Mills Kate M, Brocardo Mariana G, Henderson Beric R
Centre for Cancer Research, Westmead Institute for Medical Research, University of Sydney, Westmead, NSW 2145, Australia.
Centre for Cancer Research, Westmead Institute for Medical Research, University of Sydney, Westmead, NSW 2145, Australia
Mol Biol Cell. 2016 Feb 1;27(3):466-82. doi: 10.1091/mbc.E15-09-0632. Epub 2015 Dec 10.
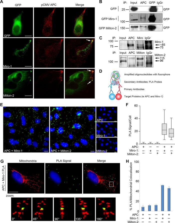
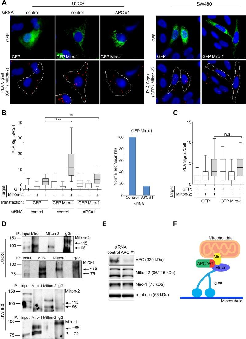
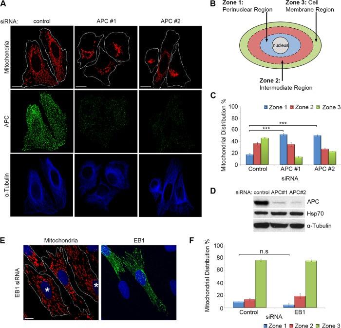
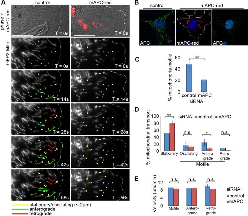
Mutations in adenomatous polyposis coli (APC) disrupt regulation of Wnt signaling, mitosis, and the cytoskeleton. We describe a new role for APC in the transport of mitochondria. Silencing of wild-type APC by small interfering RNA caused mitochondria to redistribute from the cell periphery to the perinuclear region. We identified novel APC interactions with the mitochondrial kinesin-motor complex Miro/Milton that were mediated by the APC C-terminus. Truncating mutations in APC abolished its ability to bind Miro/Milton and reduced formation of the Miro/Milton complex, correlating with disrupted mitochondrial distribution in colorectal cancer cells that could be recovered by reconstitution of wild-type APC. Using proximity ligation assays, we identified endogenous APC-Miro/Milton complexes at mitochondria, and live-cell imaging showed that loss of APC slowed the frequency of anterograde mitochondrial transport to the membrane. We propose that APC helps drive mitochondria to the membrane to supply energy for cellular processes such as directed cell migration, a process disrupted by cancer mutations.
腺瘤性息肉病大肠杆菌(APC)中的突变会破坏Wnt信号传导、有丝分裂和细胞骨架的调控。我们描述了APC在线粒体运输中的新作用。通过小干扰RNA使野生型APC沉默会导致线粒体从细胞周边重新分布到核周区域。我们鉴定出APC与线粒体驱动蛋白运动复合体Miro/Milton的新型相互作用,这种相互作用由APC的C末端介导。APC中的截短突变消除了其与Miro/Milton结合的能力,并减少了Miro/Milton复合体的形成,这与结直肠癌细胞中线粒体分布的破坏相关,而通过野生型APC的重建可以恢复这种分布。使用邻近连接分析,我们在mitochondria上鉴定出内源性APC-Miro/Milton复合体,活细胞成像显示APC的缺失减缓了线粒体向膜的顺向运输频率。我们提出,APC有助于将线粒体驱动到膜上,为诸如定向细胞迁移等细胞过程提供能量,而这一过程会因癌症突变而受到破坏。