Fear-Based Disorders.巴甫洛夫嗅觉恐惧条件反射:其神经回路及对理解基于恐惧的临床疾病的重要性。
Front Mol Neurosci. 2019 Sep 19;12:221. doi: 10.3389/fnmol.2019.00221. eCollection 2019.
6
An insular view of the social decision-making network.社会决策网络的孤岛视图。
Neurosci Biobehav Rev. 2019 Aug;103:119-132. doi: 10.1016/j.neubiorev.2019.06.005. Epub 2019 Jun 10.
7
A Quantitative Meta-analysis of Olfactory Dysfunction in Epilepsy.癫痫嗅觉功能障碍的定量荟萃分析。
Neuropsychol Rev. 2019 Sep;29(3):328-337. doi: 10.1007/s11065-019-09406-7. Epub 2019 May 29.
8
Somatostatin Serves a Modulatory Role in the Mouse Olfactory Bulb: Neuroanatomical and Behavioral Evidence.生长抑素在小鼠嗅球中起调节作用:神经解剖学和行为学证据。
Front Behav Neurosci. 2019 Apr 9;13:61. doi: 10.3389/fnbeh.2019.00061. eCollection 2019.
9
The olfactory bulb is a source of high-frequency oscillations (130-180 Hz) associated with a subanesthetic dose of ketamine in rodents.嗅球是高频振荡(130-180Hz)的来源,与啮齿动物亚麻醉剂量的氯胺酮有关。
Neuropsychopharmacology. 2019 Jan;44(2):435-442. doi: 10.1038/s41386-018-0173-y. Epub 2018 Aug 8.
10
Widespread transneuronal propagation of α-synucleinopathy triggered in olfactory bulb mimics prodromal Parkinson's disease.嗅球中引发的α-突触核蛋白病的广泛跨神经元传播模拟前驱帕金森病。
J Exp Med. 2016 Aug 22;213(9):1759-78. doi: 10.1084/jem.20160368. Epub 2016 Aug 8.
Cell. 2013 Jun 6;153(6):1219-1227. doi: 10.1016/j.cell.2013.05.002.
4
The impact of adult neurogenesis on olfactory bulb circuits and computations.成年神经发生对嗅球回路和计算的影响。
Annu Rev Physiol. 2013;75:339-63. doi: 10.1146/annurev-physiol-030212-183731. Epub 2012 Nov 26.
5
Centrifugal telencephalic afferent connections to the main and accessory olfactory bulbs.离心性端脑传入纤维至主、副嗅球的联系。
Front Neuroanat. 2012 May 29;6:19. doi: 10.3389/fnana.2012.00019. eCollection 2012.
6
Development of GABAergic inputs controls the contribution of maturing neurons to the adult hippocampal network.GABA 能输入的发育控制着成熟神经元对成年海马体网络的贡献。
Proc Natl Acad Sci U S A. 2012 Mar 13;109(11):4290-5. doi: 10.1073/pnas.1120754109. Epub 2012 Feb 27.
7
The role of the dorsal and ventral hippocampus in olfactory working memory.背侧和腹侧海马体在嗅觉工作记忆中的作用。
Neurobiol Learn Mem. 2011 Sep;96(2):361-6. doi: 10.1016/j.nlm.2011.06.011. Epub 2011 Jul 1.
8
Could adult hippocampal neurogenesis be relevant for human behavior?成人海马神经发生与人类行为有关吗?
Behav Brain Res. 2012 Feb 14;227(2):384-90. doi: 10.1016/j.bbr.2011.06.024. Epub 2011 Jun 28.
9
From progenitors to integrated neurons: role of neurotransmitters in adult olfactory neurogenesis.从祖细胞到整合神经元:神经递质在成年嗅觉神经发生中的作用。
J Chem Neuroanat. 2011 Dec;42(4):304-16. doi: 10.1016/j.jchemneu.2011.05.006. Epub 2011 May 27.
10
Pattern separation: a common function for new neurons in hippocampus and olfactory bulb.模式分离:海马体和嗅球中新神经元的共同功能。
Neuron. 2011 May 26;70(4):582-8. doi: 10.1016/j.neuron.2011.05.012.