Suppr超能文献

破裂性胰十二指肠动脉瘤的手术切除

Surgical Resection of a Ruptured Pancreaticoduodenal Artery Aneurysm.

作者信息

Takei Tomohide, Sakai Michihiro, Suzuki Takuya, Yamamoto Yuji, Ogasawara Yasuo, Shimizu Tetsuya, Imaizumi Jun, Furuya Ryosuke, Sekido Hitoshi, Koizumi Yasuhiro

机构信息

Department of Emergency, Fujisawa Shounandai Hospital, Fujisawa, Japan.

Department of Radiology, Fujisawa Shounandai Hospital, Fujisawa, Japan.

出版信息

Am J Case Rep. 2016 Jan 22;17:39-42. doi: 10.12659/ajcr.895782.

Abstract

BACKGROUND

Ruptured aneurysms of the pancreaticoduodenal artery result in fatal hemorrhage and high mortality. Therefore, prompt diagnosis and treatment are required, but there are sometimes problems differentiating this specific diagnosis from other abdominal pathologies.

CASE REPORT

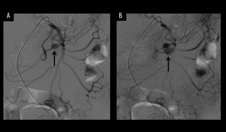
We encountered a rare case of a ruptured pancreaticoduodenal artery aneurysm with an atypical clinical presentation that simulated acute pancreatitis. A 71-year-old woman was admitted to the emergency department with abdominal pain in the left upper quadrant, a slightly elevated level of pancreatic amylase, and cholelithiasis on ultrasonography. With persistent pain and progressively decreasing hemoglobin level, computed tomography with contrast showed fluid collection in the subphrenic space, a retroperitoneal hematoma, and a pancreaticoduodenal artery aneurysm that appeared to originate from a branch of the SMA. Urgent angiography indicated spontaneous rupture of a pancreaticoduodenal artery aneurysm. Emergent surgery was undertaken, and a simple aneurysmectomy was successfully performed. The patient's recovery was unremarkable. The prompt diagnosis of a pancreaticoduodenal artery aneurysm was difficult because the initial symptoms were vague and misleading in our case.

CONCLUSIONS

A high level of suspicion, rapid diagnostic capability, and prompt surgical or endovascular intervention, as well as effective teamwork in the emergency department, are critical to avoid the devastating consequences of a ruptured visceral artery aneurysm.

摘要

背景

胰十二指肠动脉破裂性动脉瘤可导致致命性出血,死亡率很高。因此,需要迅速诊断和治疗,但有时将这一特定诊断与其他腹部病变区分开来存在问题。

病例报告

我们遇到了一例罕见的胰十二指肠动脉破裂性动脉瘤,其临床表现不典型,类似急性胰腺炎。一名71岁女性因左上腹疼痛、胰淀粉酶水平轻度升高且超声检查发现胆结石而入住急诊科。由于疼痛持续且血红蛋白水平逐渐下降,增强计算机断层扫描显示膈下间隙有积液、腹膜后血肿以及一个似乎起源于肠系膜上动脉分支的胰十二指肠动脉动脉瘤。紧急血管造影显示胰十二指肠动脉动脉瘤自发破裂。进行了急诊手术,并成功实施了单纯动脉瘤切除术。患者恢复情况良好。在我们的病例中,由于初始症状模糊且具有误导性,所以难以迅速诊断出胰十二指肠动脉动脉瘤。

结论

高度怀疑、快速诊断能力、迅速的手术或血管内介入治疗,以及急诊科有效的团队协作,对于避免内脏动脉破裂性动脉瘤带来的灾难性后果至关重要。

https://cdn.ncbi.nlm.nih.gov/pmc/blobs/9366/4729323/42f284f57e46/amjcaserep-17-39-g001.jpg

文献检索

告别复杂PubMed语法,用中文像聊天一样搜索,搜遍4000万医学文献。AI智能推荐,让科研检索更轻松。

立即免费搜索

文件翻译

保留排版,准确专业,支持PDF/Word/PPT等文件格式,支持 12+语言互译。

免费翻译文档

深度研究

AI帮你快速写综述,25分钟生成高质量综述,智能提取关键信息,辅助科研写作。

立即免费体验