Suppr超能文献

一种血管生成细胞因子对正畸诱导的炎性牙根吸收的影响。

The Effect of An Angiogenic Cytokine on Orthodontically Induced Inflammatory Root Resorption.

作者信息

Seifi Massoud, Lotfi Ali, Badiee Mohammad Reza, Abdolazimi Zahra, Amdjadi Parisa, Bargrizan Majid

机构信息

Department of Orthodontics, Dental School, Shahid Beheshti University of Medical Sciences, Tehran, Iran.

Department of Oral and Maxillofacial Pathology, Dental School, Shahid Beheshti University of Medical Sciences, Tehran, Iran.

出版信息

Cell J. 2016 Jul-Sep;18(2):271-80. doi: 10.22074/cellj.2016.4323. Epub 2016 May 30.

Abstract

OBJECTIVE

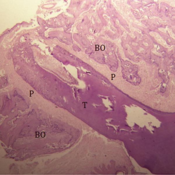
Orthodontically induced inflammatory root resorption (OIIRR) is an undesirable sequel of tooth movement after sterile necrosis that takes place in periodontal ligament due to blockage of blood vessels following exertion of orthodontic force. This study sought to assess the effect of an angiogenic cytokine on OIIRR in rat model.

MATERIALS AND METHODS

In this experimental animal study, 50 rats were randomly divided into 5 groups of 10 each: E10, E100 and E1000 receiving an injection of 10, 100 and 1000 ng of basic fibroblast growth factor (bFGF), respectively, positive control group (CP) receiving an orthodontic appliance and injection of phosphate buffered saline (PBS) and the negative control group (CN) receiving only the anesthetic agent. A nickel titanium coil spring was placed between the first molar and the incisor on the right side of maxilla. Twenty-one days later, the rats were sacrificed. Histopathological sections were made to assess the number and area of resorption lacunae, number of blood vessels, osteoclasts and Howship's lacunae. Data were statistically analyzed using ANOVA and Tukey's honest significant difference (HSD) test.

RESULTS

Number of resorption lacunae and area of resorption lacunae in E1000 (0.97 ± 0.80 and 1. 27 ± 0.01×10(-3), respectively) were significantly lower than in CP (4.17 ± 0.90 and 2.77 ± 0.01×10-3, respectively, P=0.000). Number of blood vessels, osteoclasts and Howship's lacunae were significantly higher in E1000 compared to CP (P<0.05).

CONCLUSION

Tooth movement as the outcome of bone remodeling is concomitant with the formation of sterile necrosis in the periodontal ligament following blocked blood supply. Thus, bFGF can significantly decrease the risk of root resorption by providing more oxygen and angiogenesis.

摘要

目的

正畸诱导的炎性牙根吸收(OIIRR)是正畸力作用导致牙周膜血管阻塞后无菌性坏死,进而引起牙齿移动的不良后果。本研究旨在评估一种血管生成细胞因子对大鼠模型中OIIRR的影响。

材料与方法

在本实验动物研究中,50只大鼠被随机分为5组,每组10只:E10、E100和E1000组分别接受10、100和1000 ng碱性成纤维细胞生长因子(bFGF)注射,阳性对照组(CP)接受正畸矫治器并注射磷酸盐缓冲盐水(PBS),阴性对照组(CN)仅接受麻醉剂。在上颌右侧第一磨牙和切牙之间放置镍钛螺旋弹簧。21天后,处死大鼠。制作组织病理学切片以评估吸收陷窝的数量和面积、血管数量、破骨细胞数量和豪希普陷窝数量。数据采用方差分析和Tukey诚实显著差异(HSD)检验进行统计学分析。

结果

E1000组的吸收陷窝数量和吸收陷窝面积(分别为0.97±0.80和1.27±0.01×10⁻³)显著低于CP组(分别为4.17±0.90和2.77±0.01×10⁻³,P = 0.000)。与CP组相比,E1000组的血管数量、破骨细胞数量和豪希普陷窝数量显著更高(P < 0.05)。

结论

作为骨重塑结果的牙齿移动伴随着血液供应受阻后牙周膜无菌性坏死的形成。因此,bFGF可通过提供更多氧气和促进血管生成显著降低牙根吸收的风险。

https://cdn.ncbi.nlm.nih.gov/pmc/blobs/92e0/4992183/65fbd656944d/Cell-J-18-271-g01.jpg

文献AI研究员

20分钟写一篇综述,助力文献阅读效率提升50倍。

立即体验

用中文搜PubMed

大模型驱动的PubMed中文搜索引擎

马上搜索

文档翻译

学术文献翻译模型,支持多种主流文档格式。

立即体验