Suppr超能文献

空心菜,旋花科蕹菜属,通过抑制氧化应激和细胞凋亡减轻铅毒性。

Water Spinach, Ipomoea aquatic (Convolvulaceae), Ameliorates Lead Toxicity by Inhibiting Oxidative Stress and Apoptosis.

作者信息

Dewanjee Saikat, Dua Tarun K, Khanra Ritu, Das Shilpa, Barma Sujata, Joardar Swarnalata, Bhattacharjee Niloy, Zia-Ul-Haq M, Jaafar Hawa Z E

机构信息

Advanced Pharmacognosy Research Laboratory, Department of Pharmaceutical Technology, Jadavpur University, Kolkata, 700032, India.

Department of Pharmacognosy, University of Karachi, Karachi, 75270, Pakistan.

出版信息

PLoS One. 2015 Oct 16;10(10):e0139831. doi: 10.1371/journal.pone.0139831. eCollection 2015.

Abstract

BACKGROUND

Ipomoea aquatica (Convolvulaceae), an aquatic edible plant, is traditionally used against heavy metal toxicity in India. The current study intended to explore the protective role of edible (aqueous) extract of I. aquatica (AEIA) against experimentally induced Pb-intoxication.

METHODS

The cytoprotective role of AEIA was measured on mouse hepatocytes by cell viability assay followed by Hoechst staining and flow cytometric assay. The effect on ROS production, lipid peroxidation, protein carbonylation, intracellular redox status were measured after incubating the hepatocytes with Pb-acetate (6.8 μM) along with AEIA (400 μg/ml). The effects on the expressions of apoptotic signal proteins were estimated by western blotting. The protective role of AEIA was measured by in vivo assay in mice. Haematological, serum biochemical, tissue redox status, Pb bioaccumulation and histological parameters were evaluated to estimate the protective role of AEIA (100 mg/kg) against Pb-acetate (5 mg/kg) intoxication.

RESULTS

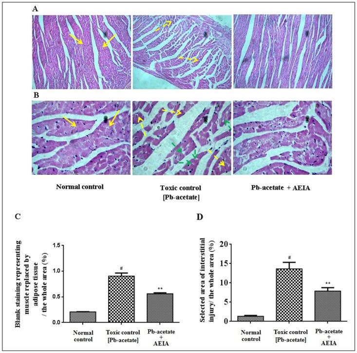
Pb-acetate treated hepatocytes showed a gradual reduction of cell viability dose-dependently with an IC50 value of 6.8 μM. Pb-acetate treated hepatocytes exhibited significantly enhanced levels (p < 0.01) of ROS production, lipid peroxidation, protein carbonylation with concomitant depletion (p < 0.01) of antioxidant enzymes and GSH. However, AEIA treatment could significantly restore the aforementioned parameters in murine hepatocytes near to normalcy. Besides, AEIA significantly reversed (p < 0.05-0.01) the alterations of transcription levels of apoptotic proteins viz. Bcl 2, Bad, Cyt C, Apaf-1, cleaved caspases [caspase 3, caspase 8 and caspase 9], Fas and Bid. In in vivo bioassay, Pb-acetate treatment caused significantly high intracellular Pb burden and oxidative pressure in the kidney, liver, heart, brain and testes in mice. In addition, the haematological and serum biochemical factors were changed significantly in Pb-acetate-treated animals. AEIA treatment restored significantly the evaluated-parameters to the near-normal position.

CONCLUSION

The extract may offer the protective effect via counteracting with Pb mediated oxidative stress and/or promoting the elimination of Pb by chelating. The presence of substantial quantities of flavonoids, phenolics and saponins would be responsible for the overall protective effect.

摘要

背景

蕹菜(旋花科)是一种水生可食用植物,在印度传统上用于对抗重金属毒性。本研究旨在探讨蕹菜可食用(水)提取物(AEIA)对实验性诱导的铅中毒的保护作用。

方法

通过细胞活力测定,随后进行Hoechst染色和流式细胞术测定,来检测AEIA对小鼠肝细胞的细胞保护作用。在用醋酸铅(6.8 μM)和AEIA(400 μg/ml)孵育肝细胞后,测量其对活性氧生成、脂质过氧化、蛋白质羰基化、细胞内氧化还原状态的影响。通过蛋白质印迹法评估对凋亡信号蛋白表达的影响。通过小鼠体内试验检测AEIA的保护作用。评估血液学、血清生化、组织氧化还原状态、铅生物蓄积和组织学参数,以估计AEIA(100 mg/kg)对醋酸铅(5 mg/kg)中毒的保护作用。

结果

醋酸铅处理的肝细胞显示细胞活力呈剂量依赖性逐渐降低,IC50值为6.8 μM。醋酸铅处理的肝细胞表现出活性氧生成、脂质过氧化、蛋白质羰基化水平显著升高(p < 0.01),同时抗氧化酶和谷胱甘肽水平显著降低(p < 0.01)。然而,AEIA处理可使上述小鼠肝细胞参数显著恢复至接近正常水平。此外,AEIA显著逆转(p < 0.05 - 0.01)凋亡蛋白即Bcl 2、Bad、细胞色素C、凋亡蛋白酶激活因子-1、裂解的半胱天冬酶[半胱天冬酶3、半胱天冬酶8和半胱天冬酶9]、Fas和Bid转录水平的改变。在体内生物测定中,醋酸铅处理导致小鼠肾脏、肝脏、心脏、大脑和睾丸中细胞内铅负荷和氧化压力显著升高。此外,醋酸铅处理的动物血液学和血清生化指标发生显著变化。AEIA处理使评估参数显著恢复至接近正常水平。

结论

该提取物可能通过抵消铅介导的氧化应激和/或通过螯合促进铅的消除而发挥保护作用。大量黄酮类、酚类和皂苷的存在是整体保护作用的原因。

https://cdn.ncbi.nlm.nih.gov/pmc/blobs/1bb4/4608788/6eb3d3786ef8/pone.0139831.g001.jpg

文献AI研究员

20分钟写一篇综述,助力文献阅读效率提升50倍。

立即体验

用中文搜PubMed

大模型驱动的PubMed中文搜索引擎

马上搜索

文档翻译

学术文献翻译模型,支持多种主流文档格式。

立即体验