Suppr超能文献

C9orf72二肽重复毒性的调节剂将核质运输缺陷与额颞叶痴呆/肌萎缩侧索硬化症联系起来。

Modifiers of C9orf72 dipeptide repeat toxicity connect nucleocytoplasmic transport defects to FTD/ALS.

作者信息

Jovičić Ana, Mertens Jerome, Boeynaems Steven, Bogaert Elke, Chai Noori, Yamada Shizuka B, Paul Joseph W, Sun Shuying, Herdy Joseph R, Bieri Gregor, Kramer Nicholas J, Gage Fred H, Van Den Bosch Ludo, Robberecht Wim, Gitler Aaron D

机构信息

Department of Genetics, Stanford University School of Medicine, Stanford, California, USA.

Salk Institute for Biological Studies, Sanford Consortium for Regenerative Medicine, La Jolla, California, USA.

出版信息

Nat Neurosci. 2015 Sep;18(9):1226-9. doi: 10.1038/nn.4085.

Abstract

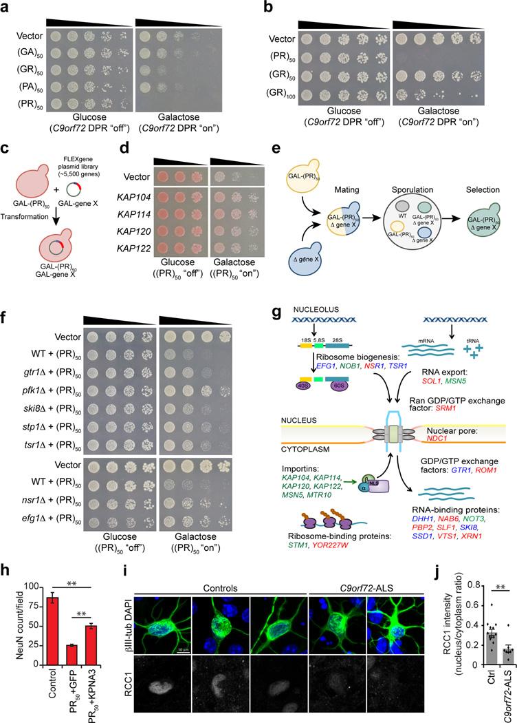
C9orf72 mutations are the most common cause of amyotrophic lateral sclerosis (ALS) and frontotemporal dementia (FTD). Dipeptide repeat proteins (DPRs) produced by unconventional translation of the C9orf72 repeat expansions cause neurodegeneration in cell culture and in animal models. We performed two unbiased screens in Saccharomyces cerevisiae and identified potent modifiers of DPR toxicity, including karyopherins and effectors of Ran-mediated nucleocytoplasmic transport, providing insight into potential disease mechanisms and therapeutic targets.

摘要

C9orf72突变是肌萎缩侧索硬化症(ALS)和额颞叶痴呆(FTD)最常见的病因。由C9orf72重复扩增的非常规翻译产生的二肽重复蛋白(DPRs)在细胞培养和动物模型中导致神经退行性变。我们在酿酒酵母中进行了两项无偏筛选,并确定了DPR毒性的有效调节因子,包括核转运蛋白和Ran介导的核质运输的效应因子,这为潜在的疾病机制和治疗靶点提供了见解。

https://cdn.ncbi.nlm.nih.gov/pmc/blobs/337d/4552077/b3ab1a10ce92/nihms708035f1.jpg

文献AI研究员

20分钟写一篇综述,助力文献阅读效率提升50倍。

立即体验

用中文搜PubMed

大模型驱动的PubMed中文搜索引擎

马上搜索

文档翻译

学术文献翻译模型,支持多种主流文档格式。

立即体验