Suppr超能文献

两名年轻舞者身上的独特偶然发现:病例系列

A Unique Incidental Finding in Two Young Dancers: A Case Series.

作者信息

Miller Marshal N, Close Jeremy D

机构信息

Department of Family & Community Medicine, Thomas Jefferson University, Philadelphia, Pennsylvania

Department of Family & Community Medicine, Thomas Jefferson University, Philadelphia, Pennsylvania.

出版信息

Sports Health. 2015 Sep-Oct;7(5):421-3. doi: 10.1177/1941738115578604. Epub 2015 Mar 20.

Abstract

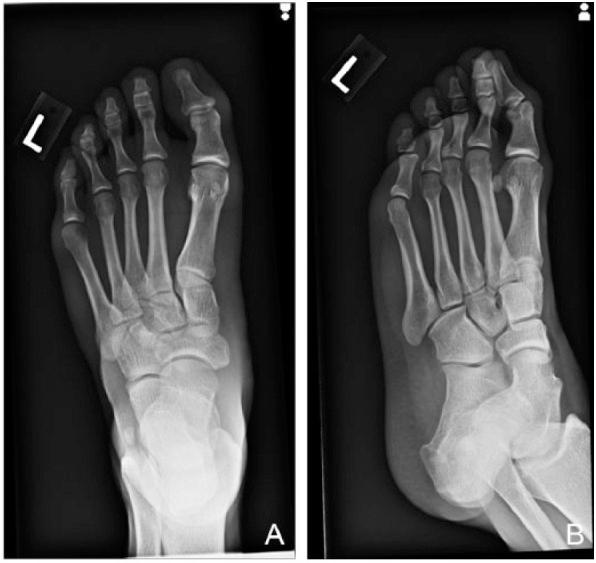
Dancers frequently present to the sports medicine clinic with a variety of lower extremity complaints ranging from acute and traumatic injuries to more chronic, overuse injuries. This case series depicts a similar and unique incidental radiographic finding found in 2 young dancers seen at the same sports medicine clinic. While the findings are likely benign and unrelated to both patients' initial presentation, the finding of acroosteolysis can be found in more serious systemic and genetic processes as well an early finding in repetitive trauma.

摘要

舞者经常因各种下肢问题前往运动医学诊所就诊,这些问题涵盖从急性创伤性损伤到更慢性的过度使用损伤。本病例系列描述了在同一家运动医学诊所就诊的两名年轻舞者身上发现的一种相似且独特的偶然影像学表现。虽然这些表现可能是良性的,且与两位患者最初的症状无关,但肢端骨质溶解也可能出现在更严重的全身性和遗传性疾病过程中,以及重复性创伤的早期表现中。

https://cdn.ncbi.nlm.nih.gov/pmc/blobs/c36b/4547113/fbba1961f04d/10.1177_1941738115578604-fig1.jpg

文献AI研究员

20分钟写一篇综述,助力文献阅读效率提升50倍。

立即体验

用中文搜PubMed

大模型驱动的PubMed中文搜索引擎

马上搜索

文档翻译

学术文献翻译模型,支持多种主流文档格式。

立即体验