Suppr超能文献

源自欧亚禽源样和2009年大流行H1N1流感病毒的新型重配体在小鼠和豚鼠中的传播与致病性

Transmission and pathogenicity of novel reassortants derived from Eurasian avian-like and 2009 pandemic H1N1 influenza viruses in mice and guinea pigs.

作者信息

Kong Weili, Liu Qinfang, Sun Yipeng, Wang Yu, Gao Huijie, Liu Lirong, Qin Zhihua, He Qiming, Sun Honglei, Pu Juan, Wang Dayan, Guo Xin, Yang Hanchun, Chang Kin-Chow, Shu Yuelong, Liu Jinhua

机构信息

Key Laboratory of Animal Epidemiology and Zoonosis, Ministry of Agriculture, College of Veterinary Medicine, and State Key Laboratory of Agrobiotechnology, China Agricultural University, Beijing 100193, China.

Department of Avian Infectious Disease, Shanghai Veterinary Research Institute, Chinese Academy of Agricultural Sciences, Shanghai, Innovation Team for Pathogen Ecology Research on Animal Influenza Virus, Shanghai 200241 China.

出版信息

Sci Rep. 2016 Jun 2;6:27067. doi: 10.1038/srep27067.

Abstract

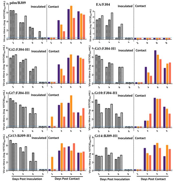
Given the present extensive co-circulation in pigs of Eurasian avian-like (EA) swine H1N1 and 2009 pandemic (pdm/09) H1N1 viruses, reassortment between them is highly plausible but largely uncharacterized. Here, experimentally co-infected pigs with a representative EA virus and a pdm/09 virus yielded 55 novel reassortant viruses that could be categorized into 17 genotypes from Gt1 to Gt17 based on segment segregation. Majority of novel reassortants were isolated from the lower respiratory tract. Most of reassortant viruses were more pathogenic and contagious than the parental EA viruses in mice and guinea pigs. The most transmissible reassortant genotypes demonstrated in guinea pigs (Gt2, Gt3, Gt7, Gt10 and Gt13) were also the most lethal in mice. Notably, nearly all these highly virulent reassortants (all except Gt13) were characterized with possession of EA H1 and full complement of pdm/09 ribonucleoprotein genes. Compositionally, we demonstrated that EA H1-222G contributed to virulence by its ability to bind avian-type sialic acid receptors, and that pdm/09 RNP conferred the most robust polymerase activity to reassortants. The present study revealed high reassortment compatibility between EA and pdm/09 viruses in pigs, which could give rise to progeny reassortant viruses with enhanced virulence and transmissibility in mice and guinea pig models.

摘要

鉴于目前欧亚禽源类(EA)猪H1N1病毒和2009年大流行(pdm/09)H1N1病毒在猪群中广泛共同传播,它们之间发生重配的可能性很大,但很大程度上尚未得到充分研究。在此,用一种代表性的EA病毒和一种pdm/09病毒对猪进行实验性共感染,产生了55种新型重配病毒,根据片段分离情况,这些病毒可分为从Gt1到Gt17的17种基因型。大多数新型重配病毒是从下呼吸道分离出来的。在小鼠和豚鼠中,大多数重配病毒比亲本EA病毒更具致病性和传染性。在豚鼠中表现出的最具传播性的重配基因型(Gt2、Gt3、Gt7、Gt10和Gt13)在小鼠中也是最致命的。值得注意的是,几乎所有这些高毒力重配病毒(除Gt13外)的特征是拥有EA H1和完整的pdm/09核糖核蛋白基因。在组成上,我们证明EA H1-222G因其结合禽源型唾液酸受体的能力而导致毒力增强,并且pdm/09核糖核蛋白赋予重配病毒最强的聚合酶活性。本研究揭示了EA病毒和pdm/09病毒在猪中具有高度的重配兼容性,这可能产生在小鼠和豚鼠模型中具有增强毒力和传播性的子代重配病毒。

https://cdn.ncbi.nlm.nih.gov/pmc/blobs/44de/4890009/a5f4af2bd47c/srep27067-f1.jpg

文献AI研究员

20分钟写一篇综述,助力文献阅读效率提升50倍。

立即体验

用中文搜PubMed

大模型驱动的PubMed中文搜索引擎

马上搜索

文档翻译

学术文献翻译模型,支持多种主流文档格式。

立即体验