Suppr超能文献

实验动物胰腺解剖结构的比较。

A comparison of the anatomical structure of the pancreas in experimental animals.

作者信息

Tsuchitani Minoru, Sato Junko, Kokoshima Hiroko

机构信息

Pathology Department, Nonclinical Research Center, LSI Medience Corporation, 14-1 Sunayama, Kamisu, Ibaraki 314-0255, Japan.

出版信息

J Toxicol Pathol. 2016 Jul;29(3):147-54. doi: 10.1293/tox.2016-0016. Epub 2016 Apr 1.

Abstract

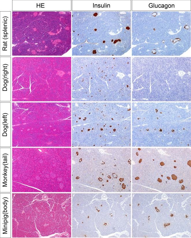
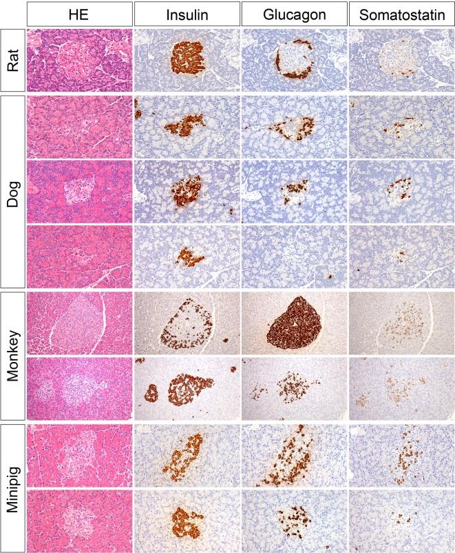
As basic knowledge for evaluation of pancreatic toxicity, anatomical structures were compared among experimental animal species, including rats, dogs, monkeys, and minipigs. In terms of gross anatomy, the pancreases of dogs, monkeys, and minipigs are compact and similar to that of humans. The rat pancreas is relatively compact at the splenic segment, but the duodenal segment is dispersed within the mesentery. In terms of histology, the islet of each animal is characterized by a topographic distribution pattern of α- versus β-cells. β-cells occupy the large central part of the rat islet, and α-cells are located in the periphery and occasionally exhibit cuffing. In dog islets, β-cells are distributed in all parts and α-cells are scattered in the center or periphery of the islet (at body and left lobe); whereas β-cells occupy all parts of the islet and no α-cells are present in the islet (at right lobe). Monkey islets show two distinct patterns, that is, α-cell-rich or β-cell-rich islets, and the former represent peripheral β-cells forming an irregular ring. Minipig islets show an irregular outline, and both α- and β-cells are present in all parts of the islet, intermingling with each other. According to morphometry, the endocrine tissue accounts for <2% of the pancreas roughly in rats and minipigs, and that of monkeys accounts for >7% of the pancreas (at tail). The endocrine tissue proportion tends to increase as the position changes from right to left in the pancreas in each species.

摘要

作为评估胰腺毒性的基础知识,对包括大鼠、狗、猴子和小型猪在内的实验动物物种的解剖结构进行了比较。在大体解剖方面,狗、猴子和小型猪的胰腺紧密,与人类的胰腺相似。大鼠胰腺在脾段相对紧密,但十二指肠段分散于肠系膜内。在组织学方面,每种动物的胰岛都以α细胞与β细胞的地形分布模式为特征。β细胞占据大鼠胰岛的大部分中央部分,α细胞位于周边,偶尔呈套状。在狗的胰岛中,β细胞分布于所有部位,α细胞散在于胰岛的中央或周边(在体部和左叶);而在右叶,β细胞占据胰岛的所有部位,胰岛中不存在α细胞。猴子的胰岛呈现两种不同模式,即富含α细胞或富含β细胞的胰岛,前者表现为周边的β细胞形成不规则环。小型猪的胰岛轮廓不规则,α细胞和β细胞均存在于胰岛的所有部位,相互交织。根据形态测量学,大鼠和小型猪的内分泌组织约占胰腺的<2%,猴子的内分泌组织占胰腺的>7%(在尾部)。在每个物种中,内分泌组织比例往往随着胰腺中位置从右向左变化而增加。

https://cdn.ncbi.nlm.nih.gov/pmc/blobs/3c1e/4963614/405752bbf52a/tox-29-147-g001.jpg

文献检索

告别复杂PubMed语法,用中文像聊天一样搜索,搜遍4000万医学文献。AI智能推荐,让科研检索更轻松。

立即免费搜索

文件翻译

保留排版,准确专业,支持PDF/Word/PPT等文件格式,支持 12+语言互译。

免费翻译文档

深度研究

AI帮你快速写综述,25分钟生成高质量综述,智能提取关键信息,辅助科研写作。

立即免费体验