• 文献检索
  • 文档翻译
  • 深度研究
  • 学术资讯
  • Suppr Zotero 插件Zotero 插件
  • 邀请有礼
  • 套餐&价格
  • 历史记录
应用&插件
Suppr Zotero 插件Zotero 插件浏览器插件Mac 客户端Windows 客户端微信小程序
定价
高级版会员购买积分包购买API积分包
服务
文献检索文档翻译深度研究API 文档MCP 服务
关于我们
关于 Suppr公司介绍联系我们用户协议隐私条款
关注我们

Suppr 超能文献

核心技术专利:CN118964589B侵权必究
粤ICP备2023148730 号-1Suppr @ 2026

文献检索

告别复杂PubMed语法,用中文像聊天一样搜索,搜遍4000万医学文献。AI智能推荐,让科研检索更轻松。

立即免费搜索

文件翻译

保留排版,准确专业,支持PDF/Word/PPT等文件格式,支持 12+语言互译。

免费翻译文档

深度研究

AI帮你快速写综述,25分钟生成高质量综述,智能提取关键信息,辅助科研写作。

立即免费体验

迟发型先天性厚甲症(PC tarda)。

Pachyonychia congenita with late onset (PC tarda).

作者信息

Sravanthi A, Srivalli P, Gopal K V T, Rao T Narayana

机构信息

Department of Dermatology, Maharajah's Institute of Medical Sciences, Nellimarla, Andhra Pradesh, India.

出版信息

Indian Dermatol Online J. 2016 Jul-Aug;7(4):278-80. doi: 10.4103/2229-5178.185463.

DOI:10.4103/2229-5178.185463
PMID:27559502
原文链接:https://pmc.ncbi.nlm.nih.gov/articles/PMC4976406/
Abstract

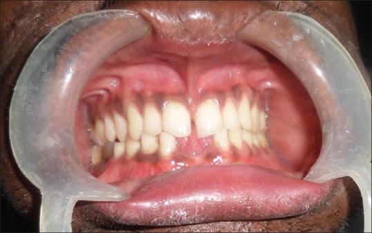
Pachyonychia congenita is a rare type of ectodermal dysplasia further classified into 4 types. Cutaneous manifestations seen in most of the cases of Pachyonychia congenita include palmoplantar keratoderma, follicular hyperkeratosis, wedge shaped nails, oral leukokeratosis and woolly hair. A 25-year-old male presented to us with thickened nails and scanty scalp hair. On examination, we noticed hyperkeratotic plaques over both the soles, palmoplantar hyperhidrosis and yellowish discoloration, wedging with subungual hyperkeratosis of all the nails. Follicular hyperkeratotic papules and steatocystoma multiplex were also observed over the scalp and face. The patient had history of natal teeth and on dental examination, lower central incisors were absent. All cutaneous changes in our case had manifested first in the 2(nd) decade except for natal teeth. All the above features suggested the diagnosis of pachyonychia congenita with late onset (PC tarda), which is an infrequently reported rare variant.

摘要

先天性厚甲症是一种罕见的外胚层发育不良类型,进一步分为4种类型。大多数先天性厚甲症病例的皮肤表现包括掌跖角化病、毛囊角化过度、楔形甲、口腔黏膜白斑和羊毛状发。一名25岁男性前来就诊,其指甲增厚且头皮毛发稀少。检查时,我们注意到双足底有角化过度斑块、掌跖多汗和发黄变色,所有指甲均有楔形甲伴甲下角化过度。头皮和面部也观察到毛囊角化过度丘疹和多发性皮脂囊肿。该患者有诞生牙病史,牙科检查发现下颌中切牙缺失。除诞生牙外,本例所有皮肤改变均在第二个十年首次出现。上述所有特征提示诊断为迟发性先天性厚甲症(PC tarda),这是一种罕见且报道较少的变异型。

https://cdn.ncbi.nlm.nih.gov/pmc/blobs/d832/4976406/b922ed4b1cb5/IDOJ-7-278-g005.jpg
https://cdn.ncbi.nlm.nih.gov/pmc/blobs/d832/4976406/86aa314bdc4c/IDOJ-7-278-g001.jpg
https://cdn.ncbi.nlm.nih.gov/pmc/blobs/d832/4976406/acb454e6f3de/IDOJ-7-278-g002.jpg
https://cdn.ncbi.nlm.nih.gov/pmc/blobs/d832/4976406/699cf2035f3b/IDOJ-7-278-g003.jpg
https://cdn.ncbi.nlm.nih.gov/pmc/blobs/d832/4976406/c6377298e509/IDOJ-7-278-g004.jpg
https://cdn.ncbi.nlm.nih.gov/pmc/blobs/d832/4976406/b922ed4b1cb5/IDOJ-7-278-g005.jpg
https://cdn.ncbi.nlm.nih.gov/pmc/blobs/d832/4976406/86aa314bdc4c/IDOJ-7-278-g001.jpg
https://cdn.ncbi.nlm.nih.gov/pmc/blobs/d832/4976406/acb454e6f3de/IDOJ-7-278-g002.jpg
https://cdn.ncbi.nlm.nih.gov/pmc/blobs/d832/4976406/699cf2035f3b/IDOJ-7-278-g003.jpg
https://cdn.ncbi.nlm.nih.gov/pmc/blobs/d832/4976406/c6377298e509/IDOJ-7-278-g004.jpg
https://cdn.ncbi.nlm.nih.gov/pmc/blobs/d832/4976406/b922ed4b1cb5/IDOJ-7-278-g005.jpg

相似文献

1
Pachyonychia congenita with late onset (PC tarda).迟发型先天性厚甲症(PC tarda)。
Indian Dermatol Online J. 2016 Jul-Aug;7(4):278-80. doi: 10.4103/2229-5178.185463.
2
Diffuse Palmoplantar Keratoderma, Onychodystrophy, universal Hypotrichosis and Cysts.弥漫性掌跖角化病、甲营养不良、全身性毛发稀少和囊肿
Acta Dermatovenerol Croat. 2017 Jul;25(2):161-163.
3
Pachyonychia congenita tarda affecting only the nails.迟发性先天性厚甲症,仅累及指甲。
Dermatol Online J. 2008 Feb 28;14(2):12.
4
KERATIN 17-related recessive atypical pachyonychia congenita with variable hair and tooth anomalies.角蛋白 17 相关隐性非典型性先天性厚甲症伴发可变的毛发和牙齿异常。
Eur J Hum Genet. 2022 Nov;30(11):1292-1296. doi: 10.1038/s41431-022-01128-4. Epub 2022 Jun 9.
5
A case of pachyonychia congenita with oral leukoplakia and steatocystoma multiplex.一例先天性厚甲症伴口腔白斑及多发性皮脂囊肿。
J Dermatol. 1999 Oct;26(10):677-81. doi: 10.1111/j.1346-8138.1999.tb02071.x.
6
Pachyonychia congenita.先天性厚甲症
J Am Acad Dermatol. 1988 Oct;19(4):705-11. doi: 10.1016/s0190-9622(88)70226-1.
7
Pachyonychia congenita tarda. A late-onset form of pachyonychia congenita.迟发性先天性厚甲症。先天性厚甲症的一种迟发型。
Arch Dermatol. 1991 May;127(5):701-3.
8
A case of pachyonychia congenita with unusual manifestations: an unusual type or a new syndrome?一例具有不寻常表现的先天性厚甲症:一种不寻常类型还是一种新综合征?
Int J Dermatol. 2015 Mar;54(3):334-7. doi: 10.1111/j.1365-4632.2012.05851.x. Epub 2013 Oct 29.
9
A systematic review of reported cases of pachyonychia congenita tarda.迟发性先天性厚甲症的病例报告系统综述。
Clin Exp Dermatol. 2019 Aug;44(6):606-612. doi: 10.1111/ced.13980. Epub 2019 May 10.
10
Keratin 17 Mutations in Four Families from India with Pachyonychia Congenita.来自印度的四个患有先天性厚甲症家族中的角蛋白17突变
Indian J Dermatol. 2017 Jul-Aug;62(4):422-426. doi: 10.4103/ijd.IJD_321_16.

引用本文的文献

1
Oral Mucosa and Nails in Genodermatoses: A Diagnostic Challenge.遗传性皮肤病中的口腔黏膜和指甲:诊断挑战
J Clin Med. 2021 Nov 19;10(22):5404. doi: 10.3390/jcm10225404.
2
Pachyonychia Congenita: Brief Appraisal of History and Current Classification.先天性厚甲症:历史与当前分类的简要评估
Indian Dermatol Online J. 2017 Jul-Aug;8(4):287. doi: 10.4103/idoj.IDOJ_253_16.

本文引用的文献

1
Pachyonychia congenita tarda: A rare case report.迟发性先天性厚甲症:一例罕见病例报告。
Contemp Clin Dent. 2013 Jul;4(3):409-11. doi: 10.4103/0976-237X.118374.
2
Pachyonychia congenita: A rare genodermatosis.先天性厚甲症:一种罕见的遗传性皮肤病。
Indian Dermatol Online J. 2013 Jul;4(3):225-7. doi: 10.4103/2229-5178.115527.
3
Pachyonychia congenita type 2 (Jackson-Lawler syndrome) or PC-17: case report.先天性厚甲症2型(杰克逊-劳勒综合征)或PC-17:病例报告。
Acta Dermatovenerol Croat. 2013;21(1):48-51.
4
Pachyonychia congenita type 2.先天性厚甲症2型
Indian J Dermatol Venereol Leprol. 2009 May-Jun;75(3):321-2. doi: 10.4103/0378-6323.51261.
5
Pachyonychia congenita with woolly hair in a ten month old infant.一名10个月大婴儿患先天性厚甲症并伴有羊毛状毛发。
Indian J Dermatol Venereol Leprol. 2008 Sep-Oct;74(5):485-6. doi: 10.4103/0378-6323.44306.
6
Clinical and pathological features of pachyonychia congenita.先天性厚甲症的临床与病理特征
J Investig Dermatol Symp Proc. 2005 Oct;10(1):3-17. doi: 10.1111/j.1087-0024.2005.10202.x.
7
Pachyonychia congenita: mutations and clinical presentations.先天性厚甲症:突变与临床表现
Br J Dermatol. 2001 May;144(5):929-30. doi: 10.1046/j.1365-2133.2001.04216.x.
8
Pachyonychia congenita tarda.迟发性先天性厚甲症
J Am Acad Dermatol. 1996 Aug;35(2 Pt 2):334-5. doi: 10.1016/s0190-9622(96)90663-5.