Suppr超能文献

Three-Dimensional Imaging of a Central Venous Dialysis Catheter Related Infected Thrombus.

作者信息

Chiu Diana Yuan Yng, Green Darren, Kalra Philip A, Abidin Nik

机构信息

Vascular Research Group, Institute of Population Health, The University of Manchester, Manchester Academic Health Sciences Centre, Manchester M13 9PL, UK ; Department of Renal Medicine, Salford Royal NHS Foundation Trust, Stott Lane, Salford M6 8HD, UK.

Department of Cardiology, Salford Royal Hospital, Salford Royal NHS Foundation Trust, Stott Lane, Salford M6 8HD, UK.

出版信息

Case Rep Nephrol. 2015;2015:724132. doi: 10.1155/2015/724132. Epub 2015 Nov 24.

Abstract

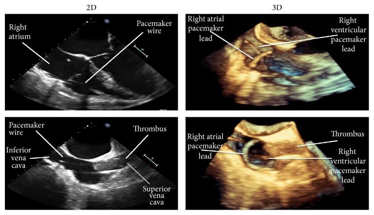
Three-dimensional (3D) echocardiography is becoming widely available and with novel applications. We report an interesting case of a 68-year-old lady with a central venous thrombosis coincident with both a dialysis catheter infection and a recent pacemaker insertion. Two-dimensional transesophageal echocardiography was unable to delineate whether the thrombosis was involved with the pacemaker wire or due to the tunneled catheter infection. The use of 3D echocardiography was able to produce distinct images aiding diagnosis. This circumvented the need for invasive investigations and inappropriate, high-risk removal of the pacing wire. This case highlights the emerging application of 3D echocardiography in routine nephrology practice.

摘要
https://cdn.ncbi.nlm.nih.gov/pmc/blobs/0c34/4672108/4a824025d620/CRIN2015-724132.001.jpg

文献AI研究员

20分钟写一篇综述,助力文献阅读效率提升50倍。

立即体验

用中文搜PubMed

大模型驱动的PubMed中文搜索引擎

马上搜索

文档翻译

学术文献翻译模型,支持多种主流文档格式。

立即体验