Suppr超能文献

一名患有共济失调-毛细血管扩张症的儿童的多重耐药性酒渣鼻痤疮:异维A酸治疗成功

Multi-drugs resistant acne rosacea in a child affected by Ataxia-Telangiectasia: successful treatment with Isotretinoin.

作者信息

Cantarutti Nicoletta, Claps Alessia, Angelino Giulia, Chessa Luciana, Callea Francesco, El Hachem May, Diociaiuti Andrea, Finocchi Andrea

机构信息

Department of Systems Medicine, University of Rome "Tor Vergata", Unit of Immunology and Infectious Disease, "Bambino Gesù" Childrens Hospital, Via Montpellier 1, 00133, Rome, Italy.

Department of Clinical Molecular Medicine, University "La Sapienza", Rome, Italy.

出版信息

Ital J Pediatr. 2015 Mar 28;41:23. doi: 10.1186/s13052-015-0125-7.

Abstract

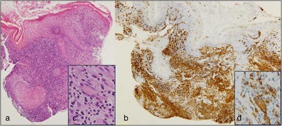
Ataxia-Telangiectasia is a rare multisystem autosomal recessive disorder [OMIM 208900], caused by mutations in Ataxia-Telangiectasia Mutated gene. It is characterized by neurological, immunological and cutaneous involvement. Granulomas have been previously reported in Ataxia-Telangiectasia patients, even if acne rosacea has not been described.We report a case of a young Ataxia-Telangiectasia patient with a severe immunological and neurological involvement, who developed granulomatous skin lesions diagnosed by skin biopsy as acne rosacea. Considering the severe clinical picture and the lack of improvement to multiple topic and systemic therapies, treatment with Isotretinoin was started and the skin lesions disappeared after five months. However the therapy was stopped due to drug-hepatotoxicity.Systemic treatment with Isotretinoin should be carefully considered in patient with Ataxia-Telangiectasia for the treatment of multi-drug resistant acne rosacea, however its toxicity may limit long-term use and the risk/benefit ratio of the treatment should be evaluated.

摘要

共济失调毛细血管扩张症是一种罕见的多系统常染色体隐性疾病[在线人类孟德尔遗传数据库编号208900],由共济失调毛细血管扩张症突变基因的突变引起。其特征为神经、免疫和皮肤受累。此前已有报道称共济失调毛细血管扩张症患者会出现肉芽肿,即便酒渣鼻痤疮尚未被描述过。我们报告了一例年轻的共济失调毛细血管扩张症患者,其有严重的免疫和神经受累情况,出现了肉芽肿性皮肤病变,经皮肤活检诊断为酒渣鼻痤疮。考虑到严重的临床表现以及多种局部和全身治疗均无改善,遂开始使用异维A酸治疗,五个月后皮肤病变消失。然而,由于药物肝毒性,治疗被停止。对于患有共济失调毛细血管扩张症且有多药耐药性酒渣鼻痤疮的患者,应谨慎考虑使用异维A酸进行全身治疗,不过其毒性可能会限制长期使用,且应评估治疗的风险/效益比。

https://cdn.ncbi.nlm.nih.gov/pmc/blobs/07cd/4432829/58017a6bc518/13052_2015_125_Fig1_HTML.jpg

文献AI研究员

20分钟写一篇综述,助力文献阅读效率提升50倍。

立即体验

用中文搜PubMed

大模型驱动的PubMed中文搜索引擎

马上搜索

文档翻译

学术文献翻译模型,支持多种主流文档格式。

立即体验