• 文献检索
  • 文档翻译
  • 深度研究
  • 学术资讯
  • Suppr Zotero 插件Zotero 插件
  • 邀请有礼
  • 套餐&价格
  • 历史记录
应用&插件
Suppr Zotero 插件Zotero 插件浏览器插件Mac 客户端Windows 客户端微信小程序
定价
高级版会员购买积分包购买API积分包
服务
文献检索文档翻译深度研究API 文档MCP 服务
关于我们
关于 Suppr公司介绍联系我们用户协议隐私条款
关注我们

Suppr 超能文献

核心技术专利:CN118964589B侵权必究
粤ICP备2023148730 号-1Suppr @ 2026

文献检索

告别复杂PubMed语法,用中文像聊天一样搜索,搜遍4000万医学文献。AI智能推荐,让科研检索更轻松。

立即免费搜索

文件翻译

保留排版,准确专业,支持PDF/Word/PPT等文件格式,支持 12+语言互译。

免费翻译文档

深度研究

AI帮你快速写综述,25分钟生成高质量综述,智能提取关键信息,辅助科研写作。

立即免费体验

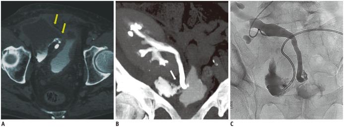
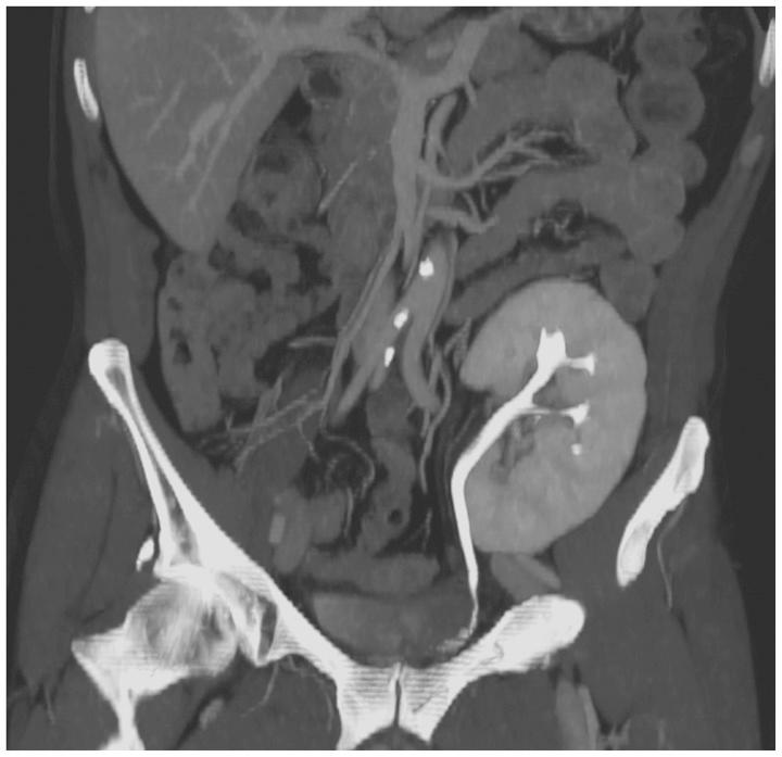
肾移植并发症的介入放射学治疗:图文综述

Interventional radiological treatment of renal transplant complications: a pictorial review.

作者信息

Iezzi Roberto, la Torre Michele Fabio, Santoro Marco, Dattesi Roberta, Nestola Massimiliano, Posa Alessandro, Romagnoli Jacopo, Citterio Franco, Bonomo Lorenzo

机构信息

Department of Radiological Sciences, Institute of Radiology, "A. Gemelli" Hospital - Catholic University, Rome 00168, Italy.

Department of Surgical Science, Renal Transplantation Unit, "A. Gemelli" Hospital - Catholic University, Rome 00168, Italy.

出版信息

Korean J Radiol. 2015 May-Jun;16(3):593-603. doi: 10.3348/kjr.2015.16.3.593. Epub 2015 May 13.

DOI:10.3348/kjr.2015.16.3.593
PMID:25995689
原文链接:https://pmc.ncbi.nlm.nih.gov/articles/PMC4435990/
Abstract

Renal transplantation is the treatment of choice for patients with chronic renal failure, which produces a dramatic improvement in the quality of life and survival rates, in comparison to long-term dialysis. Nowadays, new imaging modalities allow early diagnosis of complications, and thanks to the recent developments of interventional techniques, surgery may be avoided in most cases. Knowledge in the types of renal transplant complications is fundamental for a correct pre-operative planning. In this article, we described the most common or clinically relevant renal transplant complications and explained their interventional management.

摘要

肾移植是慢性肾衰竭患者的首选治疗方法,与长期透析相比,它能显著提高生活质量和生存率。如今,新的成像方式可实现并发症的早期诊断,并且由于介入技术的最新发展,大多数情况下可避免手术。了解肾移植并发症的类型是正确进行术前规划的基础。在本文中,我们描述了最常见或临床上相关的肾移植并发症,并解释了它们的介入治疗方法。

https://cdn.ncbi.nlm.nih.gov/pmc/blobs/c46d/4435990/88864e6ac4b4/kjr-16-593-g014.jpg
https://cdn.ncbi.nlm.nih.gov/pmc/blobs/c46d/4435990/92ee1da2e3f8/kjr-16-593-g001.jpg
https://cdn.ncbi.nlm.nih.gov/pmc/blobs/c46d/4435990/012e86a55b2b/kjr-16-593-g002.jpg
https://cdn.ncbi.nlm.nih.gov/pmc/blobs/c46d/4435990/0835e296e771/kjr-16-593-g003.jpg
https://cdn.ncbi.nlm.nih.gov/pmc/blobs/c46d/4435990/71705b87fab7/kjr-16-593-g004.jpg
https://cdn.ncbi.nlm.nih.gov/pmc/blobs/c46d/4435990/4675bcad3f7d/kjr-16-593-g005.jpg
https://cdn.ncbi.nlm.nih.gov/pmc/blobs/c46d/4435990/72779fb33f77/kjr-16-593-g006.jpg
https://cdn.ncbi.nlm.nih.gov/pmc/blobs/c46d/4435990/aa249ece9a72/kjr-16-593-g007.jpg
https://cdn.ncbi.nlm.nih.gov/pmc/blobs/c46d/4435990/8aae0e117ce1/kjr-16-593-g008.jpg
https://cdn.ncbi.nlm.nih.gov/pmc/blobs/c46d/4435990/ba642e3d52bc/kjr-16-593-g009.jpg
https://cdn.ncbi.nlm.nih.gov/pmc/blobs/c46d/4435990/4c376e66fa0f/kjr-16-593-g010.jpg
https://cdn.ncbi.nlm.nih.gov/pmc/blobs/c46d/4435990/4863788eebfe/kjr-16-593-g011.jpg
https://cdn.ncbi.nlm.nih.gov/pmc/blobs/c46d/4435990/ee21267c0891/kjr-16-593-g012.jpg
https://cdn.ncbi.nlm.nih.gov/pmc/blobs/c46d/4435990/9107c7b1cd07/kjr-16-593-g013.jpg
https://cdn.ncbi.nlm.nih.gov/pmc/blobs/c46d/4435990/88864e6ac4b4/kjr-16-593-g014.jpg
https://cdn.ncbi.nlm.nih.gov/pmc/blobs/c46d/4435990/92ee1da2e3f8/kjr-16-593-g001.jpg
https://cdn.ncbi.nlm.nih.gov/pmc/blobs/c46d/4435990/012e86a55b2b/kjr-16-593-g002.jpg
https://cdn.ncbi.nlm.nih.gov/pmc/blobs/c46d/4435990/0835e296e771/kjr-16-593-g003.jpg
https://cdn.ncbi.nlm.nih.gov/pmc/blobs/c46d/4435990/71705b87fab7/kjr-16-593-g004.jpg
https://cdn.ncbi.nlm.nih.gov/pmc/blobs/c46d/4435990/4675bcad3f7d/kjr-16-593-g005.jpg
https://cdn.ncbi.nlm.nih.gov/pmc/blobs/c46d/4435990/72779fb33f77/kjr-16-593-g006.jpg
https://cdn.ncbi.nlm.nih.gov/pmc/blobs/c46d/4435990/aa249ece9a72/kjr-16-593-g007.jpg
https://cdn.ncbi.nlm.nih.gov/pmc/blobs/c46d/4435990/8aae0e117ce1/kjr-16-593-g008.jpg
https://cdn.ncbi.nlm.nih.gov/pmc/blobs/c46d/4435990/ba642e3d52bc/kjr-16-593-g009.jpg
https://cdn.ncbi.nlm.nih.gov/pmc/blobs/c46d/4435990/4c376e66fa0f/kjr-16-593-g010.jpg
https://cdn.ncbi.nlm.nih.gov/pmc/blobs/c46d/4435990/4863788eebfe/kjr-16-593-g011.jpg
https://cdn.ncbi.nlm.nih.gov/pmc/blobs/c46d/4435990/ee21267c0891/kjr-16-593-g012.jpg
https://cdn.ncbi.nlm.nih.gov/pmc/blobs/c46d/4435990/9107c7b1cd07/kjr-16-593-g013.jpg
https://cdn.ncbi.nlm.nih.gov/pmc/blobs/c46d/4435990/88864e6ac4b4/kjr-16-593-g014.jpg

相似文献

1
Interventional radiological treatment of renal transplant complications: a pictorial review.肾移植并发症的介入放射学治疗:图文综述
Korean J Radiol. 2015 May-Jun;16(3):593-603. doi: 10.3348/kjr.2015.16.3.593. Epub 2015 May 13.
2
Renal transplant imaging and complications.肾移植成像与并发症
Abdom Imaging. 2006 Nov-Dec;31(6):735-46. doi: 10.1007/s00261-006-9091-2.
3
Renal transplant complications: diagnostic and therapeutic role of radiology.肾脏移植并发症:放射学的诊断和治疗作用。
Can Assoc Radiol J. 2014 Aug;65(3):242-52. doi: 10.1016/j.carj.2013.06.002. Epub 2013 Dec 8.
4
Interventional therapy of vascular complications following renal transplantation.肾移植术后血管并发症的介入治疗
Clin Transplant. 2006;20 Suppl 17:55-9. doi: 10.1111/j.1399-0012.2006.00601.x.
5
Evaluation of the Vascular Surgical Complications of Renal Transplantation.肾移植血管外科并发症的评估
Ann Vasc Surg. 2016 May;33:23-30. doi: 10.1016/j.avsg.2016.03.002. Epub 2016 Mar 17.
6
The role of interventional radiology in the management of kidney transplant complications.介入放射学在肾移植并发症管理中的作用。
Radiol Med. 2005 Sep;110(3):249-61.
7
Preemptive living-donor renal transplantation: outcome and clinical advantages.抢先式活体供肾肾移植:结局与临床优势
Transplant Proc. 2009 Jan-Feb;41(1):117-20. doi: 10.1016/j.transproceed.2008.09.063.
8
Imaging in pediatric renal transplantation.小儿肾移植中的影像学检查
Pediatr Transplant. 2017 May;21(3). doi: 10.1111/petr.12885. Epub 2017 Jan 25.
9
Renal transplantation dysfunction: the role of interventional radiology.肾移植功能障碍:介入放射学的作用
Clin Radiol. 2002 Sep;57(9):772-83.
10
MRI for diagnosis of post-renal transplant complications: current state-of-the-art and future perspectives.MRI 诊断肾移植后并发症:现状与未来展望。
MAGMA. 2020 Feb;33(1):49-61. doi: 10.1007/s10334-019-00813-8. Epub 2019 Dec 26.

引用本文的文献

1
Calcimimetics or parathyroidectomy for kidney transplant recipients: is there still a question? a systematic review, meta-analysis and trial sequential analysis.拟钙剂或甲状旁腺切除术用于肾移植受者:还有疑问吗?一项系统评价、荟萃分析和试验序贯分析
Endocrine. 2025 Feb 8. doi: 10.1007/s12020-025-04189-9.
2
Emergency endovascular and percutaneous urological interventions: A pictorial review.紧急血管内和经皮泌尿科介入:图像综述。
Emerg Radiol. 2024 Aug;31(4):605-612. doi: 10.1007/s10140-024-02241-1. Epub 2024 May 16.
3
Sonographic assessment of the prevalence and evolution of fluid collections as a complication of kidney transplantation.

本文引用的文献

1
Salvage of external iliac artery dissection immediately after renal transplant.肾移植术后立即对髂外动脉夹层进行挽救治疗。
Exp Clin Transplant. 2013 Jun;11(3):274-7. doi: 10.6002/ect.2012.0152.
2
Kidney transplant anastomosis: internal or external iliac artery?肾移植吻合术:髂内动脉还是髂外动脉?
Urol J. 2009 Fall;6(4):260-6.
3
Management of vascular and nonvascular complications after renal transplantation.肾移植术后血管及非血管并发症的管理
超声评估肾移植并发症——液体积聚的发生率及演变情况。
J Ultrason. 2018;18(73):126-132. doi: 10.15557/JoU.2018.0018.
4
Early urological complications after kidney transplantation: An overview.肾移植术后早期泌尿系统并发症:综述
World J Transplant. 2018 Sep 10;8(5):142-149. doi: 10.5500/wjt.v8.i5.142.
5
A nationwide analysis of re-operation after kidney transplant.一项关于肾移植术后再次手术的全国性分析。
Can Urol Assoc J. 2017 Nov;11(11):E425-E430. doi: 10.5489/cuaj.4369.
Tech Vasc Interv Radiol. 2009 Dec;12(4):240-62. doi: 10.1053/j.tvir.2009.09.006.
4
Vascular complications in renal transplantation: a single-center experience in 1367 renal transplantations and review of the literature.肾移植中的血管并发症:1367例肾移植的单中心经验及文献综述
Transplant Proc. 2009 Jun;41(5):1609-14. doi: 10.1016/j.transproceed.2009.02.077.
5
Ureteral complications in renal transplant recipients successfully treated with interventional radiology.肾移植受者输尿管并发症经介入放射学成功治疗
Transplant Proc. 2008 Nov;40(9):3170-2. doi: 10.1016/j.transproceed.2008.08.040.
6
Restoration of failed renal graft function after successful angioplasty of pressure-resistant renal artery stenosis using a cutting balloon: a case report.使用切割球囊成功血管成形术治疗耐压力性肾动脉狭窄后,恢复失败肾移植功能:一例报告
Cardiovasc Intervent Radiol. 2009 May;32(3):548-53. doi: 10.1007/s00270-008-9420-7. Epub 2008 Aug 28.
7
Efficacy and safety of Palmaz stent implantation in the treatment of renal artery stenosis in renal transplantation.帕尔马兹支架植入术治疗肾移植中肾动脉狭窄的疗效与安全性。
Transplant Proc. 2005 Mar;37(2):1047-8. doi: 10.1016/j.transproceed.2004.12.229.
8
[Vascular complications after kidney transplantation].[肾移植后的血管并发症]
Srp Arh Celok Lek. 2003 May-Jun;131(5-6):215-20. doi: 10.2298/sarh0306215b.
9
Transcatheter embolization of biopsy-related vascular injuries in renal allografts. Long-term technical, clinical and biochemical results.肾移植活检相关血管损伤的经导管栓塞术。长期技术、临床及生化结果。
Acta Radiol. 2003 Jan;44(1):13-7.
10
Acute thrombosis of renal transplant artery: graft salvage by means of intra-arterial fibrinolysis.肾移植动脉急性血栓形成:通过动脉内纤溶治疗挽救移植肾
Transplantation. 2002 Feb 15;73(3):403-9. doi: 10.1097/00007890-200202150-00014.