Jung Hyun Gug, Kim Han Hyuk, Paul Souren, Jang Jae Yoon, Cho Yong Hun, Kim Hyeon Jeong, Yu Jae Myo, Lee Eun Su, An Bong Jeun, Kang Sun Chul, Bang Byung Ho
Department of Cosmeceutical Science, Daegu Hanny University, Gyeongbuk 712-715, Republic of Korea.
Department of Pharmacognosy, College of Pharmacy, Chung-Ang University, Seoul 156-756, Republic of Korea.
Saudi J Biol Sci. 2015 Nov;22(6):706-13. doi: 10.1016/j.sjbs.2015.03.009. Epub 2015 Mar 26.
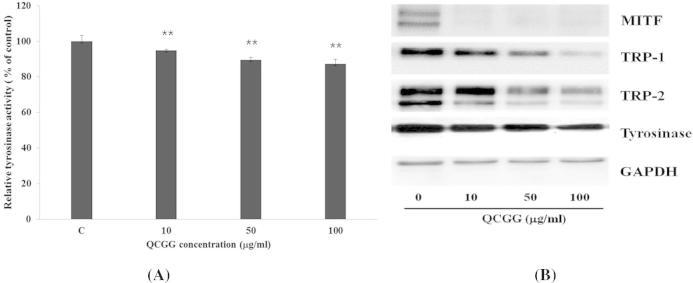
In this study, the effect of purified quercetin-3-O-β-d-glucopyranosyl-(1 → 6)-β-d-glucopyranosid (QCGG) on melanogenesis was investigated. QCGG was isolated from the calyx of a traditional Korean medicinal herb, Persimmon (Diospyros kaki). The hypopigmentation effects of QCGG were determined by examination of cellular melanin contents, tyrosinase activity assay, cAMP assay, and Western blotting of α-MSH-stimulated B16F10 mouse melanoma cells. Our results showed that QCGG inhibited both melanin synthesis and tyrosinase activity in a concentration-dependent manner as well as significantly reduced the expression of melanogenic proteins such as microphthalmia-associated transcription factor (MITF), tyrosinase-related protein-1, tyrosinase-related protein-2, and tyrosinase. Moreover, QCGG inhibited intracellular cAMP levels, cAMP response element-binding protein (CREB), and p38 MAPK expression in α-MSH-stimulated B16F10 cells. Taken together, the suppressive effects of QCGG on melanogenesis may involve down-regulation of MITF and its downstream signaling pathway via phosphorylation of p38 MAPK and CREB along with reduced cAMP levels. These results indicate that QCGG reduced melanin synthesis by reducing expression of tyrosine and tyrosine-related proteins via extracellular signal-related protein kinase (ERK) activation, followed by down-regulation of CREB, p38, and MITF.
在本研究中,研究了纯化的槲皮素-3-O-β-D-吡喃葡萄糖基-(1→6)-β-D-吡喃葡萄糖苷(QCGG)对黑色素生成的影响。QCGG是从韩国传统草药柿(柿属)的花萼中分离得到的。通过检测细胞黑色素含量、酪氨酸酶活性测定、cAMP测定以及对α-MSH刺激的B16F10小鼠黑色素瘤细胞进行蛋白质免疫印迹,确定了QCGG的色素减退作用。我们的结果表明,QCGG以浓度依赖性方式抑制黑色素合成和酪氨酸酶活性,并显著降低小眼畸形相关转录因子(MITF)、酪氨酸酶相关蛋白-1、酪氨酸酶相关蛋白-2和酪氨酸酶等黑色素生成相关蛋白的表达。此外,QCGG抑制α-MSH刺激的B16F10细胞中的细胞内cAMP水平、cAMP反应元件结合蛋白(CREB)和p38丝裂原活化蛋白激酶(MAPK)的表达。综上所述,QCGG对黑色素生成的抑制作用可能涉及通过p38 MAPK和CREB的磷酸化以及cAMP水平的降低来下调MITF及其下游信号通路。这些结果表明,QCGG通过细胞外信号相关蛋白激酶(ERK)激活降低酪氨酸和酪氨酸相关蛋白的表达,随后下调CREB、p38和MITF,从而减少黑色素合成。