Suppr超能文献

用于颈椎前路融合术的独立椎间融合器:不存在问题吗?

Stand-Alone Cages for Anterior Cervical Fusion: Are There No Problems?

作者信息

Han Sang Youp, Kim Hyun Woo, Lee Cheol Young, Kim Hong Rye, Park Dong Ho

机构信息

Department of Neurosurgery, Konyang University Hospital, Konyang University Collge of Medicine, Daejon, Korea.

Department of Anesthesiology, Konyang University Hospital, Konyang University Collge of Medicine, Daejon, Korea.

出版信息

Korean J Spine. 2016 Mar;13(1):13-9. doi: 10.14245/kjs.2016.13.1.13. Epub 2016 Mar 31.

Abstract

OBJECTIVE

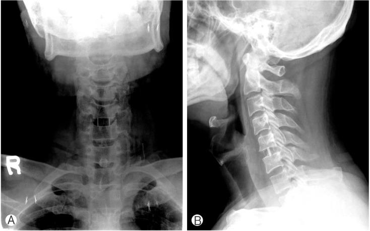
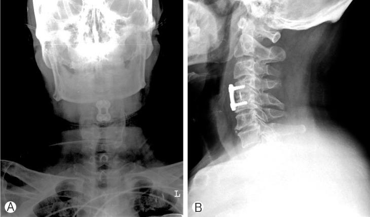
There are complications in stand-alone cage assisted anterior cervical discectomy and fusion (ACDF), such as cage subsidence and kyphosis. Here we report our clinical result on ACDF, comparing with stand-alone cages and with cervical plate system for degenerative cervical spine diseases.

METHODS

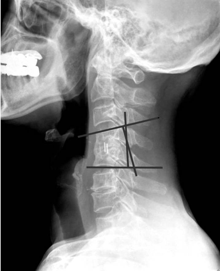
Patients with degenerative cervical disease who were diagnosed and treated in Konyang University Hospital between January 2004 and December 2014 were included in this study. Patients who had operation in single level ACDF were selected. Patients scored the degree of pain using visual analog scale before and after the surgery. Subsidence was defined as ≥3-mm decrease of the segmental height, and cervical kyphosis was defined as progression of ≥5° at 12 months after postoperative follow-up compared to that measured at the immediate postoperative period.

RESULTS

A total of 81 patients were enrolled for this study. Forty-five patients were included in a cervical plate group and the others were in stand-alone cage group. There was no statistical difference in pain score between the 2 groups. Segmental subsidence was observed in 7 patients (15.6%) in plate-assisted cervical fusion group, and 13 patients (36.1%) in stand-alone cage group. Segmental kyphosis was observed in 4 patients (8.9%) in plate-assisted cervical fusion group, and 10 patients (27.8%) in stand-alone cage group. There was statistical difference between the 2 groups.

CONCLUSION

There was no difference in pain between 2 groups. But stand-alone case group showed higher incidence rate than plate-assisted cervical fusion group in segmental subsidence and cervical kyphosis. When designing cervical fusion, more attention should be given selecting the surgical technique.

摘要

目的

单纯椎间融合器辅助下颈椎前路椎间盘切除融合术(ACDF)存在一些并发症,如椎间融合器下沉和后凸畸形。在此,我们报告ACDF治疗退变性颈椎疾病的临床结果,并与单纯椎间融合器及颈椎前路钢板系统进行比较。

方法

本研究纳入2004年1月至2014年12月在韩国公州大学医院诊断并接受治疗的退变性颈椎疾病患者。选取接受单节段ACDF手术的患者。患者在手术前后使用视觉模拟量表对疼痛程度进行评分。下沉定义为节段高度下降≥3mm,颈椎后凸畸形定义为术后12个月随访时相比术后即刻测量的后凸角度进展≥5°。

结果

本研究共纳入81例患者。45例患者纳入颈椎前路钢板组,其余患者纳入单纯椎间融合器组。两组间疼痛评分无统计学差异。颈椎前路钢板辅助融合组有7例患者(15.6%)出现节段下沉,单纯椎间融合器组有13例患者(36.1%)出现节段下沉。颈椎前路钢板辅助融合组有4例患者(8.9%)出现节段后凸畸形,单纯椎间融合器组有10例患者(27.8%)出现节段后凸畸形。两组间存在统计学差异。

结论

两组间疼痛无差异。但单纯椎间融合器组在节段下沉和颈椎后凸畸形方面的发生率高于颈椎前路钢板辅助融合组。在设计颈椎融合手术时,应更加关注手术技术的选择。

https://cdn.ncbi.nlm.nih.gov/pmc/blobs/2a3e/4844655/0b1dcce0ff2b/kjs-13-13-g001.jpg

文献AI研究员

20分钟写一篇综述,助力文献阅读效率提升50倍。

立即体验

用中文搜PubMed

大模型驱动的PubMed中文搜索引擎

马上搜索

文档翻译

学术文献翻译模型,支持多种主流文档格式。

立即体验