Suppr超能文献

肺隔离症:早期诊断与管理

Pulmonary Sequestration: Early Diagnosis and Management.

作者信息

Wani Sajad A, Mufti Gowher N, Bhat Nisar A, Baba Ajaz A

机构信息

Department of Paediatric Surgery, SKIMS, Soura, Srinagar, Jammu and Kashmir 190011, India.

出版信息

Case Rep Pediatr. 2015;2015:454860. doi: 10.1155/2015/454860. Epub 2015 Jul 26.

Abstract

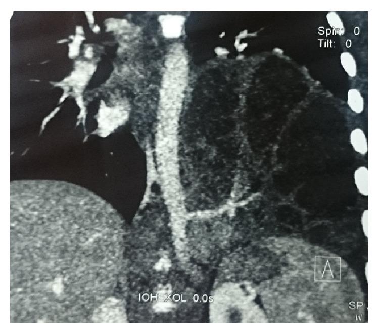
Intralobar sequestration is characterized by aberrant formation of nonfunctional lung tissue that has no communication with the bronchial tree and receives systemic arterial blood supply. Failure of earlier diagnosis can lead to recurrent pneumonia, failure to thrive, multiple hospital admissions, and more morbidity. The aim of this case report is to increase the awareness about the lung sequestration, to diagnose and treat it early, so that it is resected before repeated infection, and prevent the morbidity and mortality.

摘要

肺叶内型肺隔离症的特征是形成无功能的肺组织,该组织与支气管树无交通,并接受体循环动脉供血。早期诊断失败可导致反复肺炎、生长发育不良、多次住院及更多的发病率。本病例报告的目的是提高对肺隔离症的认识,早期诊断和治疗,以便在反复感染前进行切除,预防发病率和死亡率。

https://cdn.ncbi.nlm.nih.gov/pmc/blobs/79d1/4529943/e78c489bb74e/CRIPE2015-454860.001.jpg

文献AI研究员

20分钟写一篇综述,助力文献阅读效率提升50倍。

立即体验

用中文搜PubMed

大模型驱动的PubMed中文搜索引擎

马上搜索

文档翻译

学术文献翻译模型,支持多种主流文档格式。

立即体验